ISO 9001:2015 Certified
Live Customer Support
4.5/5 on Trustpilot
100% Quality Guarantee

Recombinant Anti-Growth Hormone Antibody [GH/4886R] - BSA and Azide free (A278579)

Recombinant rabbit monoclonal [GH/4886R] antibody to Growth Hormone for IHC-P.

Alternative Formats and ConjugatesAlternative Formats

Shipping Information

$40
Dispatched from St. Louis, MO.
Lead Time: 5-8 business days.
Name
Anti-Growth Hormone Antibody [GH/4886R] - BSA and Azide free
Description
Recombinant rabbit monoclonal [GH/4886R] antibody to Growth Hormone.
Specificity
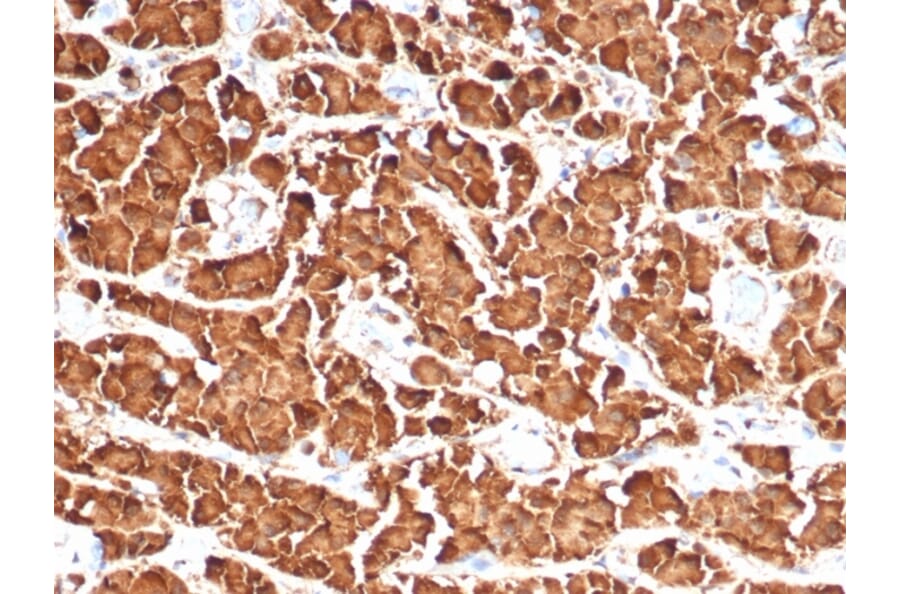
Pituitary growth hormone (GH) plays a crucial role in stimulating and controlling the growth, metabolism and differentiation of many mammalian cell types by modulating the synthesis of multiple mRNA species. These effects are mediated by the binding of GH to its membrane-bound receptor, GHR, and involve a phosphorylation cascade that results in the modulation of numerous signaling pathways. GH is synthesized by acidophilic or somatotropic cells of the anterior pituitary gland. Anti-GH is a useful marker in classification of pituitary tumors and the study of pituitary disease (acromegaly).
Applications
IHC-P
Dilutions
IHC-P: 1-2 µg/ml
Reactivity
Human
Immunogen
Recombinant full-length human Growth Hormone.
Host
Rabbit
Clonality
Monoclonal
Clone ID
GH/4886R
Isotype
IgG
Conjugate

Unconjugated

Purification
Protein A/G chromatography.
Concentration
1 mg/ml
Molecular Weight
20 kDa
Product Form
Liquid
Formulation
Supplied in 10mM Phosphate Buffered Saline; without Sodium Azide and carrier free.
Storage
Shipped at 4°C. Upon delivery aliquot and store at -20°C. Avoid freeze / thaw cycles.
General Notes
This monoclonal antibody is also available in a different formulation with BSA and Sodium Azide - Anti-Growth Hormone Antibody [GH/4886R] (A277991).
Synonyms
GH, GH-N, GH1, Growth hormone 1, Pituitary growth hormone, Somatotropin
Disclaimer
This product is for research use only. It is not intended for diagnostic or therapeutic use.
Publishing research using Recombinant Anti-Growth Hormone Antibody [GH/4886R] - BSA and Azide free (A278579)? Please let us know so that we can list the citation on this page.

Alternative products to Anti-Growth Hormone Antibody [GH/4886R] - BSA and Azide free (A278579)

Proteins predicted to interact with Growth Hormone

Predicted protein interactions based upon String database. Revelancy score correlates with probability of interaction.
99.3% Relevancy Score
99% Relevancy Score
96.4% Relevancy Score
95.9% Relevancy Score
95.6% Relevancy Score
94.9% Relevancy Score
94.4% Relevancy Score
93.6% Relevancy Score