Primary Antibodies
Secondary Antibodies
Proteins & Peptides
ELISA Kits
About Us
Contact Us
Sign In/Register
0
ISO 9001:2015 Certified
Live Customer Support
4.5/5 on Trustpilot
100% Quality Guarantee
Home
Primary Antibodies
GREB1 Antibodies
Anti-GREB1 Antibody (A46227)
Anti-GREB1 Antibody (A46227)
Overview
Specifications
Images
Enlarge Image
Enlarge Image
$430
Product Datasheet
Rabbit polyclonal antibody to GREB1 for IHC.
100% Guarantee
Price Match Guarantee
Product Size:
100µl
Quantity:
1
2
3
4
5
6
7
8
9
10
Add To Cart
Request a Quotation
Custom or Bulk Request
Shipping Information
Freight/Packing Charges:
$40
Dispatched from St. Louis, MO.
Lead Time: 6-9 business days.
Specifications
Name
Anti-GREB1 Antibody
Description
Rabbit polyclonal antibody to GREB1
Specificity
The antibody detects endogenous levels of total GREB1 protein.
Applications
IHC
Reactivity
Human
Immunogen
Synthetic peptide corresponding to a region derived from internal residues of human growth regulation by estrogen in breast cancer 1
Host
Rabbit
Clonality
Polyclonal
Conjugate
Unconjugated
Purification
Antigen affinity purification.
Concentration
2.8 mg/mL
Formulation
Supplied in PBS, pH 7.3, containing 0.05% sodium azide and 50% glycerol.
Storage
Shipped at 4°C. Upon delivery aliquot and store at -20°C. Avoid freeze/thaw cycles.
Synonyms
Gene regulated in breast cancer 1 protein, KIAA0575, Protein GREB1
Suitable Secondaries
Goat Anti-Rabbit IgG H&L Antibody (AP) (A294874)
Goat Anti-Rabbit IgG H&L Antibody (Biotin) (A294795)
Goat Anti-Rabbit IgG H&L Antibody (FITC) (A294887)
Goat Anti-Rabbit IgG H&L Antibody (HRP) (A294888)
See all Anti-Rabbit IgG Secondaries →
Disclaimer
This product is for research use only. It is not intended for diagnostic or therapeutic use.
Scientific Validation Data
Validation Data
(2)
Enlarge Image
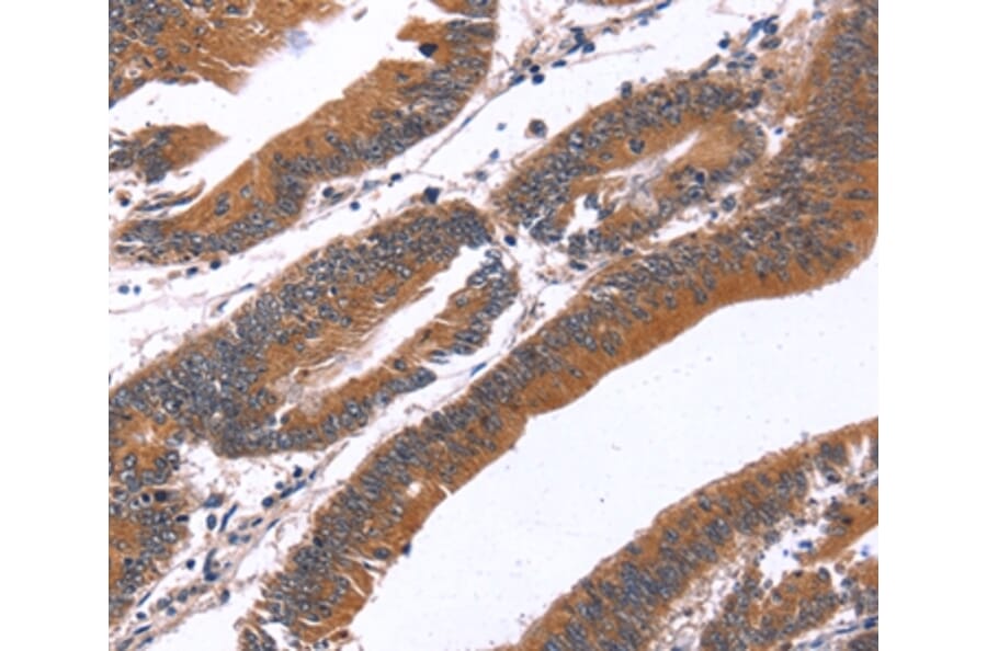
Immunohistochemistry - Anti-GREB1 Antibody (A46227)
Immunohistochemical analysis of paraffin-embedded Human colon cancer tissue using #37610 at dilution 1/40.
Enlarge Image
Immunohistochemistry - Anti-GREB1 Antibody (A46227)
Immunohistochemical analysis of paraffin-embedded Human thyroid cancer tissue using #37610 at dilution 1/40.
Publishing research using Anti-GREB1 Antibody (A46227)? Please
let us know
so that we can list the citation on this page.
Proteins predicted to interact with GREB1
Predicted protein interactions based upon String database. Revelancy score correlates with probability of interaction.
Estrogen Receptor alpha Antibodies
98.3% Relevancy Score
Trefoil Factor 1 Antibodies
89.1% Relevancy Score
p300 Antibodies
88.2% Relevancy Score
Progesterone Receptor Antibodies
83% Relevancy Score
CBP Antibodies
82.6% Relevancy Score
SRC3 Antibodies
81.4% Relevancy Score
Histone H2A.X Antibodies
69.8% Relevancy Score
FOXA1 Antibodies
67.4% Relevancy Score
PDZK1 Antibodies
63.6% Relevancy Score
Top