Primary Antibodies
Secondary Antibodies
Proteins & Peptides
ELISA Kits
About Us
Contact Us
Sign In/Register
0
ISO 9001:2015 Certified
Live Customer Support
4.5/5 on Trustpilot
100% Quality Guarantee
Home
Primary Antibodies
GluR2 Antibodies
Anti-GRIA2 Antibody (A46108)
Anti-GRIA2 Antibody (A46108)
Overview
Specifications
Images
Enlarge Image
Enlarge Image
$430
Product Datasheet
Rabbit polyclonal antibody to GRIA2 for IHC.
100% Guarantee
Price Match Guarantee
Product Size:
100µl
Quantity:
1
2
3
4
5
6
7
8
9
10
Add To Cart
Request a Quotation
Custom or Bulk Request
Shipping Information
Freight/Packing Charges:
$40
Dispatched from St. Louis, MO.
Lead Time: 6-9 business days.
Specifications
Name
Anti-GRIA2 Antibody
Description
Rabbit polyclonal antibody to GRIA2
Specificity
The antibody detects endogenous levels of total GRIA2 protein.
Applications
IHC
Reactivity
Human, Mouse, Rat
Immunogen
Synthetic peptide corresponding to a region derived from internal residues of human glutamate receptor, ionotropic, AMPA 2
Host
Rabbit
Clonality
Polyclonal
Conjugate
Unconjugated
Purification
Antigen affinity purification.
Concentration
1.1 mg/mL
Formulation
Supplied in PBS, pH 7.3, containing 0.05% sodium azide and 50% glycerol.
Storage
Shipped at 4°C. Upon delivery aliquot and store at -20°C. Avoid freeze/thaw cycles.
Synonyms
AMPA-selective glutamate receptor 2, GluA2, GluR-2, GluR-B, GluR-K2, Glutamate receptor 2, Glutamate receptor ionotropic, AMPA 2
Suitable Secondaries
Goat Anti-Rabbit IgG H&L Antibody (AP) (A294874)
Goat Anti-Rabbit IgG H&L Antibody (Biotin) (A294795)
Goat Anti-Rabbit IgG H&L Antibody (FITC) (A294887)
Goat Anti-Rabbit IgG H&L Antibody (HRP) (A294888)
See all Anti-Rabbit IgG Secondaries →
Disclaimer
This product is for research use only. It is not intended for diagnostic or therapeutic use.
Scientific Validation Data
Validation Data
(2)
Enlarge Image
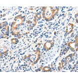
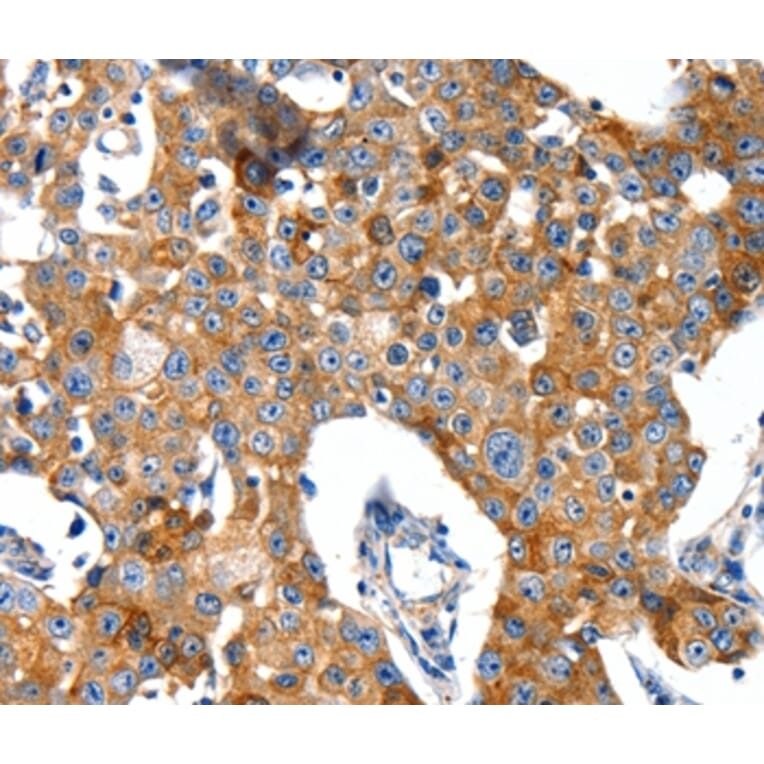
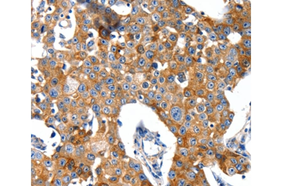
Immunohistochemistry - Anti-GRIA2 Antibody (A46108)
Immunohistochemical analysis of paraffin-embedded Human gastric cancer tissue using #37006 at dilution 1/40.
