Supplied in Phosphate Buffered Saline, pH 7.3, with 0.05% BSA, 50% Glycerol, and 0.05% ProClin 300.
Storage
Shipped at 4°C. Upon delivery aliquot and store at -20°C. Avoid freeze/thaw cycles.
Synonyms
94 kDa glucose-regulated protein, Endoplasmin, gp96 homolog, GRP-94, Heat shock protein 90 kDa beta member 1, Heat shock protein family C member 4, HSP90B1, HSPC4, TRA1, Tumor rejection antigen 1
Western Blot - Anti-GRP94 Antibody [ARC60312] (A329418)
GRP94 expression in lysates from wild type (WT) and HSP90B1 knockdown (KD) HeLa cells analyzed by western blot. Primary antibody incubation was performed for 1 hour on 25ug protein per lane with Anti-GRP94 Antibody [ARC60312] (A329418) at a dilution of 1:2000 and detected with chemiluminescence.
Western Blot - Anti-GRP94 Antibody [ARC60312] (A329418)
GRP94 expression in various lysates analyzed by western blot. Primary antibody incubation was performed for 1 hour on 25ug protein per lane with Anti-GRP94 Antibody [ARC60312] (A329418) at a dilution of 1:2000 and detected with chemiluminescence.
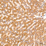
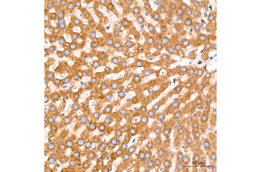
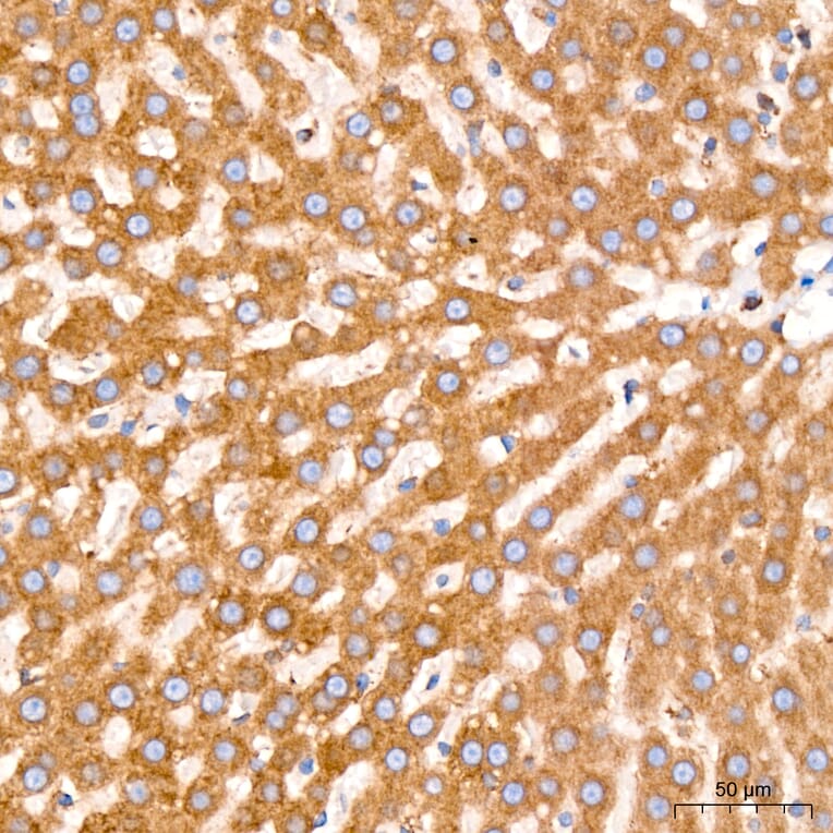
GRP94 expression in rat liver tissue analyzed by immunohistochemistry. Tissue was paraffin-embedded, and antigen retrieval was achieved with 10 mM citrate buffer, pH 6.0, under high pressure. Staining was performed with Anti-GRP94 Antibody [ARC60312] (A329418) at a dilution of 1:200.
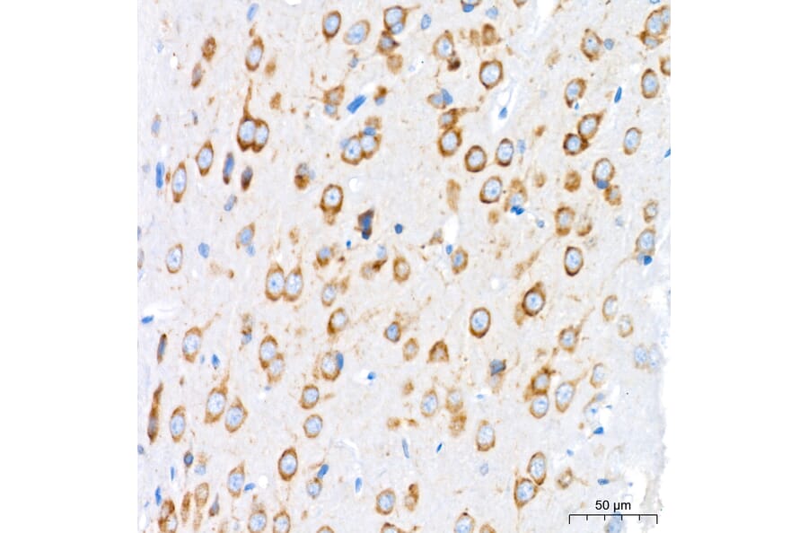
GRP94 expression in rat brain tissue analyzed by immunohistochemistry. Tissue was paraffin-embedded, and antigen retrieval was achieved with 10 mM citrate buffer, pH 6.0, under high pressure. Staining was performed with Anti-GRP94 Antibody [ARC60312] (A329418) at a dilution of 1:200.
