ISO 9001:2015 Certified
Live Customer Support
4.5/5 on Trustpilot
100% Quality Guarantee

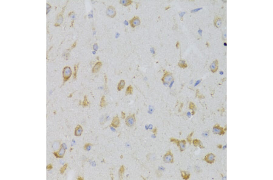
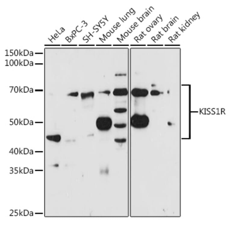
Anti-GPR54 Antibody (A11590)

Rabbit polyclonal antibody to GPR54 for WB and IHC.

Shipping Information

$40
Dispatched from St. Louis, MO.
Lead Time: 7-10 business days.
Name
Anti-GPR54 Antibody
Description
Rabbit polyclonal antibody to GPR54.
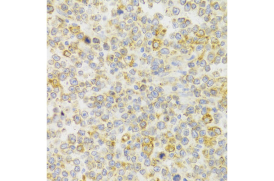
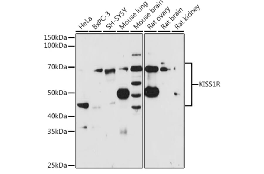
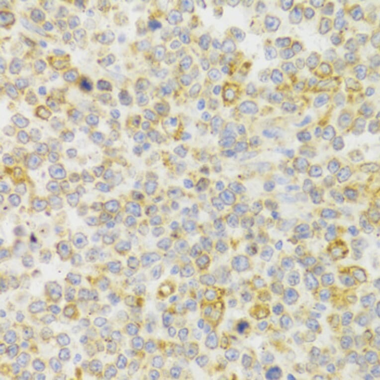
Applications
WB, IHC
Dilutions
WB: 1:500-1:1,000, IHC: 1:50-1:100
Reactivity
Human, Mouse, Rat
Immunogen
Recombinant fusion protein containing a sequence corresponding to amino acids 358-399 of human KISS1R (NP_115940.2).
Sequence
APHAELLRLGSHPAPARAQKPGSSGLAARGLCVLGEDNAPL
Host
Rabbit
Clonality
Polyclonal
Isotype
IgG
Conjugate

Unconjugated

Purification
Affinity purification.
Concentration
Lot Specific
Molecular Weight
42 - 70 kDa
Product Form
Liquid
Formulation
Supplied in Phosphate Buffered Saline, pH 7.3, with 50% Glycerol and 0.01% Thiomersal.
Storage
Shipped at 4°C. Upon delivery aliquot and store at -20°C. Avoid freeze/thaw cycles.
Synonyms
AXOR12, G-protein coupled receptor 54, G-protein coupled receptor OT7T175, hOT7T175, Hypogonadotropin-1, KiSS-1 receptor, KiSS-1R, Kisspeptins receptor, Metastin receptor
Disclaimer
This product is for research use only. It is not intended for diagnostic or therapeutic use.
Publishing research using Anti-GPR54 Antibody (A11590)? Please let us know so that we can list the citation on this page.

Alternative products to Anti-GPR54 Antibody (A11590)

Proteins predicted to interact with KISS1R

Predicted protein interactions based upon String database. Revelancy score correlates with probability of interaction.
99.9% Relevancy Score
98% Relevancy Score
97.5% Relevancy Score
96.9% Relevancy Score
96.7% Relevancy Score
95.3% Relevancy Score
93.6% Relevancy Score
93% Relevancy Score
91.8% Relevancy Score