ISO 9001:2015 Certified
Live Customer Support
4.5/5 on Trustpilot
100% Quality Guarantee

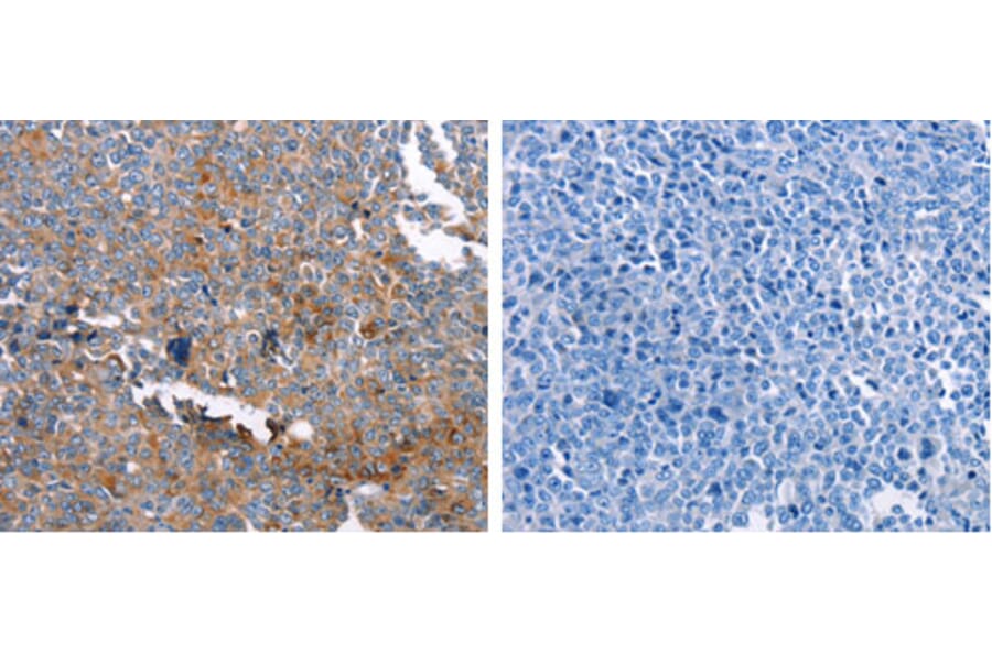
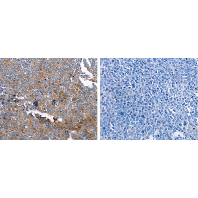
Anti-GSN Antibody (A48623)

Rabbit polyclonal antibody to GSN for ELISA, WB and IHC.

Shipping Information

$40
Dispatched from St. Louis, MO.
Lead Time: 6-9 business days.
Name
Anti-GSN Antibody
Description
Rabbit polyclonal antibody to GSN
Specificity
The antibody detects endogenous level of total GSN protein.
Applications
ELISA, WB, IHC
Reactivity
Human, Mouse
Immunogen
Synthetic peptide corresponding to a region derived from 768-782 amino acids of Human gelsolin
Host
Rabbit
Clonality
Polyclonal
Conjugate

Unconjugated

Formulation
Supplied in phosphate-buffered saline (without Mg²? and Ca²?), pH 7.3, containing 150 mM NaCl, 0.05% sodium azide, and 50% glycerol.
Storage
Shipped at 4°C. Upon delivery aliquot and store at -20°C. Avoid freeze/thaw cycles.
Synonyms
Actin-depolymerizing factor, ADF, AGEL, Brevin
Disclaimer
This product is for research use only. It is not intended for diagnostic or therapeutic use.
Publishing research using Anti-GSN Antibody (A48623)? Please let us know so that we can list the citation on this page.

Alternative products to Anti-GSN Antibody (A48623)

Proteins predicted to interact with Gelsolin

Predicted protein interactions based upon String database. Revelancy score correlates with probability of interaction.
99.6% Relevancy Score
98.7% Relevancy Score
98.5% Relevancy Score
96.1% Relevancy Score
95.4% Relevancy Score
95.2% Relevancy Score
94.1% Relevancy Score
93.6% Relevancy Score