Primary Antibodies
Secondary Antibodies
Proteins & Peptides
ELISA Kits
About Us
Contact Us
Sign In/Register
0
ISO 9001:2015 Certified
Live Customer Support
4.5/5 on Trustpilot
100% Quality Guarantee
Home
Primary Antibodies
Granzyme K Antibodies
Anti-GZMK Antibody (A46982)
Anti-GZMK Antibody (A46982)
Overview
Specifications
Images
Enlarge Image
Enlarge Image
$405
Rabbit polyclonal antibody to GZMK for IHC.
100% Guarantee
Price Match Guarantee
Product Size:
100µl
Quantity:
1
2
3
4
5
6
7
8
9
10
Add To Cart
Request a Quotation
Custom or Bulk Request
Shipping Information
Freight/Packing Charges:
$40
Dispatched from St. Louis, MO.
Lead Time: 6-9 business days.
Specifications
Name
Anti-GZMK Antibody
Description
Rabbit polyclonal antibody to GZMK
Specificity
The antibody detects endogenous levels of total GZMK protein.
Applications
IHC
Reactivity
Human
Immunogen
Synthetic peptide corresponding to a region derived from internal residues of human granzyme K (granzyme 3; tryptase II)
Host
Rabbit
Clonality
Polyclonal
Conjugate
Unconjugated
Purification
Antigen affinity purification.
Concentration
1.2 mg/ml
Formulation
Rabbit IgG in pH7.4 PBS, 0.05% NaN3, 40% Glycerol.
Storage
Store at -20˚C
Synonyms
Fragmentin-3, Granzyme-3, NK-Tryp-2, NK-tryptase-2, TRYP2
Suitable Secondaries
Goat Anti-Rabbit IgG H&L Antibody (AP) (A294874)
Goat Anti-Rabbit IgG H&L Antibody (Biotin) (A294795)
Goat Anti-Rabbit IgG H&L Antibody (FITC) (A294887)
Goat Anti-Rabbit IgG H&L Antibody (HRP) (A294888)
See all Anti-Rabbit IgG Secondaries →
Disclaimer
This product is for research use only. It is not intended for diagnostic or therapeutic use.
Scientific Validation Data
Validation Data
(2)
Enlarge Image
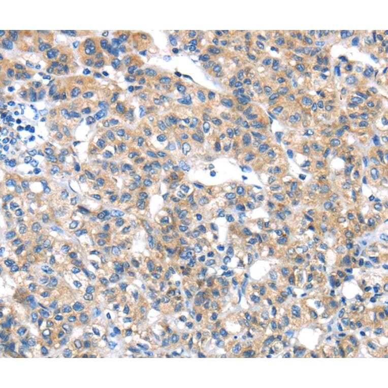
Immunohistochemistry - Anti-GZMK Antibody (A46982)
Immunohistochemical analysis of paraffin-embedded Human thyroid cancer tissue using #40180 at dilution 1/20.
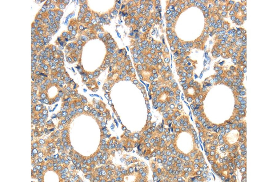
Enlarge Image
Immunohistochemistry - Anti-GZMK Antibody (A46982)
Immunohistochemical analysis of paraffin-embedded Human liver cancer tissue using #40180 at dilution 1/20.
Publishing research using Anti-GZMK Antibody (A46982)? Please
let us know
so that we can list the citation on this page.
Alternative products to Anti-GZMK Antibody (A46982)
(4)
A95368
Anti-GRAK Antibody
Rabbit polyclonal antibody to GRAK for WB, IHC, IF and ELISA.
(2)
A26254
Anti-Granzyme K (H85) Antibody
Rabbit polyclonal antibody to Granzyme K (H85) for WB, IHC and IF.
A34288
Anti-Granzyme K Antibody
Rabbit polyclonal antibody to Granzyme K for WB, IHC, IF and ELISA.
A17152
Anti-Granzyme K Antibody
Rabbit polyclonal antibody to Granzyme K for WB.
(4)
A95368
Anti-GRAK Antibody
Rabbit polyclonal antibody to GRAK for WB, IHC, IF and ELISA.
(2)
A26254
Anti-Granzyme K (H85) Antibody
Rabbit polyclonal antibody to Granzyme K (H85) for WB, IHC and IF.
A34288
Anti-Granzyme K Antibody
Rabbit polyclonal antibody to Granzyme K for WB, IHC, IF and ELISA.
A17152
Anti-Granzyme K Antibody
Rabbit polyclonal antibody to Granzyme K for WB.
Proteins predicted to interact with Granzyme K
Predicted protein interactions based upon String database. Revelancy score correlates with probability of interaction.
MSMB Antibodies
98% Relevancy Score
Granzyme A Antibodies
97.1% Relevancy Score
CD3 delta Antibodies
94.1% Relevancy Score
CD161 Antibodies
93.1% Relevancy Score
CD8 alpha Antibodies
91.5% Relevancy Score
Perforin Antibodies
89.3% Relevancy Score
CD2 Antibodies
88.9% Relevancy Score
Granzyme H Antibodies
87.8% Relevancy Score
RANTES Antibodies
85.1% Relevancy Score
Top