ISO 9001:2015 Certified
Live Customer Support
4.5/5 on Trustpilot
100% Quality Guarantee

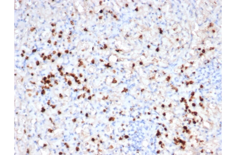
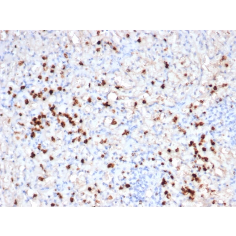
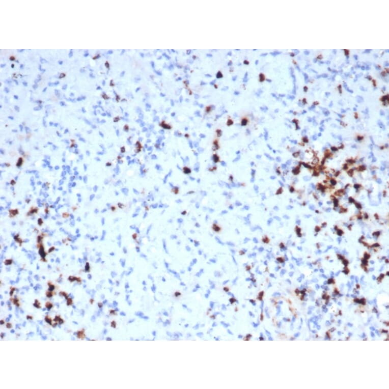
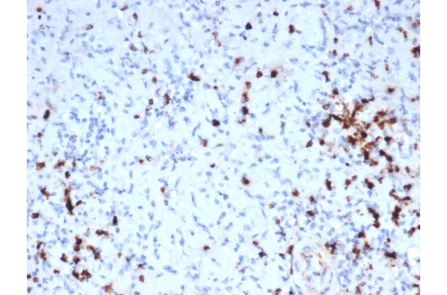
Recombinant Anti-Granzyme B Antibody [GZMB/6530R] - BSA and Azide free (A278582)

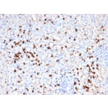
Recombinant rabbit monoclonal [GZMB/6530R] antibody to Granzyme B for IHC-P.

Alternative Formats and ConjugatesAlternative Formats

Shipping Information

$40
Dispatched from St. Louis, MO.
Lead Time: 5-8 business days.
Name
Anti-Granzyme B Antibody [GZMB/6530R] - BSA and Azide free
Description
Recombinant rabbit monoclonal [GZMB/6530R] antibody to Granzyme B.
Specificity
Granzyme B is a member of the granule serine protease family stored specifically in NK cells or cytotoxic T cells. Cytolytic T lymphocytes (CTL) and natural killer (NK) cells share the ability to recognize, bind, and lyse specific target cells. They are thought to protect their host by lysing cells bearing on their surface 'nonself' antigens, usually peptides or proteins resulting from infection by intracellular pathogens. Granzyme B is crucial for the rapid induction of target cell apoptosis by CTLs in the cell-mediated immune response. Granzyme B is useful as a marker in the identification of NK/T-cell lymphomas. High percentages of cytotoxic T-cells have been shown to be an unfavorable prognostic indicator in Hodgkin s Disease.
Applications
IHC-P
Dilutions
IHC-P: 1-2 µg/ml
Reactivity
Human
Immunogen
Recombinant fragment, around amino acids 73-187, of human Granzyme B protein. The exact sequence is proprietary.
Host
Rabbit
Clonality
Monoclonal
Clone ID
GZMB/6530R
Isotype
IgG
Light Chains
kappa
Conjugate

Unconjugated

Purification
Protein A/G chromatography.
Concentration
1 mg/ml
Molecular Weight
29-32 kDa
Product Form
Liquid
Formulation
Supplied in 10mM Phosphate Buffered Saline; without Sodium Azide and carrier free.
Storage
Shipped at 4°C. Upon delivery aliquot and store at -20°C. Avoid freeze / thaw cycles.
General Notes
This monoclonal antibody is also available in a different formulation with BSA and Sodium Azide - Anti-Granzyme B Antibody [GZMB/6530R] (A277994).
Synonyms
C11, Cathepsin G-like 1, CGL1, CSPB, CTLA-1, CTLA1, CTSGL1, Cytotoxic T-lymphocyte proteinase 2, Fragmentin-2, GRB, GZMB, Lymphocyte protease
Disclaimer
This product is for research use only. It is not intended for diagnostic or therapeutic use.
Publishing research using Recombinant Anti-Granzyme B Antibody [GZMB/6530R] - BSA and Azide free (A278582)? Please let us know so that we can list the citation on this page.

Alternative products to Anti-Granzyme B Antibody [GZMB/6530R] - BSA and Azide free (A278582)

Proteins predicted to interact with Granzyme B

Predicted protein interactions based upon String database. Revelancy score correlates with probability of interaction.
99.9% Relevancy Score
99.5% Relevancy Score
98.6% Relevancy Score
96.6% Relevancy Score
96.4% Relevancy Score
96.4% Relevancy Score
96.3% Relevancy Score
96.3% Relevancy Score
96.2% Relevancy Score