ISO 9001:2015 Certified
Live Customer Support
4.5/5 on Trustpilot
100% Quality Guarantee

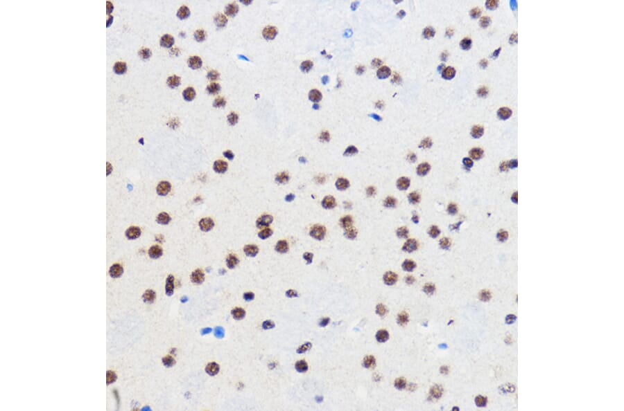
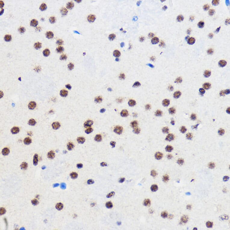
Anti-Gtf3c3 Antibody (A307763)

Rabbit polyclonal antibody to Gtf3c3 for WB, IHC and ICC/IF.

Shipping Information

$40
Dispatched from St. Louis, MO.
Lead Time: 7-10 business days.
Name
Anti-Gtf3c3 Antibody
Description
Rabbit polyclonal antibody to Gtf3c3.
Applications
WB, IHC, ICC/IF
Dilutions
WB: 1:500-1:2,000, IHC: 1:50-1:200, ICC/IF: 1:50-1:200
Reactivity
Human, Mouse, Rat
Immunogen
Recombinant fusion protein containing a sequence corresponding to amino acids 1-160 of human GTF3C3 (NP_036218.1).
Sequence
MSGFSPELIDYLEGKISFEEFERRREERKTREKKSLQEKGKLSAEENPDDSEVPSSSGINSTKSQDKDVNEGETSDGVRKSVHKVFASMLGENEDDEEEEEEEEEEEEEEETPEQPTAGDVFVLEMVLNRETKKMMKEKRPRSKLPRALRGLMGEANIRF
Host
Rabbit
Clonality
Polyclonal
Isotype
IgG
Conjugate

Unconjugated

Purification
Affinity purification.
Concentration
Lot Specific
Molecular Weight
101 kDa
Product Form
Liquid
Formulation
Supplied in Phosphate Buffered Saline, pH 7.3, with 50% Glycerol and 0.01% Thiomersal.
Storage
Shipped at 4°C. Upon delivery aliquot and store at -20°C. Avoid freeze/thaw cycles.
Synonyms
General transcription factor 3C polypeptide 3, TF3C-gamma, TFIIIC 102 kDa subunit, TFIIIC102, Transcription factor IIIC 102 kDa subunit, Transcription factor IIIC subunit gamma
Disclaimer
This product is for research use only. It is not intended for diagnostic or therapeutic use.
Publishing research using Anti-Gtf3c3 Antibody (A307763)? Please let us know so that we can list the citation on this page.

Alternative products to Anti-Gtf3c3 Antibody (A307763)

Proteins predicted to interact with GTF3C3

Predicted protein interactions based upon String database. Revelancy score correlates with probability of interaction.
99.8% Relevancy Score
99.7% Relevancy Score
99.5% Relevancy Score
98.9% Relevancy Score
97.8% Relevancy Score
96.8% Relevancy Score
96.3% Relevancy Score
95.9% Relevancy Score
95.9% Relevancy Score