ISO 9001:2015 Certified
Live Customer Support
4.5/5 on Trustpilot
100% Quality Guarantee

Anti-Haptoglobin Antibody (A98908)

This product is discontinued

Anti-Haptoglobin Antibody (A98908) has been discontinued and is no longer available.

View all available products.

Name
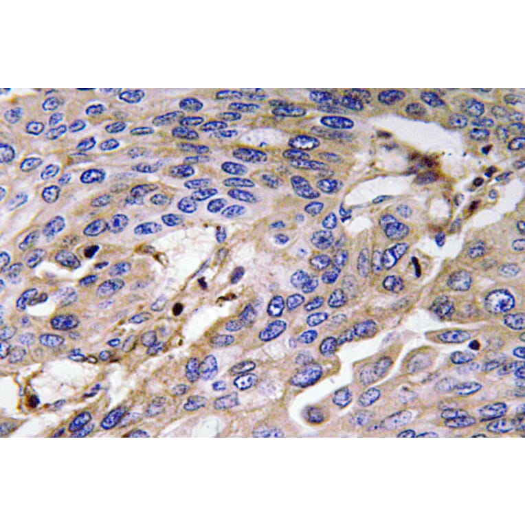
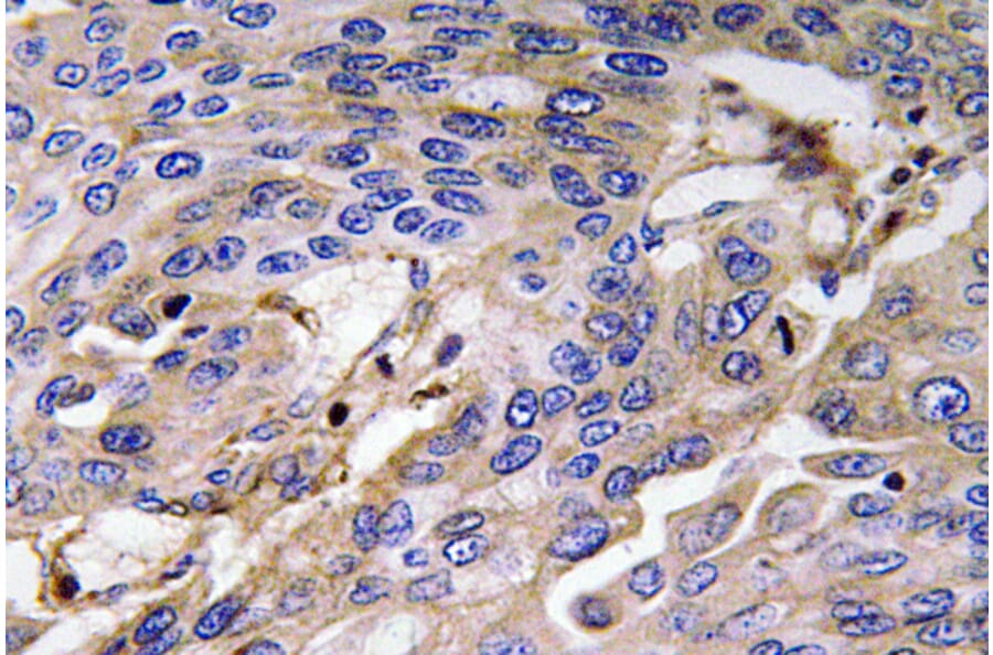
Anti-Haptoglobin Antibody
Description
Rabbit polyclonal antibody to Haptoglobin.
Applications
IHC, ELISA
Dilutions
IHC: 1:50-1:100, ELISA: 1:10000
Reactivity
Human
Immunogen
Synthetic peptide derived from human Haptoglobin (amino acids 279-328).
Host
Rabbit
Clonality
Polyclonal
Isotype
IgG
Conjugate

Unconjugated

Purification
Purified from rabbit serum by antigen affinity chromatography using the immunizing peptide.
Molecular Weight
45kDa
Product Form
Liquid
Formulation
Supplied in Phosphate Buffered Saline (without Mg2+ and Ca2+), pH 7.4, with 150mM NaCl, 0.02% Sodium Azide, and 50% Glycerol.
Storage
Shipped at 4°C. Upon delivery aliquot and store at -20°C. Avoid freeze / thaw cycles.
Disclaimer
This product is for research use only. It is not intended for diagnostic or therapeutic use.