ISO 9001:2015 Certified
Live Customer Support
4.5/5 on Trustpilot
100% Quality Guarantee

Anti-HAUS8 Antibody (A15678)

Rabbit polyclonal antibody to HAUS8 for WB and IF.

Shipping Information

$40
Dispatched from St. Louis, MO.
Lead Time: 7-10 business days.
Name
Anti-HAUS8 Antibody
Description
Rabbit polyclonal antibody to HAUS8.
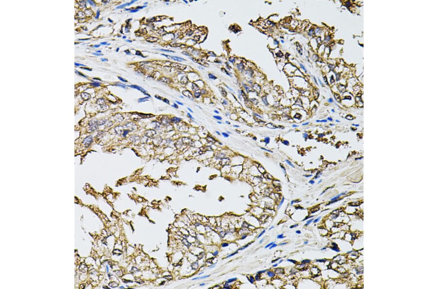
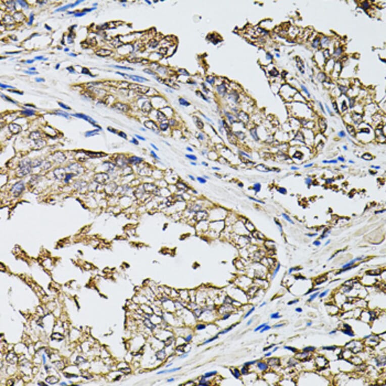
Applications
WB, IF
Dilutions
WB: 1:500-1:2000, IF: 1:50-1:200
Reactivity
Human, Mouse
Immunogen
Recombinant fusion protein containing a sequence corresponding to amino acids 166-410 of human HAUS8 (NP_219485.1).
Sequence
NLAEFERRAEKNLLIMCKEKEKLQKKAHELKRRLLLSQRKRELADVLDAQIEMLSPFEAVATRFKEQYRTFATALDTTRHELPVRSIHLEGDGQQLLDALQHELVTTQRLLGELDVGDSEENVQVLDLLSELKDVTAKKDLELRRSFAQVLELSAEASKEAALANQEVWEETQGMAPPSRWYFNQDSACRESGGAPKNTPLSEDDNPGASSAPAQATFISPSEDFSSSSQAEVPPSLSRSGRDLS
Host
Rabbit
Clonality
Polyclonal
Isotype
IgG
Conjugate

Unconjugated

Purification
Affinity purification.
Concentration
Lot Specific
Molecular Weight
50kDa
Product Form
Liquid
Formulation
Supplied in Phosphate Buffered Saline, pH 7.30, with 0.02% Sodium Azide and 50% Glycerol.
Storage
Shipped at 4°C. Upon delivery aliquot and store at -20°C. Avoid freeze/thaw cycles.
Synonyms
HAUS augmin-like complex subunit 8, HEC1/NDC80-interacting centrosome-associated protein 1, HICE1, Sarcoma antigen NY-SAR-48
Disclaimer
This product is for research use only. It is not intended for diagnostic or therapeutic use.
Publishing research using Anti-HAUS8 Antibody (A15678)? Please let us know so that we can list the citation on this page.

Alternative products to Anti-HAUS8 Antibody (A15678)

Proteins predicted to interact with NYS48

Predicted protein interactions based upon String database. Revelancy score correlates with probability of interaction.
99.9% Relevancy Score
99.9% Relevancy Score
99.9% Relevancy Score
83.8% Relevancy Score
83.1% Relevancy Score
70.3% Relevancy Score
69.1% Relevancy Score
68.8% Relevancy Score