ISO 9001:2015 Certified
Live Customer Support
4.5/5 on Trustpilot
100% Quality Guarantee

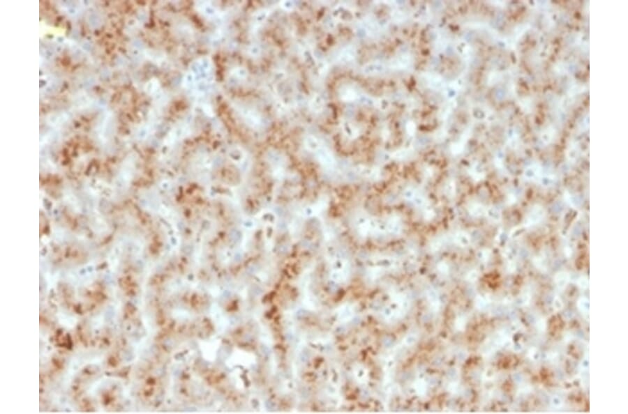
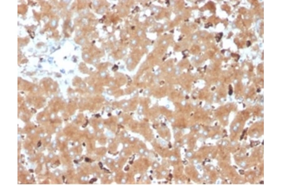
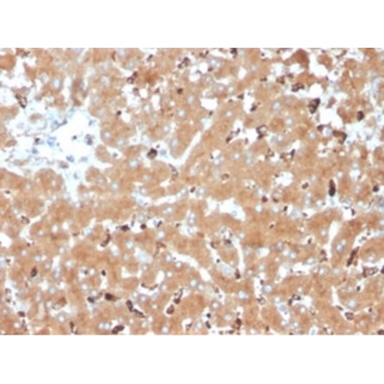
Anti-Haptoglobin Antibody [HP/3835] - BSA and Azide free (A278234)

Mouse monoclonal [HP/3835] antibody to Haptoglobin for IHC-P.

Alternative Formats and ConjugatesAlternative Formats

Shipping Information

$40
Dispatched from St. Louis, MO.
Lead Time: 5-8 business days.
Name
Anti-Haptoglobin Antibody [HP/3835] - BSA and Azide free
Description
Mouse monoclonal [HP/3835] antibody to Haptoglobin.
Specificity
Haptoglobin (Hp) is a blood plasma protein that functions to bind free Hemoglobin that has been released from erythrocytes, thereby inhibiting its oxidative activity. During this process, Haptoglobin sequesters the iron within Hemoglobin, preventing iron-utilizing bacteria from benefitting from hemolysis. This function suggests that Haptoglobin concentrations may increase in response to inflammation. The resulting Haptoglobin-Hemoglobin complex is then removed by the reticulo-endothelial system. Due to cleavage of a common precursor protein during protein synthesis, Haptoglobin consists of two a and two b chains, connected by disulfide bridges. In human, Haptoglobin exists in two allelic forms designated Haptoglobin 1 (Hp1) and Haptoglobin 2 (Hp2), where Hp2 is the result of a partial Hp1 gene duplication. There are three known phenotypes of human Haptoglobin: Hp1-1, Hp2-1 and Hp2-2, which may be associated with diabetes and cardiovascular disease pathology and a susceptibility to Parkinson s and Crohn s disease. Haptoglobin levels are useful in diagnosing hemolytic anemia, the abnormal breakdown of red blood cells. Haptoglobin is expressed in mammalian hepatocytes as well as other tissues such as skin, lung and kidney.
Applications
IHC-P
Dilutions
IHC-P: 1-2 µg/ml
Reactivity
Human
Immunogen
Recombinant fragment, around amino acids 100-250, of human Haptoglobin. The exact sequence is proprietary.
Host
Mouse
Clonality
Monoclonal
Clone ID
HP/3835
Isotype
IgG1
Light Chains
kappa
Conjugate

Unconjugated

Purification
Protein A/G chromatography.
Concentration
1 mg/ml
Molecular Weight
15-18 kDa / 45 kDa
Product Form
Liquid
Formulation
Supplied in 10mM Phosphate Buffered Saline; without Sodium Azide and carrier free.
Storage
Shipped at 4°C. Upon delivery aliquot and store at -20°C. Avoid freeze / thaw cycles.
General Notes
This monoclonal antibody is also available in a different formulation with BSA and Sodium Azide - Anti-Haptoglobin Antibody [HP/3835] (A277646).
Synonyms
HP, Zonulin
Disclaimer
This product is for research use only. It is not intended for diagnostic or therapeutic use.
Publishing research using Anti-Haptoglobin Antibody [HP/3835] - BSA and Azide free (A278234)? Please let us know so that we can list the citation on this page.

Alternative products to Anti-Haptoglobin Antibody [HP/3835] - BSA and Azide free (A278234)

Proteins predicted to interact with Haptoglobin

Predicted protein interactions based upon String database. Revelancy score correlates with probability of interaction.
99.9% Relevancy Score
99.8% Relevancy Score
99.5% Relevancy Score
99.4% Relevancy Score
97.2% Relevancy Score
96.1% Relevancy Score
95.2% Relevancy Score