ISO 9001:2015 Certified
Live Customer Support
4.5/5 on Trustpilot
100% Quality Guarantee

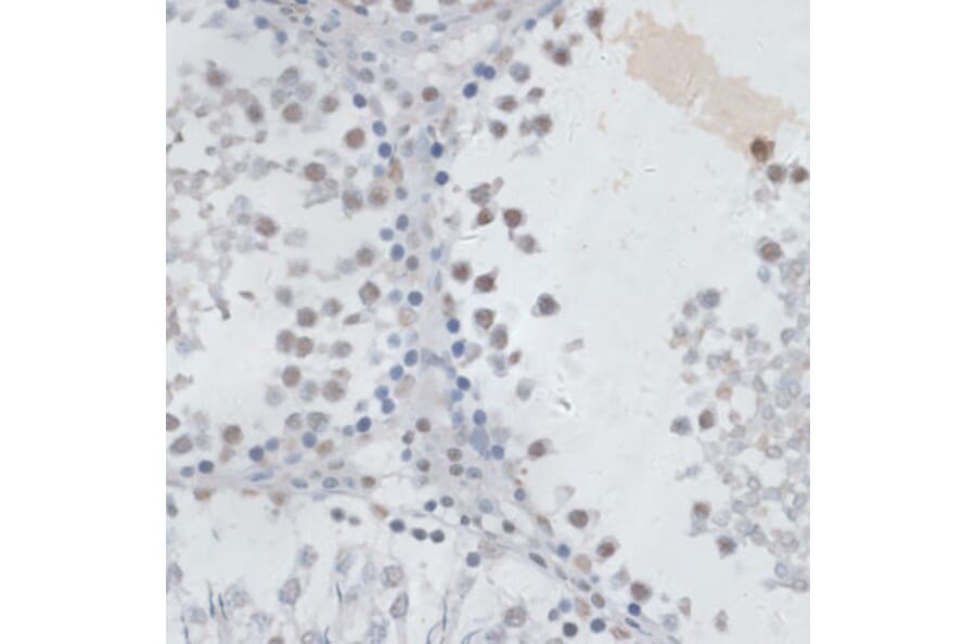
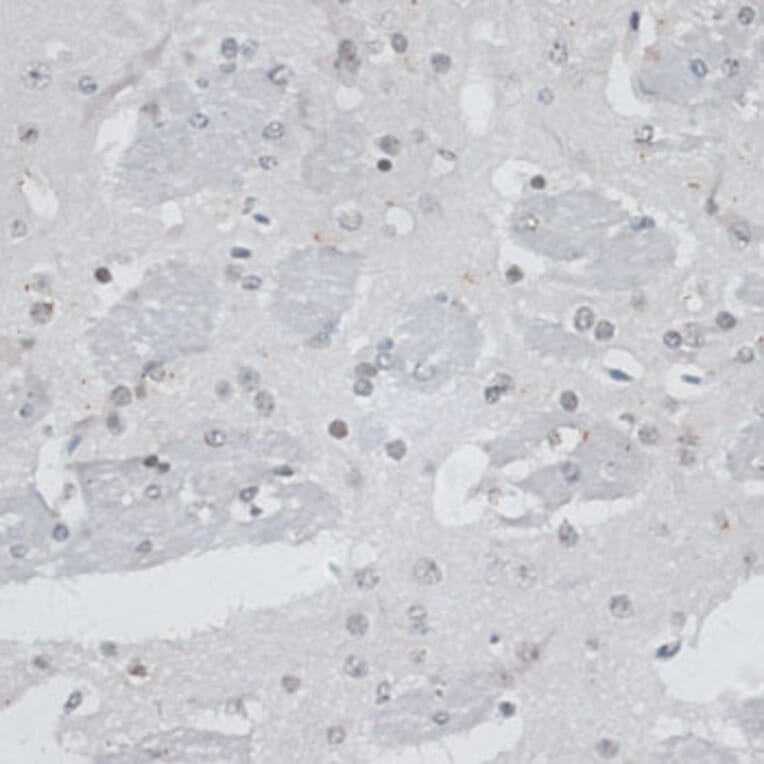
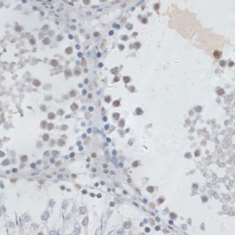
Anti-HAUSP / USP7 Antibody (A88194)

This product is discontinued

Anti-HAUSP / USP7 Antibody (A88194) has been discontinued and is no longer available.

