Primary Antibodies
Secondary Antibodies
Proteins & Peptides
ELISA Kits
About Us
Contact Us
Sign In/Register
0
ISO 9001:2015 Certified
Live Customer Support
4.5/5 on Trustpilot
100% Quality Guarantee
Home
Primary Antibodies
KA1 Antibodies
Anti-Grik4 Antibody (A47927)
Anti-Grik4 Antibody (A47927)
Overview
Specifications
Images
Enlarge Image
Enlarge Image
$780
Product Datasheet
Rabbit polyclonal antibody to Grik4 for ELISA, WB and IHC.
100% Guarantee
Price Match Guarantee
Product Size:
100µl
Quantity:
1
2
3
4
5
6
7
8
9
10
Add To Cart
Request a Quotation
Custom or Bulk Request
Shipping Information
Freight/Packing Charges:
$40
Dispatched from St. Louis, MO.
Lead Time: 6-9 business days.
Specifications
Name
Anti-Grik4 Antibody
Description
Rabbit polyclonal antibody to Grik4
Applications
ELISA
,
WB
,
IHC
Reactivity
Human, Mouse, Rat
Immunogen
Raised against a 19 amino acid peptide near the carboxy terminus of the human Grik4.
Host
Rabbit
Clonality
Polyclonal
Conjugate
Unconjugated
Purification
Affinity chromatography purified via peptide column
Formulation
Supplied in phosphate-buffered saline with 0.02% Sodium Azide.
Storage
Shipped at 4°C. Upon delivery aliquot and store at -20°C. Avoid freeze/thaw cycles.
Synonyms
EAA1, Excitatory amino acid receptor 1, GluK4, Glutamate receptor ionotropic, kainate 4, Glutamate receptor KA-1, GRIK
Suitable Secondaries
Goat Anti-Rabbit IgG H&L Antibody (AP) (A294874)
Goat Anti-Rabbit IgG H&L Antibody (Biotin) (A294795)
Goat Anti-Rabbit IgG H&L Antibody (FITC) (A294887)
Goat Anti-Rabbit IgG H&L Antibody (HRP) (A294888)
See all Anti-Rabbit IgG Secondaries →
Disclaimer
This product is for research use only. It is not intended for diagnostic or therapeutic use.
Scientific Validation Data
Validation Data
(2)
Enlarge Image
Anti-Grik4 Antibody (A47927)
Western blot analysis of Grik4 in rat brain lysate with Grik4 antibody at (A) 0.5 (B) 1 and (C) 2 µg/mL.
Enlarge Image
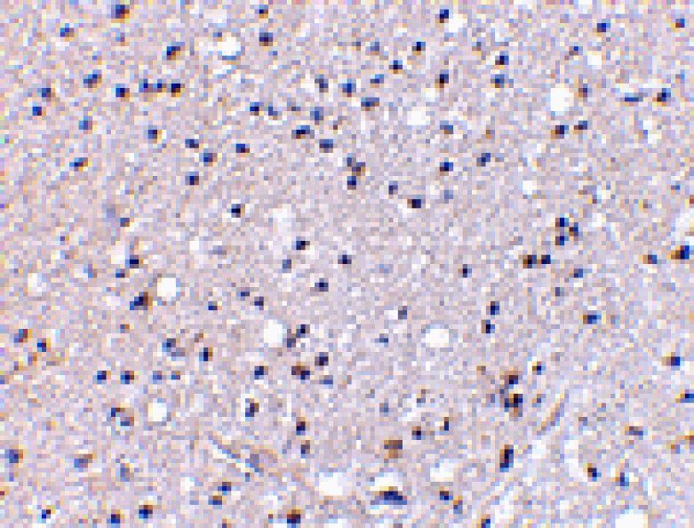
Immunohistochemistry - Anti-Grik4 Antibody (A47927)
Immunohistochemical staining of human brain tissue using Grik4 antibody at 2.5 µg/mL.
Publishing research using Anti-Grik4 Antibody (A47927)? Please
let us know
so that we can list the citation on this page.
Alternative products to Anti-Grik4 Antibody (A47927)
(2)
A47928
Anti-Grik4 Antibody
Rabbit polyclonal antibody to Grik4 for ELISA, WB and IHC.
A87704
Anti-KA1 Antibody
Rabbit polyclonal antibody to KA1 for WB.
(2)
A47928
Anti-Grik4 Antibody
Rabbit polyclonal antibody to Grik4 for ELISA, WB and IHC.
A87704
Anti-KA1 Antibody
Rabbit polyclonal antibody to KA1 for WB.
Proteins predicted to interact with KA1
Predicted protein interactions based upon String database. Revelancy score correlates with probability of interaction.
GRIK1 Antibodies
99.3% Relevancy Score
GRIK2 Antibodies
99.2% Relevancy Score
GRIK3 Antibodies
99.1% Relevancy Score
GRIK5 Antibodies
98.9% Relevancy Score
MARK4 Antibodies
86.9% Relevancy Score
C1QL3 Antibodies
79.6% Relevancy Score
Glutamate Receptor Ionotropic, NMDA 2D Antibodies
79.1% Relevancy Score
MARK3 Antibodies
77.1% Relevancy Score
Ionotropic Glutamate Receptor 4 Antibodies
75.6% Relevancy Score
Top