Primary Antibodies
Secondary Antibodies
Proteins & Peptides
ELISA Kits
About Us
Contact Us
Sign In/Register
0
ISO 9001:2015 Certified
Live Customer Support
4.5/5 on Trustpilot
100% Quality Guarantee
Home
Primary Antibodies
HAGH Antibodies
Anti-HAGH Antibody (A38994)
Anti-HAGH Antibody (A38994)
Overview
Specifications
Images
Enlarge Image
Enlarge Image
Enlarge Image
$430
Product Datasheet
Rabbit polyclonal antibody to HAGH for WB and IHC.
100% Guarantee
Price Match Guarantee
Product Size:
100µl
Quantity:
1
2
3
4
5
6
7
8
9
10
Add To Cart
Request a Quotation
Custom or Bulk Request
Shipping Information
Freight/Packing Charges:
$40
Dispatched from St. Louis, MO.
Lead Time: 6-9 business days.
Specifications
Name
Anti-HAGH Antibody
Description
Rabbit polyclonal antibody to HAGH
Specificity
The antibody detects endogenous levels of total HAGH protein.
Applications
WB
,
IHC
Reactivity
Human
Immunogen
Fusion protein of human HAGH
Host
Rabbit
Clonality
Polyclonal
Conjugate
Unconjugated
Purification
Antigen affinity purification.
Concentration
1 mg/mL
Formulation
Rabbit IgG in pH7.4 PBS, 0.05% NaN3, 40% Glycerol.
Storage
Shipped at 4°C. Upon delivery aliquot and store at -20°C. Avoid freeze/thaw cycles.
Synonyms
GLO2, Glx II, Glyoxalase II, HAGH1, Hydroxyacylglutathione hydrolase, mitochondrial
Suitable Secondaries
Goat Anti-Rabbit IgG H&L Antibody (AP) (A294874)
Goat Anti-Rabbit IgG H&L Antibody (Biotin) (A294795)
Goat Anti-Rabbit IgG H&L Antibody (FITC) (A294887)
Goat Anti-Rabbit IgG H&L Antibody (HRP) (A294888)
See all Anti-Rabbit IgG Secondaries →
Disclaimer
This product is for research use only. It is not intended for diagnostic or therapeutic use.
Scientific Validation Data
Validation Data
(3)
Enlarge Image
Anti-HAGH Antibody (A38994)
Gel: 8% SDS-PAGE Lysate: 40 μg Lane: Hepg2 cell Primary antibody: 1/400 dilution Secondary antibody: Goat anti rabbit IgG at 1/8000 dilution Exposure time: 1 second
Enlarge Image
Immunohistochemistry - Anti-HAGH Antibody (A38994)
Immunohistochemical analysis of paraffin-embedded Human lung cancer tissue using #43077 at dilution 1/20.
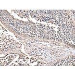
Enlarge Image
Immunohistochemistry - Anti-HAGH Antibody (A38994)
Immunohistochemical analysis of paraffin-embedded Human prostate cancer tissue using #43077 at dilution 1/20.
Publishing research using Anti-HAGH Antibody (A38994)? Please
let us know
so that we can list the citation on this page.
Alternative products to Anti-HAGH Antibody (A38994)
(2)
A9940
Anti-HAGH Antibody
Rabbit polyclonal antibody to HAGH for WB and ICC/IF.
(2)
A40069
Anti-HAGH Antibody
Rabbit polyclonal antibody to HAGH for WB and ICC/IF.
A31462
Anti-HAGH Antibody
Rabbit polyclonal antibody to HAGH for WB and IHC.
(2)
A9940
Anti-HAGH Antibody
Rabbit polyclonal antibody to HAGH for WB and ICC/IF.
(2)
A40069
Anti-HAGH Antibody
Rabbit polyclonal antibody to HAGH for WB and ICC/IF.
A31462
Anti-HAGH Antibody
Rabbit polyclonal antibody to HAGH for WB and IHC.
Proteins predicted to interact with HAGH
Predicted protein interactions based upon String database. Revelancy score correlates with probability of interaction.
GLO1 Antibodies
99.9% Relevancy Score
LDHD Antibodies
93.3% Relevancy Score
ESD Antibodies
80.1% Relevancy Score
CES2 Antibodies
76.7% Relevancy Score
MKRN1 Antibodies
67.7% Relevancy Score
ADH5 Antibodies
64% Relevancy Score
PGM3 Antibodies
63.6% Relevancy Score
DJ-1 Antibodies
59% Relevancy Score
CES1 Antibodies
55.5% Relevancy Score
Top