ISO 9001:2015 Certified
Live Customer Support
4.5/5 on Trustpilot
100% Quality Guarantee

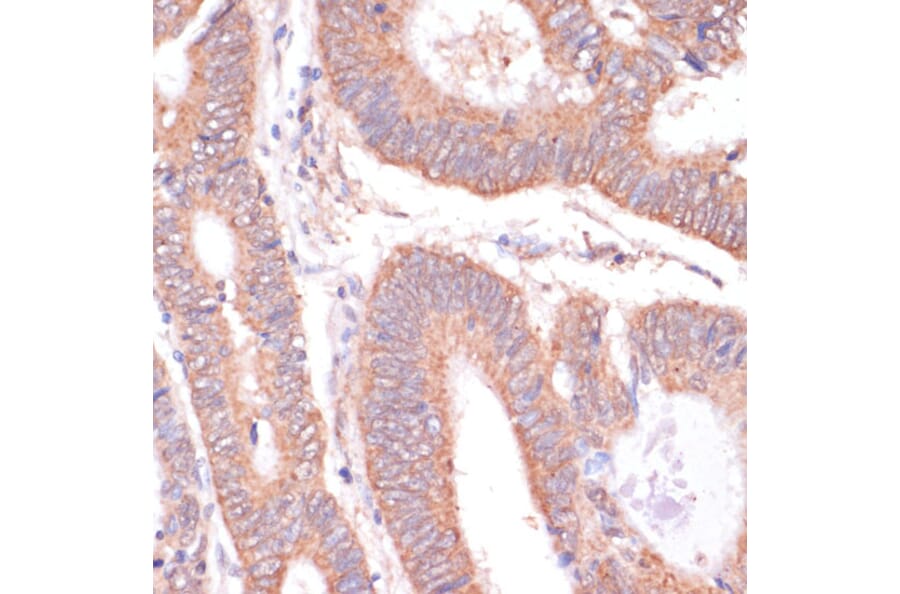
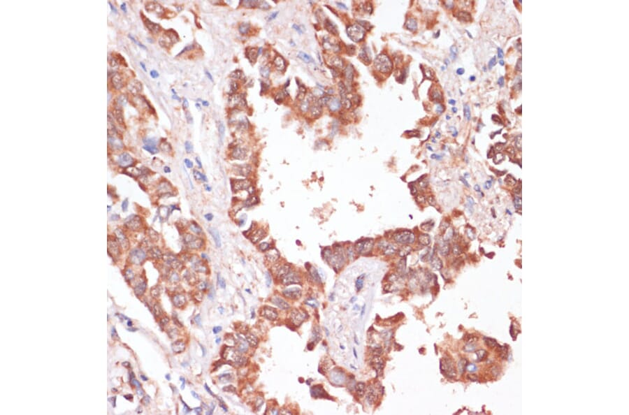
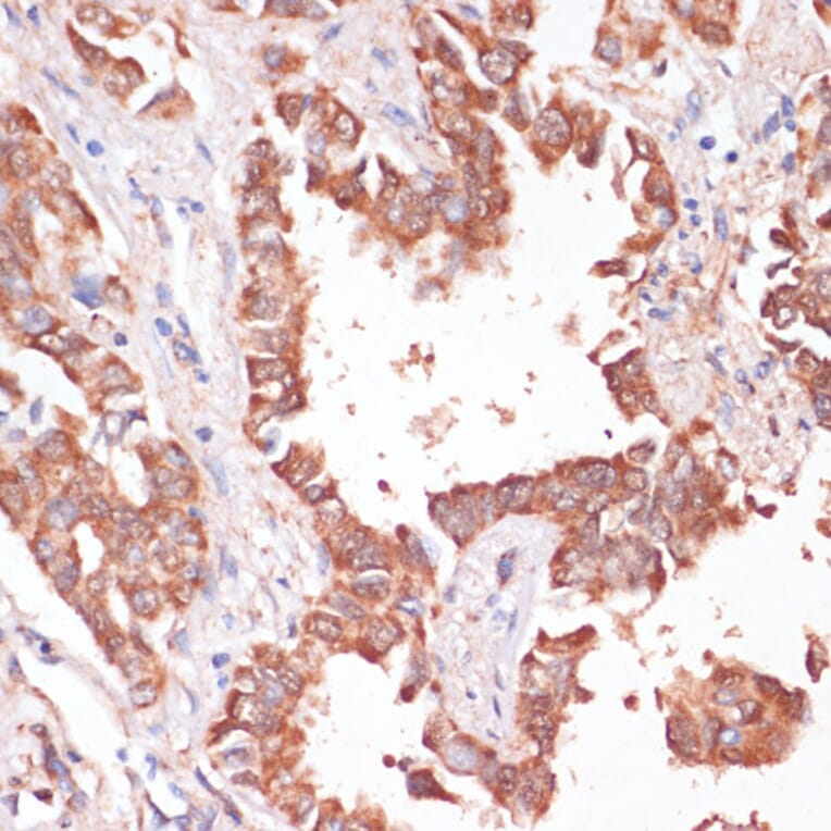
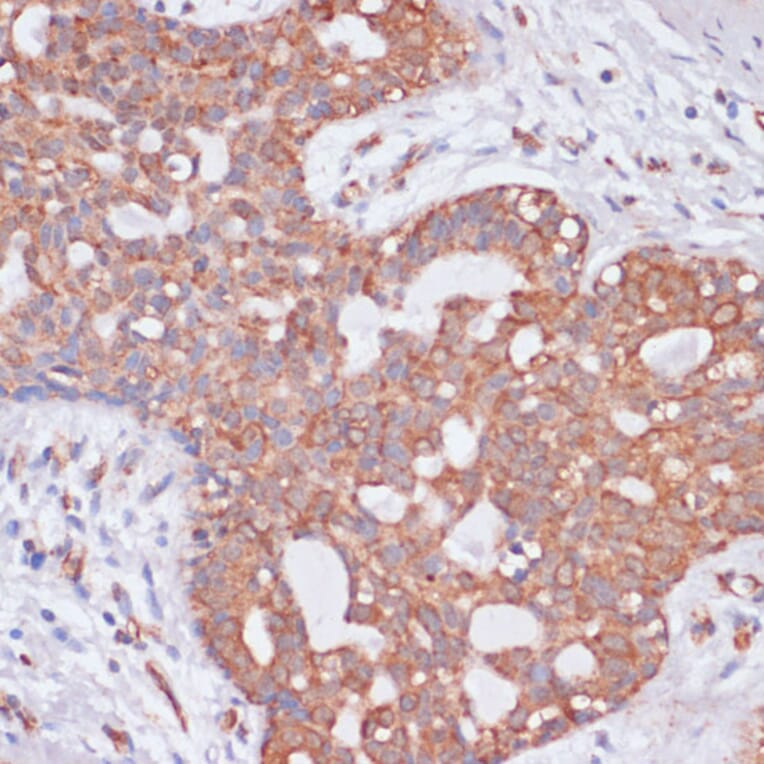
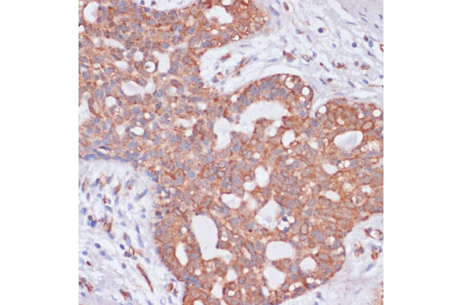
Anti-H-ERG Antibody (A14281)