View all Primary Antibodies.

Name
Anti-HAUSP / USP7 Antibody
Description
Rabbit polyclonal antibody to HAUSP / USP7.
Applications
WB, IHC, ICC/IF
Dilutions
WB: 1:500-1:2,000, IHC: 1:50-1:100, ICC/IF: 1:50-1:100
Reactivity
Human, Mouse, Rat
Immunogen
Recombinant fusion protein containing a sequence corresponding to amino acids 206-1102 of human USP7/HAUSP (NP_003461.2).
Sequence
DSKKHTGYVGLKNQGATCYMNSLLQTLFFTNQLRKAVYMMPTEGDDSSKSVPLALQRVFYELQHSDKPVGTKKLTKSFGWETLDSFMQHDVQELCRVLLDNVENKMKGTCVEGTIPKLFRGKMVSYIQCKEVDYRSDRREDYYDIQLSIKGKKNIFESFVDYVAVEQLDGDNKYDAGEHGLQEAEKGVKFLTLPPVLHLQLMRFMYDPQTDQNIKINDRFEFPEQLPLDEFLQKTDPKDPANYILHAVLVHSGDNHGGHYVVYLNPKGDGKWCKFDDDVVSRCTKEEAIEHNYGGHDDDLSVRHCTNAYMLVYIRESKLSEVLQAVTDHDIPQQLVERLQEEKRIEAQKRKERQEAHLYMQVQIVAEDQFCGHQGNDMYDEEKVKYTVFKVLKNSSLAEFVQSLSQTMGFPQDQIRLWPMQARSNGTKRPAMLDNEADGNKTMIELSDNENPWTIFLETVDPELAASGATLPKFDKDHDVMLFLKMYDPKTRSLNYCGHIYTPISCKIRDLLPVMCDRAGFIQDTSLILYEEVKPNLTERIQDYDVSLDKALDELMDGDIIVFQKDDPENDNSELPTAKEYFRDLYHRVDVIFCDKTIPNDPGFVVTLSNRMNYFQVAKTVAQRLNTDPMLLQFFKSQGYRDGPGNPLRHNYEGTLRDLLQFFKPRQPKKLYYQQLKMKITDFENRRSFKCIWLNSQFREEEITLYPDKHGCVRDLLEECKKAVELGEKASGKLRLLEIVSYKIIGVHQEDELLECLSPATSRTFRIEEIPLDQVDIDKENEMLVTVAHFHKEVFGTFGIPFLLRIHQGEHFREVMKRIQSLLDIQEKEFEKFKFAIVMMGRHQYINEDEYEVNLKDFEPQPGNMSHPRPWLGLDHFNKAPKRSRYTYLEKAIKIHN
Host
Rabbit
Clonality
Polyclonal
Isotype
IgG
Conjugate

Unconjugated

Purification
Affinity purification.
Molecular Weight
138 kDa
Product Form
Liquid
Formulation
Supplied in Phosphate Buffered Saline, pH 7.3, with 50% Glycerol and 0.02% Sodium Azide.
Storage
Shipped at 4°C. Upon delivery aliquot and store at -20°C. Avoid freeze / thaw cycles.
Synonyms
Deubiquitinating enzyme 7, HAUSP, Herpes virus associated ubiquitin specific protease, Herpesvirus-associated ubiquitin-specific protease, TEF 1, tef-1, TEF1, Ubiquitin carboxyl terminal hydrolase 7, Ubiquitin carboxyl-terminal hydrolase 7, Ubiquitin specific peptidase 7, Ubiquitin specific peptidase 7 (herpes virus associated), Ubiquitin specific peptidase 7 herpes virus associated, Ubiquitin specific processing protease 7, Ubiquitin specific protease 7, Ubiquitin specific protease 7 (herpes virus associated), Ubiquitin specific protease 7 herpes virus associated, Ubiquitin thioesterase 7, Ubiquitin thiolesterase 7, Ubiquitin-specific-processing protease 7, UBP 7, UBP-7, UBP7, UBP7_HUMAN, USP 7, usp-7, Usp7, VMW110-ASSOCIATED PROTEIN, 135-KD
Disclaimer
This product is for research use only. It is not intended for diagnostic or therapeutic use.

Alternative products to Anti-HAUSP / USP7 Antibody (A88194)