Enlarge Image
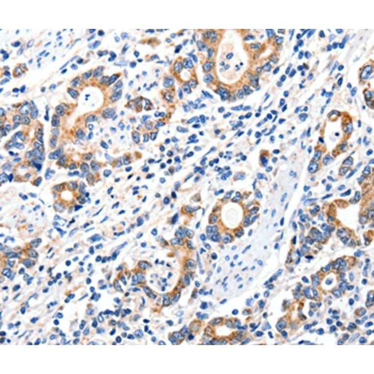
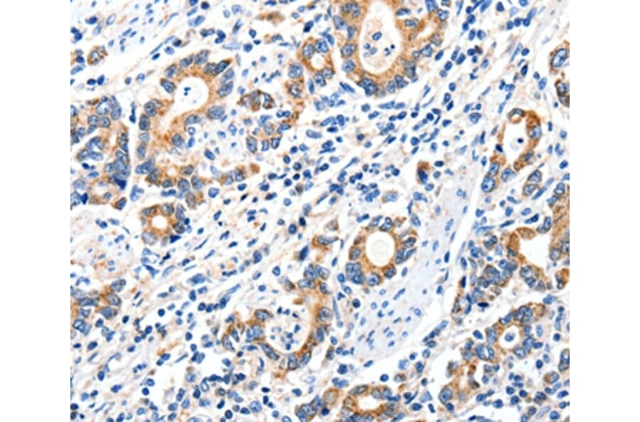
Immunohistochemistry - Anti-GRIA2 Antibody (A46108)
Immunohistochemical analysis of paraffin-embedded Human breast cancer tissue using #37006 at dilution 1/40.
Publishing research using Anti-GRIA2 Antibody (A46108)? Please
let us know
so that we can list the citation on this page.
Alternative products to Anti-GRIA2 Antibody (A46108)
(2)
A94198
Anti-GluR2 (phospho Ser880) Antibody
Rabbit polyclonal antibody to GluR2 (phospho Ser880) for WB, IHC, IF and ELISA.
(3)
A95875
Anti-GluR2 Antibody
Rabbit polyclonal antibody to GluR2 for WB, IHC, IF and ELISA.
A52260
Anti-Glutamate Receptor 2 Antibody
Rabbit polyclonal antibody to Glutamate Receptor 2 for CM, ELISA, ICC, IF, IHC and WB.
(2)
A27071
Anti-GluR2 (Y873) Antibody
Rabbit polyclonal antibody to GluR2 (Y873) for WB, IHC and IF.
(2)
A36797
Anti-GluR2 / 3 Antibody
Rabbit polyclonal antibody to GluR2 / 3 for WB and IHC.
A27740
Anti-GluR-2 (phospho-S880) Antibody
Rabbit polyclonal antibody to GluR-2 (phospho-S880) for WB and IHC.
A51111
Anti-GluR2 (Phospho-Tyr876) Antibody
Rabbit Polycolonal antibody to GluR2 (Phospho-Tyr876) for WB.
A50954
Anti-GluR2 (phospho-Ser880) Antibody
Rabbit polyclonal antibody to GluR2 (phospho-Ser880) for WB.
A41316
Anti-GluR2 (Ab-880) Antibody
Rabbit polyclonal antibody to GluR2 (Ab-880) for WB.
(2)
A94198
Anti-GluR2 (phospho Ser880) Antibody
Rabbit polyclonal antibody to GluR2 (phospho Ser880) for WB, IHC, IF and ELISA.
(3)
A95875
Anti-GluR2 Antibody
Rabbit polyclonal antibody to GluR2 for WB, IHC, IF and ELISA.
A52260
Anti-Glutamate Receptor 2 Antibody
Rabbit polyclonal antibody to Glutamate Receptor 2 for CM, ELISA, ICC, IF, IHC and WB.
(2)
A27071
Anti-GluR2 (Y873) Antibody
Rabbit polyclonal antibody to GluR2 (Y873) for WB, IHC and IF.
(2)
A36797
Anti-GluR2 / 3 Antibody
Rabbit polyclonal antibody to GluR2 / 3 for WB and IHC.
A27740
Anti-GluR-2 (phospho-S880) Antibody
Rabbit polyclonal antibody to GluR-2 (phospho-S880) for WB and IHC.
A51111
Anti-GluR2 (Phospho-Tyr876) Antibody
Rabbit Polycolonal antibody to GluR2 (Phospho-Tyr876) for WB.
A50954
Anti-GluR2 (phospho-Ser880) Antibody
Rabbit polyclonal antibody to GluR2 (phospho-Ser880) for WB.
A41316
Anti-GluR2 (Ab-880) Antibody
Rabbit polyclonal antibody to GluR2 (Ab-880) for WB.
See all GRIA2 Antibodies
Proteins predicted to interact with GluR2
Predicted protein interactions based upon String database. Revelancy score correlates with probability of interaction.
PICK1 Antibodies
99.9% Relevancy Score
Ionotropic Glutamate Receptor 4 Antibodies
99.9% Relevancy Score
Glutamate Receptor 1 Antibodies
99.9% Relevancy Score
GRIP1 Antibodies
99.9% Relevancy Score
Glutamate Receptor 3 Antibodies
99.9% Relevancy Score
Stargazin Antibodies
99.5% Relevancy Score
N-Cadherin Antibodies
98.2% Relevancy Score
CaMKII alpha Antibodies
97.7% Relevancy Score
PSD95 Antibodies
96.8% Relevancy Score
Top