Primary Antibodies
Secondary Antibodies
Proteins & Peptides
ELISA Kits
About Us
Contact Us
Sign In/Register
0
ISO 9001:2015 Certified
Live Customer Support
4.5/5 on Trustpilot
100% Quality Guarantee
Home
Primary Antibodies
Hairy Cell Leukemia Antibodies
Anti-Hairy Cell Leukemia Antibody [IHC687] (A324394)
Anti-Hairy Cell Leukemia Antibody [IHC687] (A324394)
Overview
Specifications
Images
Enlarge Image
$305
Product Datasheet
Mouse monoclonal [IHC687] antibody to Hairy Cell Leukemia for IHC-P.
100% Guarantee
Price Match Guarantee
Product Size:
100µl
Quantity:
1
2
3
4
5
6
7
8
9
10
Add To Cart
Request a Quotation
Custom or Bulk Request
Shipping Information
Freight/Packing Charges:
$40
Dispatched from St. Louis, MO.
Lead Time: 7-10 business days.
Specifications
Name
Anti-Hairy Cell Leukemia Antibody [IHC687]
Description
Mouse monoclonal [IHC687] antibody to Hairy Cell Leukemia.
Applications
IHC-P
Positive Control
Tonsil
Dilutions
IHC-P: 1:25-1:50
Reactivity
Human
Host
Mouse
Clonality
Monoclonal
Clone ID
IHC687
Isotype
IgM
Conjugate
Unconjugated
Concentration
Lot Specific
Product Form
Liquid
Formulation
Supplied in Tris Buffered Saline, pH 7.3-7.7, with 1% BSA and < 0.1% Sodium Azide.
Storage
Shipped at 4°C. Store at 4°C.
Isotype Controls
Mouse IgM [PRF-03] (A86761)
Suitable Secondaries
Goat Anti-Mouse IgG H&L Antibody (AP) (A301438)
Goat Anti-Mouse IgG H&L Antibody (Biotin) (A301439)
Goat Anti-Mouse IgG H&L Antibody (FITC) (A301669)
Goat Anti-Mouse IgG H&L Antibody (HRP) (A301445)
See all Anti-Mouse IgG Secondaries →
Disclaimer
This product is for research use only. It is not intended for diagnostic or therapeutic use.
Scientific Validation Data
Validation Data
(1)
Enlarge Image
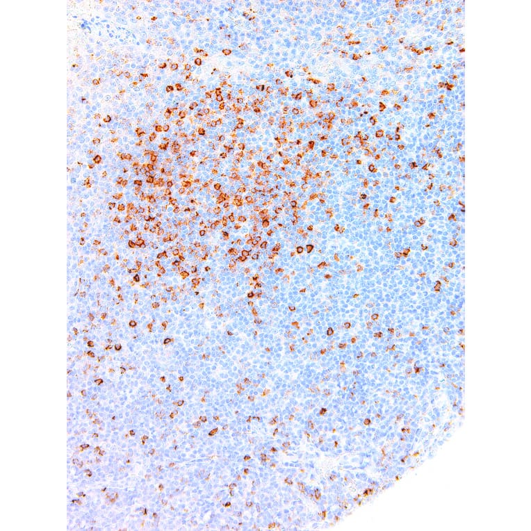
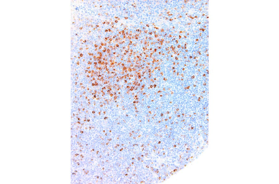
Immunohistochemistry - Anti-Hairy Cell Leukemia Antibody [IHC687] (A324394)
Immunohistochemical analysis of formalin-fixed, pariffin-embedded human tonsil tissue using Anti-Hairy Cell Leukemia Antibody [IHC687] (A324394).
Publishing research using Anti-Hairy Cell Leukemia Antibody [IHC687] (A324394)? Please
let us know
so that we can list the citation on this page.
Top