ISO 9001:2015 Certified
Live Customer Support
4.5/5 on Trustpilot
100% Quality Guarantee

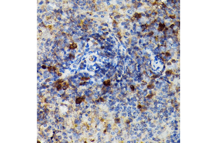
Anti-Granzyme B Antibody (A11541)

This product is discontinued

Anti-Granzyme B Antibody (A11541) has been discontinued and is no longer available.

View all Granzyme B Antibodies.

Name
Anti-Granzyme B Antibody
Description
Rabbit polyclonal antibody to Granzyme B.
Applications
WB, IHC, ICC/IF
Dilutions
WB: 1:500-1:1,000, IHC: 1:50-1:200, ICC/IF: 1:50-1:200
Reactivity
Human, Mouse, Rat
Immunogen
A synthetic peptide corresponding to a sequence within amino acids 100-200 of human Granzyme B (NP_004122.2).
Sequence
YNPKNFSNDIMLLQLERKAKRTRAVQPLRLPSNKAQVKPGQTCSVAGWGQTAPLGKHSHTLQEVKMTVQEDRKCESDLRHYYDSTIELCVGDPEIKKTSFK
Host
Rabbit
Clonality
Polyclonal
Isotype
IgG
Conjugate

Unconjugated

Purification
Affinity purification.
Molecular Weight
30 kDa
Product Form
Liquid
Formulation
Supplied in Phosphate Buffered Saline, pH 7.3, with 50% Glycerol and 0.05% Proclin 300.
Storage
Shipped at 4°C. Upon delivery aliquot and store at -20°C. Avoid freeze / thaw cycles.
Synonyms
C11, Cathepsin G-like 1, CGL1, CSPB, CTLA-1, CTLA1, CTSGL1, Cytotoxic T-lymphocyte proteinase 2, Fragmentin-2, GRB, GZMB, Lymphocyte protease
Disclaimer
This product is for research use only. It is not intended for diagnostic or therapeutic use.

Alternative products to Anti-Granzyme B Antibody (A11541)

Proteins predicted to interact with Granzyme B

Predicted protein interactions based upon String database. Revelancy score correlates with probability of interaction.
99.9% Relevancy Score
99.5% Relevancy Score
98.6% Relevancy Score
96.6% Relevancy Score
96.4% Relevancy Score
96.4% Relevancy Score
96.3% Relevancy Score
96.3% Relevancy Score
96.2% Relevancy Score