ISO 9001:2015 Certified
Live Customer Support
4.5/5 on Trustpilot
100% Quality Guarantee

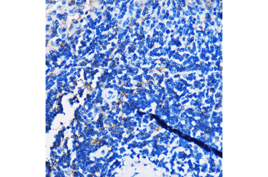
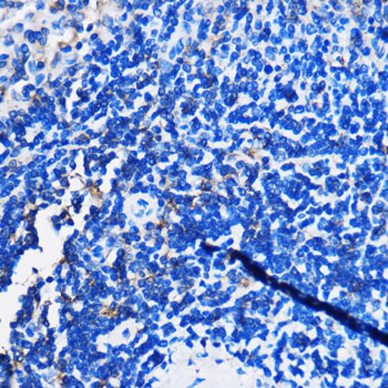
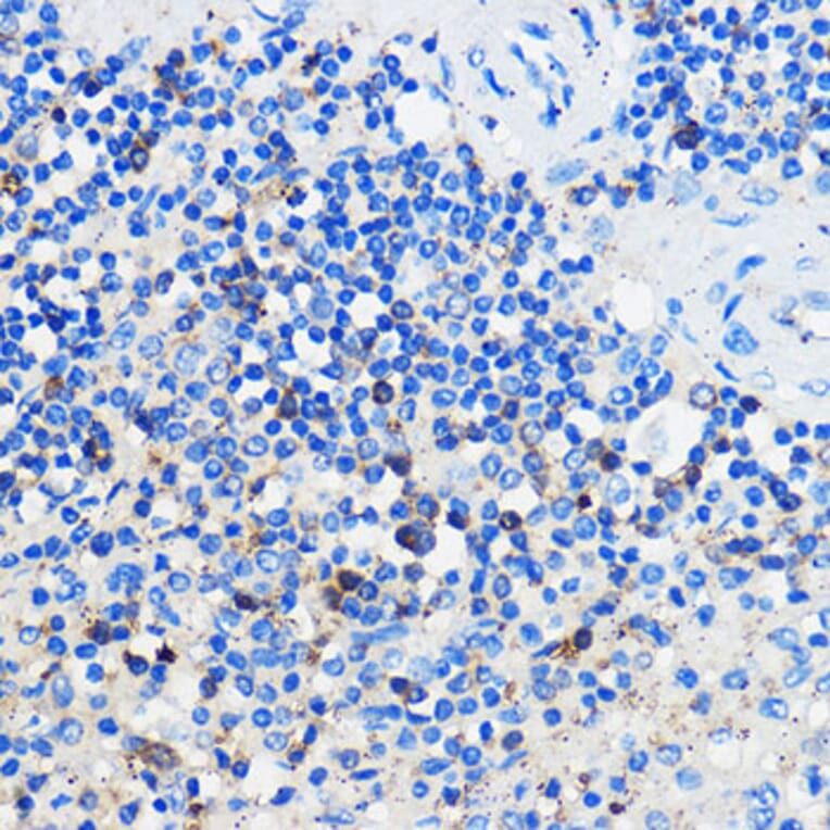
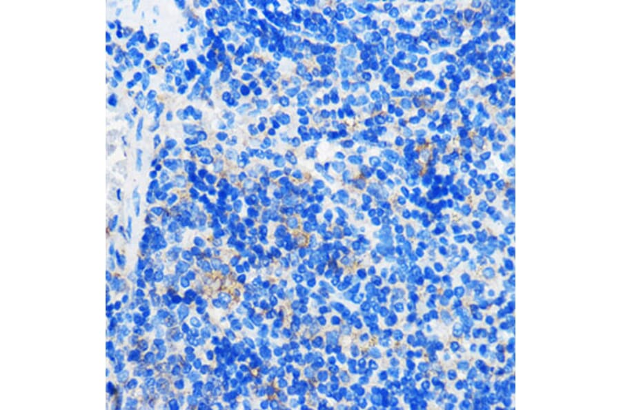
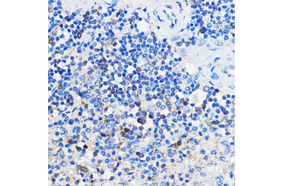
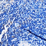
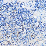
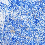
Anti-HCAR3 Antibody (A308649)

Rabbit polyclonal antibody to HCAR3 for WB and IHC.

Shipping Information

$40
Dispatched from St. Louis, MO.
Lead Time: 7-10 business days.
Name
Anti-HCAR3 Antibody
Description
Rabbit polyclonal antibody to HCAR3.
Applications
WB, IHC
Dilutions
WB: 1:500-1:2,000, IHC: 1:50-1:200
Reactivity
Human, Mouse, Rat
Immunogen
A synthetic peptide corresponding to a sequence within amino acids 300-392 of human HCAR3 (NP_006009.2).
Sequence
SFPNFFSTLINRCLQRKITGEPDNNRSTSVELTGDPNKTRGAPEALIANSGEPWSPSYLGPTSNNHSKKGHCHQEPASLEKQLGCCIE
Host
Rabbit
Clonality
Polyclonal
Isotype
IgG
Conjugate

Unconjugated

Purification
Affinity purification.
Concentration
Lot Specific
Molecular Weight
44 kDa
Product Form
Liquid
Formulation
Supplied in Phosphate Buffered Saline, pH 7.3, with 50% Glycerol and 0.01% Thiomersal.
Storage
Shipped at 4°C. Upon delivery aliquot and store at -20°C. Avoid freeze/thaw cycles.
Synonyms
G-protein coupled receptor 109B, G-protein coupled receptor HM74, G-protein coupled receptor HM74B, GPR109B, HCA3, HM74B, Hydroxycarboxylic acid receptor 3, Niacin receptor 2, NIACR2, Nicotinic acid receptor 2
Disclaimer
This product is for research use only. It is not intended for diagnostic or therapeutic use.
Publishing research using Anti-HCAR3 Antibody (A308649)? Please let us know so that we can list the citation on this page.

Proteins predicted to interact with GPCR HM74

Predicted protein interactions based upon String database. Revelancy score correlates with probability of interaction.
99.9% Relevancy Score
68.8% Relevancy Score
68.4% Relevancy Score
68.4% Relevancy Score
68.4% Relevancy Score
68.3% Relevancy Score
67.3% Relevancy Score