ISO 9001:2015 Certified
Live Customer Support
4.5/5 on Trustpilot
100% Quality Guarantee

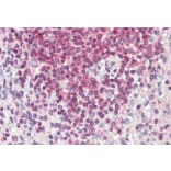
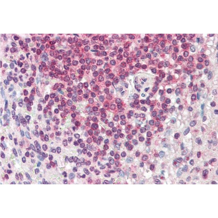
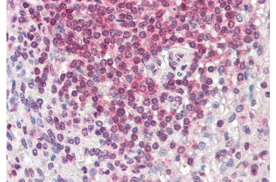
Anti-HA1 Antibody (A286065)

Goat polyclonal antibody to HA1 for ELISA and IHC.

Shipping Information

$40
Dispatched from St. Louis, MO.
Lead Time: 7-10 business days.
Name
Anti-HA1 Antibody
Description
Goat polyclonal antibody to HA1.
Applications
ELISA, IHC
Dilutions
ELISA: 1:128,000, WB: 0.05µg/ml, IHC: 5µg/ml
Reactivity
Human
Immunogen
Synthetic peptide corresponding to the N terminal region, amino acids 57-71, of human HA1.
Sequence
KATGTLKRPTSLSRH-C
Host
Goat
Clonality
Polyclonal
Isotype
IgG
Conjugate

Unconjugated

Purification
Purified from goat serum by ammonium sulphate precipitation followed by antigen affinity chromatography using the immunizing peptide.
Concentration
500 µg/ml
Molecular Weight
200 kDa
Product Form
Liquid
Formulation
Supplied in Tris Buffered Saline, pH 7.3, with 0.5% BSA and 0.02% Sodium Azide.
Storage
Shipped at 4°C. Upon delivery aliquot and store at -20°C. Avoid freeze/thaw cycles.
Isotype Controls
Disclaimer
This product is for research use only. It is not intended for diagnostic or therapeutic use.
Publishing research using Anti-HA1 Antibody (A286065)? Please let us know so that we can list the citation on this page.