ISO 9001:2015 Certified
Live Customer Support
4.5/5 on Trustpilot
100% Quality Guarantee

Anti-Granulin Antibody (A11875)

This product is discontinued

Anti-Granulin Antibody (A11875) has been discontinued and is no longer available.

View all Primary Antibodies.

Name
Anti-Granulin Antibody
Description
Rabbit polyclonal antibody to Granulin.
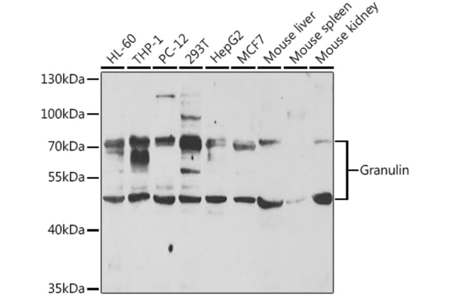
Applications
WB
Dilutions
WB: 1:500-1:2,000
Reactivity
Human, Mouse, Rat
Immunogen
Recombinant fusion protein containing a sequence corresponding to amino acids 281-336 of human Granulin (NP_002078.1).
Sequence
DVKCDMEVSCPDGYTCCRLQSGAWGCCPFTQAVCCEDHIHCCPAGFTCDTQKGTCE
Host
Rabbit
Clonality
Polyclonal
Isotype
IgG
Conjugate

Unconjugated

Purification
Affinity purification.
Molecular Weight
50 - 70 kDa
Product Form
Liquid
Formulation
Supplied in Phosphate Buffered Saline, pH 7.3, with 50% Glycerol and 0.02% Sodium Azide.
Storage
Shipped at 4°C. Upon delivery aliquot and store at -20°C. Avoid freeze / thaw cycles.
Synonyms
Acrogranin, CLN11, GEP, GP88, Granulin A, Granulin B, Granulin C, Granulin D, Granulin E, Granulin epithelin, Granulin F, Granulin G, Granulin-7, Granulins, GRN, GRN_HUMAN, PC cell derived growth factor, PCDGF, PEPI, PGRN, Proepithelin, Progranulin
Disclaimer
This product is for research use only. It is not intended for diagnostic or therapeutic use.

Alternative products to Anti-Granulin Antibody (A11875)