Rabbit polyclonal antibody to H-ERG for WB and IHC.

Shipping Information

$40
Dispatched from St. Louis, MO.
Lead Time: 7-10 business days.
Name
Anti-H-ERG Antibody
Description
Rabbit polyclonal antibody to H-ERG.
Applications
WB, IHC
Dilutions
WB: 1:500-1:2,000, IHC: 1:50-1:200
Reactivity
Human, Mouse
Immunogen
A synthetic peptide corresponding to a sequence within amino acids 850-950 of human KCNH2 (NP_000229.1).
Sequence
DHFWSSLEITFNLRDTNMIPGSPGSTELEGGFSRQRKRKLSFRRRTDKDTEQPGEVSALGPGRAGAGPSSRGRPGGPWGESPSSGPSSPESSEDEGPGRSS
Host
Rabbit
Clonality
Polyclonal
Isotype
IgG
Conjugate

Unconjugated

Purification
Affinity purification.
Concentration
Lot Specific
Molecular Weight
148 kDa
Product Form
Liquid
Formulation
Supplied in Phosphate Buffered Saline, pH 7.3, with 50% Glycerol and 0.01% Thiomersal.
Storage
Shipped at 4°C. Upon delivery aliquot and store at -20°C. Avoid freeze/thaw cycles.
Synonyms
Eag homolog, Eag-related protein 1, ERG, ERG-1, ERG1, Ether-a-go-go-related gene potassium channel 1, Ether-a-go-go-related protein 1, HERG, hERG-1, hERG1, Potassium voltage-gated channel subfamily H member 2, Voltage-gated potassium channel subunit Kv11.1
Disclaimer
This product is for research use only. It is not intended for diagnostic or therapeutic use.
Publishing research using Anti-H-ERG Antibody (A14281)? Please let us know so that we can list the citation on this page.

Alternative products to Anti-H-ERG Antibody (A14281)

Proteins predicted to interact with KCNH2

Predicted protein interactions based upon String database. Revelancy score correlates with probability of interaction.
99.8% Relevancy Score
99.4% Relevancy Score
98.3% Relevancy Score
97.8% Relevancy Score
95.8% Relevancy Score
93% Relevancy Score
89.1% Relevancy Score
88.3% Relevancy Score
87.4% Relevancy Score