Unconjugated
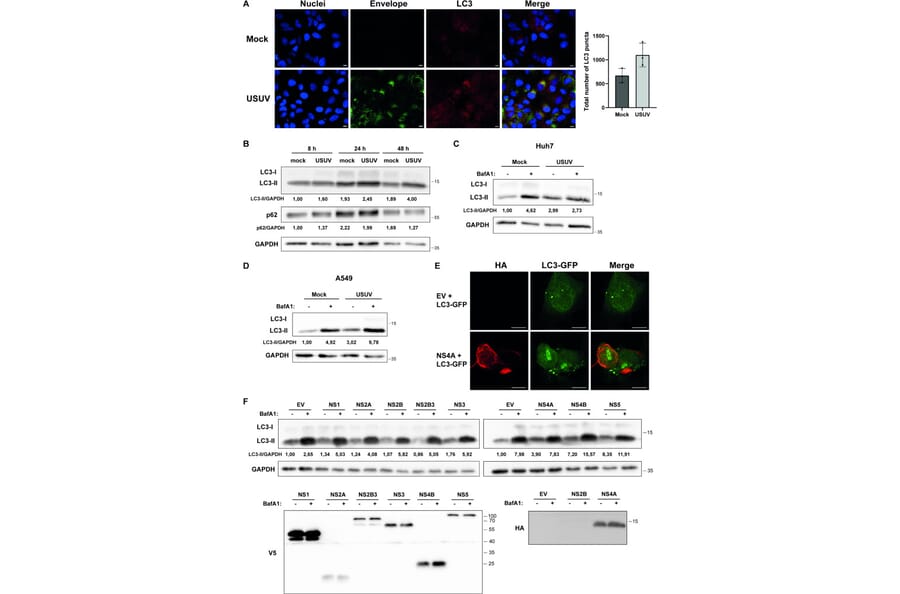
Usutu virus (USUV) is an emerging orthoflavivirus, which mainly affects birds but in rare cases can cause severe neuroinvasive disease in humans. The virus relies on a multitude of host cell proteins, molecules and cellular processes for its replication, and must subvert host antiviral responses to establish a successful infection. Studying the complex network of virus-host protein interactions by proteomics approaches can therefore provide new insights in the replication cycle of USUV and its pathogenesis. We have previously shown that the USUV protein NS4A acts as an antagonist of the antiviral interferon response, and here we further map the host interaction partners of USUV NS4A using proximity labeling coupled to mass spectrometry. The resulting NS4A interactome revealed many host proteins involved in the autophagy pathway. We showed that both USUV infection and overexpression of USUV NS4A can indeed induce the autophagy pathway. However, stimulation or inhibition of the autophagy pathway in general did not affect USUV replication. Therefore, we decided to specifically analyze the role of the selective autophagy receptor sequestosome 1 (p62/SQSTM1), since we identified this protein as an important interaction partner of USUV NS4A. We found that p62 is involved in the degradation of USUV NS4A. In agreement with this, the knockdown of p62 enhanced replication of USUV in A549 cells. P62 thus plays an antiviral role during USUV infection, although this antiviral effect might also be related to its functions outside the autophagy pathway, such as modulation of the immune response. In conclusion, this study showed that USUV NS4A induces autophagy and is then targeted by p62 for degradation by the autophagic machinery, uncovering a new role of p62 in the antiviral defense against USUV.
Adar null mutant mouse embryos die with aberrant double-stranded RNA (dsRNA)-driven interferon induction, and Adar Mavs double mutants, in which interferon induction is prevented, die soon after birth. Protein kinase R (Pkr) is aberrantly activated in Adar Mavs mouse pup intestines before death, intestinal crypt cells die, and intestinal villi are lost. Adar Mavs Eifak2 (Pkr) triple mutant mice rescue all defects and have long-term survival. Adenosine deaminase acting on RNA 1 (ADAR1) and PKR co-immunoprecipitate from cells, suggesting PKR inhibition by direct interaction. AlphaFold studies on an inhibitory PKR dsRNA binding domain (dsRBD)-kinase domain interaction before dsRNA binding and on an inhibitory ADAR1 dsRBD3-PKR kinase domain interaction on dsRNA provide a testable model of the inhibition. Wild-type or editing-inactive human ADAR1 expressed in A549 cells inhibits activation of endogenous PKR. ADAR1 dsRNA binding is required for, but is not sufficient for, PKR inhibition. Mutating the ADAR1 dsRBD3-PKR contact prevents co-immunoprecipitation, ADAR1 inhibition of PKR activity, and co-localization of ADAR1 and PKR in cells.