ISO 9001:2015 Certified
Live Customer Support
4.5/5 on Trustpilot
100% Quality Guarantee

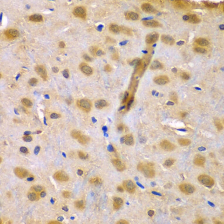
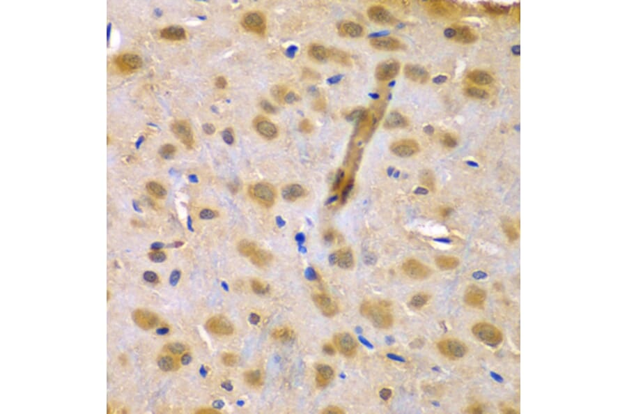
Anti-GRIP1 Antibody (A15923)

Rabbit polyclonal antibody to GRIP1 for WB.

Shipping Information

$40
Dispatched from St. Louis, MO.
Lead Time: 7-10 business days.
Name
Anti-GRIP1 Antibody
Description
Rabbit polyclonal antibody to GRIP1.
Applications
WB
Dilutions
WB: 1:500-1:2000
Reactivity
Rat
Immunogen
Recombinant funsion protein containing a sequence corresponding to amino acids 700-950 of human GRIP1 (NP_001171545.1).
Sequence
KKQTDAQSASSPKKFPISSHLSDLGDVEEDSSPAQKPGKLSDMYPSTVPSVDSAVDSWDGSAIDTSYGTQGTSFQASGYNFNTYDWRSPKQRGSLSPVTKPRSQTYPDVGLSYEDWDRSTASGFAGAADSAETEQEENFWSQALEDLETCGQSGILRELEATIMSGSTMSLNHEAPTPRSQLGRQASFQERSSSRPHYSQTTRSNTLPSDVGRKSVTLRKMKQEIKEIMSPTPVELHKVTLYKDSDMEDFG
Host
Rabbit
Clonality
Polyclonal
Isotype
IgG
Conjugate

Unconjugated

Purification
Affinity purification.
Concentration
Lot Specific
Molecular Weight
132kDa
Product Form
Liquid
Formulation
Supplied in Phosphate Buffered Saline, pH 7.30, with 0.02% Sodium Azide and 50% Glycerol.
Storage
Shipped at 4°C. Upon delivery aliquot and store at -20°C. Avoid freeze/thaw cycles.
Synonyms
Glutamate receptor-interacting protein 1, GRIP-1
Disclaimer
This product is for research use only. It is not intended for diagnostic or therapeutic use.
Publishing research using Anti-GRIP1 Antibody (A15923)? Please let us know so that we can list the citation on this page.

Alternative products to Anti-GRIP1 Antibody (A15923)

Proteins predicted to interact with GRIP1

Predicted protein interactions based upon String database. Revelancy score correlates with probability of interaction.
99.9% Relevancy Score
99.3% Relevancy Score
99% Relevancy Score
98.6% Relevancy Score
95.9% Relevancy Score
91.3% Relevancy Score
87.3% Relevancy Score