Primary Antibodies
Secondary Antibodies
Proteins & Peptides
ELISA Kits
About Us
Contact Us
Sign In/Register
0
ISO 9001:2015 Certified
Live Customer Support
4.5/5 on Trustpilot
100% Quality Guarantee
Home
Primary Antibodies
GRK1 Antibodies
Anti-GRK1 Antibody (A46842)
Anti-GRK1 Antibody (A46842)
Overview
Specifications
Images
Enlarge Image
Enlarge Image
$405
Rabbit polyclonal antibody to GRK1 for IHC.
100% Guarantee
Price Match Guarantee
Product Size:
100µl
Quantity:
1
2
3
4
5
6
7
8
9
10
Add To Cart
Request a Quotation
Custom or Bulk Request
Shipping Information
Freight/Packing Charges:
$40
Dispatched from St. Louis, MO.
Lead Time: 6-9 business days.
Specifications
Name
Anti-GRK1 Antibody
Description
Rabbit polyclonal antibody to GRK1
Specificity
The antibody detects endogenous levels of total GRK1 protein.
Applications
IHC
Reactivity
Human
Immunogen
Synthetic peptide corresponding to a region derived from internal residues of human G protein-coupled receptor kinase 1
Host
Rabbit
Clonality
Polyclonal
Conjugate
Unconjugated
Purification
Antigen affinity purification.
Concentration
2.2 mg/ml
Formulation
Rabbit IgG in pH7.3 PBS, 0.05% NaN3, 50% Glycerol.
Storage
Store at -20˚C
Synonyms
G protein-coupled receptor kinase 1, G protein-coupled receptor kinase 7, G protein-coupled receptor kinase GRK7, GPRK7, GRK7, Rhodopsin kinase GRK1, Rhodopsin kinase GRK7, RHOK, RK
Suitable Secondaries
Goat Anti-Rabbit IgG H&L Antibody (AP) (A294874)
Goat Anti-Rabbit IgG H&L Antibody (Biotin) (A294795)
Goat Anti-Rabbit IgG H&L Antibody (FITC) (A294887)
Goat Anti-Rabbit IgG H&L Antibody (HRP) (A294888)
See all Anti-Rabbit IgG Secondaries →
Disclaimer
This product is for research use only. It is not intended for diagnostic or therapeutic use.
Scientific Validation Data
Validation Data
(2)
Enlarge Image
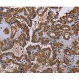
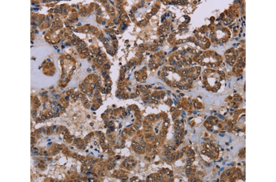
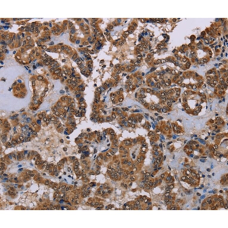
Immunohistochemistry - Anti-GRK1 Antibody (A46842)
Immunohistochemical analysis of paraffin-embedded Human thyroid cancer tissue using #36915 at dilution 1/40.
Enlarge Image
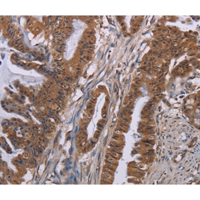
Immunohistochemistry - Anti-GRK1 Antibody (A46842)
Immunohistochemical analysis of paraffin-embedded Human oesophagus cancer tissue using #36915 at dilution 1/40.
Publishing research using Anti-GRK1 Antibody (A46842)? Please
let us know
so that we can list the citation on this page.
Alternative products to Anti-GRK1 Antibody (A46842)
(3)
A96191
Anti-GRK1 Antibody
Rabbit polyclonal antibody to GRK1 for WB, IHC and ELISA.
(3)
A11981
Anti-GRK1 Antibody
Rabbit polyclonal antibody to GRK1 for WB, IHC and ICC/IF.
(2)
A94662
Anti-GRK1 (phospho Ser21) Antibody
Rabbit polyclonal antibody to GRK1 (phospho Ser21) for WB, IHC and ELISA.
(2)
A26777
Anti-GRK1 (A17) Antibody
Rabbit polyclonal antibody to GRK1 (A17) for WB and IHC.
(2)
A30331
Anti-GRK1 Antibody
Rabbit polyclonal antibody to GRK1 for WB and IHC.
(2)
A38872
Anti-GRK1 Antibody
Rabbit polyclonal antibody to GRK1 for WB and IHC.
A96192
Anti-GRK1 Antibody
Rabbit polyclonal antibody to GRK1 for WB, IHC and ELISA.
A51084
Anti-GRK1 / 2 (Phospho-Tyr13) Antibody
Rabbit Polycolonal antibody to GRK1 / 2 (Phospho-Tyr13) for WB.
(2)
A101430
Anti-GRK7 Antibody
Rabbit polyclonal antibody to GRK7 for WB and ELISA.
(3)
A96191
Anti-GRK1 Antibody
Rabbit polyclonal antibody to GRK1 for WB, IHC and ELISA.
(3)
A11981
Anti-GRK1 Antibody
Rabbit polyclonal antibody to GRK1 for WB, IHC and ICC/IF.
(2)
A94662
Anti-GRK1 (phospho Ser21) Antibody
Rabbit polyclonal antibody to GRK1 (phospho Ser21) for WB, IHC and ELISA.
(2)
A26777
Anti-GRK1 (A17) Antibody
Rabbit polyclonal antibody to GRK1 (A17) for WB and IHC.
(2)
A30331
Anti-GRK1 Antibody
Rabbit polyclonal antibody to GRK1 for WB and IHC.
(2)
A38872
Anti-GRK1 Antibody
Rabbit polyclonal antibody to GRK1 for WB and IHC.
A96192
Anti-GRK1 Antibody
Rabbit polyclonal antibody to GRK1 for WB, IHC and ELISA.
A51084
Anti-GRK1 / 2 (Phospho-Tyr13) Antibody
Rabbit Polycolonal antibody to GRK1 / 2 (Phospho-Tyr13) for WB.
(2)
A101430
Anti-GRK7 Antibody
Rabbit polyclonal antibody to GRK7 for WB and ELISA.
See all GRK1 Antibodies
Proteins predicted to interact with GRK1
Predicted protein interactions based upon String database. Revelancy score correlates with probability of interaction.
Rhodopsin Antibodies
99.9% Relevancy Score
Recoverin Antibodies
99.9% Relevancy Score
Retinal S Antigen Antibodies
98.7% Relevancy Score
NCS1 Antibodies
96.6% Relevancy Score
beta Arrestin 1 Antibodies
95.2% Relevancy Score
beta Arrestin 2 Antibodies
94.1% Relevancy Score
CALML5 Antibodies
72.1% Relevancy Score
CALML6 Antibodies
72% Relevancy Score
CXCR2 Antibodies
70.4% Relevancy Score
Top