GRP94 expression in mouse testis tissue analyzed by immunohistochemistry. Tissue was paraffin-embedded, and antigen retrieval was achieved with 10 mM citrate buffer, pH 6.0, under high pressure. Staining was performed with Anti-GRP94 Antibody [ARC60312] (A329418) at a dilution of 1:200.
GRP94 expression in mouse brain tissue analyzed by immunohistochemistry. Tissue was paraffin-embedded, and antigen retrieval was achieved with 10 mM citrate buffer, pH 6.0, under high pressure. Staining was performed with Anti-GRP94 Antibody [ARC60312] (A329418) at a dilution of 1:200.
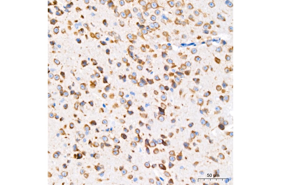
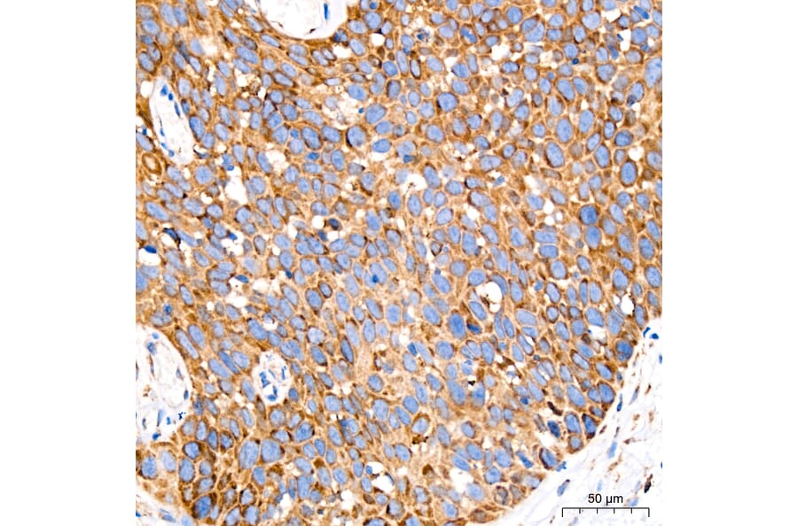
GRP94 expression in human cervix cancer tissue analyzed by immunohistochemistry. Tissue was paraffin-embedded, and antigen retrieval was achieved with 10 mM citrate buffer, pH 6.0, under high pressure. Staining was performed with Anti-GRP94 Antibody [ARC60312] (A329418) at a dilution of 1:200.
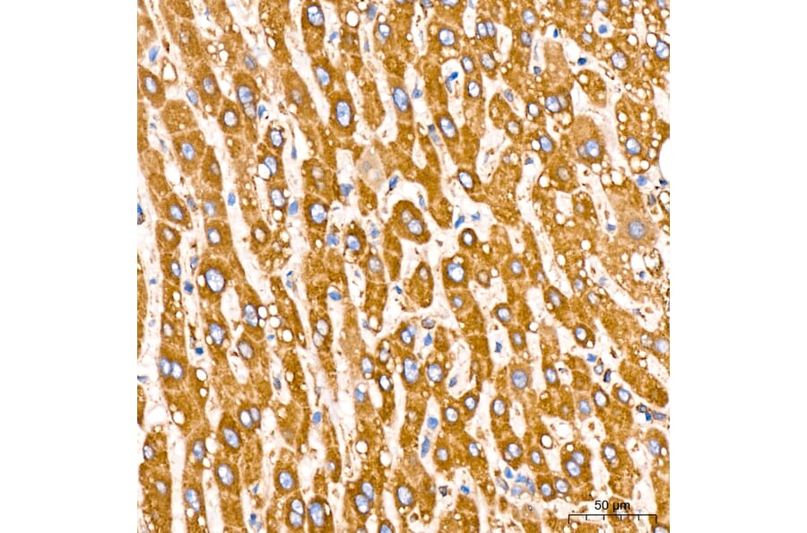
GRP94 expression in human liver tissue analyzed by immunohistochemistry. Tissue was paraffin-embedded, and antigen retrieval was achieved with 10 mM citrate buffer, pH 6.0, under high pressure. Staining was performed with Anti-GRP94 Antibody [ARC60312] (A329418) at a dilution of 1:200.