ISO 9001:2015 Certified
Live Customer Support
4.5/5 on Trustpilot
100% Quality Guarantee

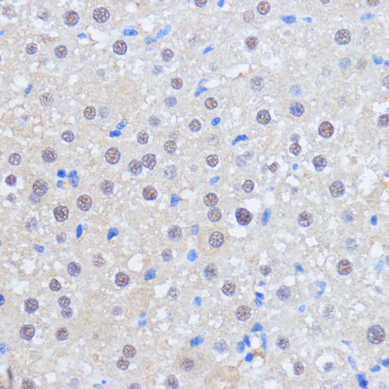
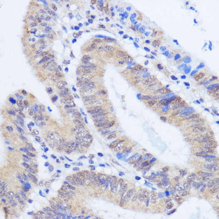
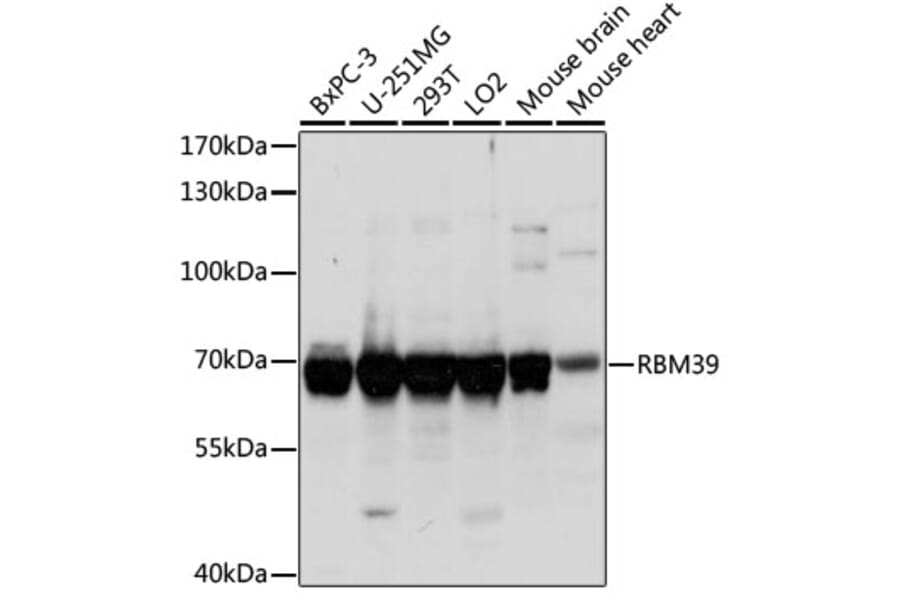
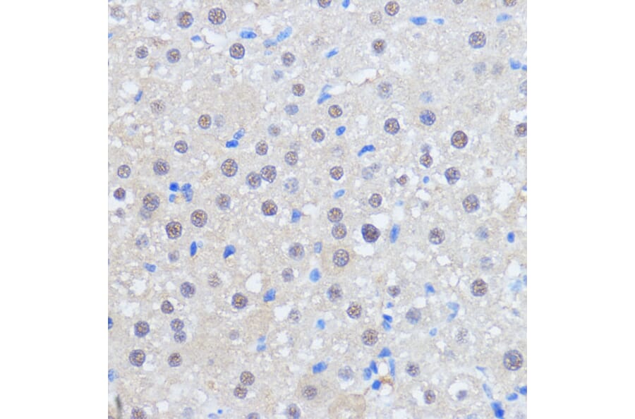
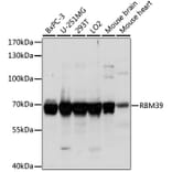
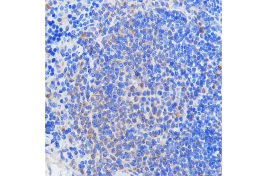
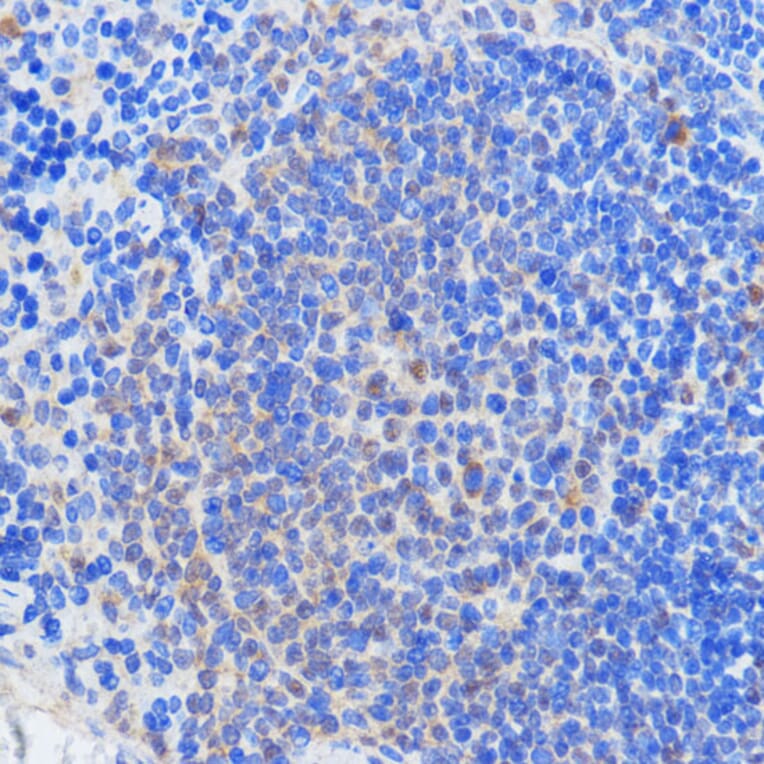
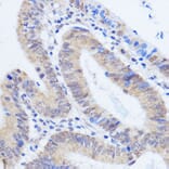
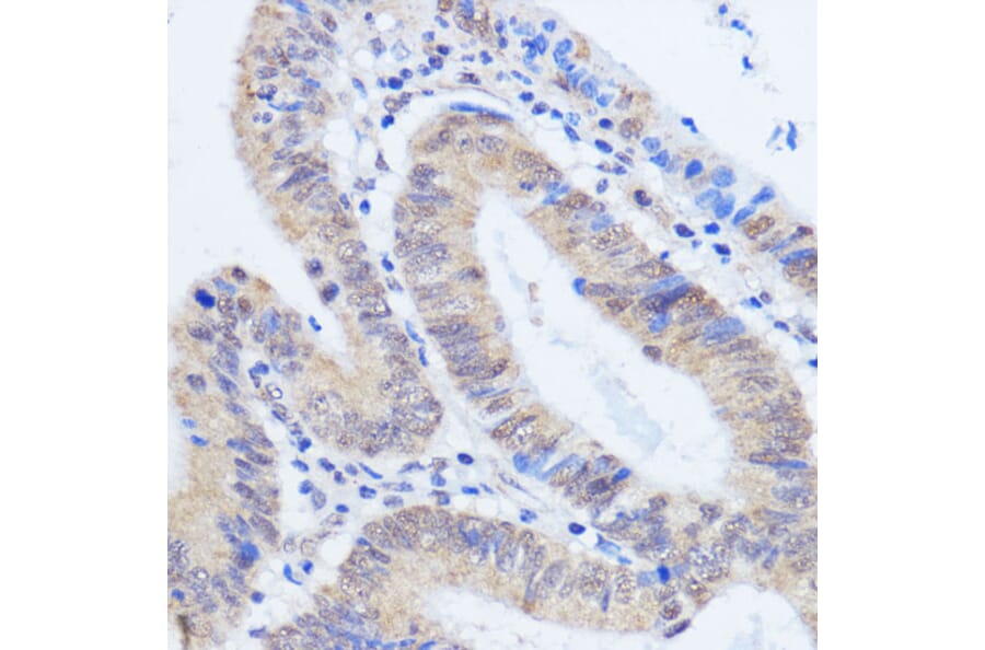
Anti-HCC1 Antibody (A90941)

Rabbit polyclonal antibody to HCC1 for WB, IHC and ICC/IF.

Shipping Information

$40
Dispatched from St. Louis, MO.
Lead Time: 7-10 business days.
Name
Anti-HCC1 Antibody
Description
Rabbit polyclonal antibody to HCC1.
Applications
WB, IHC, ICC/IF
Dilutions
WB: 1:500-1:2,000, IHC: 1:50-1:200, ICC/IF: 1:50-1:200
Reactivity
Human, Mouse, Rat
Immunogen
A synthetic peptide corresponding to a sequence within amino acids 400 to the C-terminus of human RBM39 (NP_001229528.1).
Sequence
ATQCFQLSNMFNPQTEEEVGWDTEIKDDVIEECNKHGGVIHIYVDKNSAQGNVYVKCPSIAAAIAAVNALHGRWFAGKMITAAYVPLPTYHNLFPDSMTATQLLVPSRR
Host
Rabbit
Clonality
Polyclonal
Isotype
IgG
Conjugate

Unconjugated

Purification
Affinity purification.
Concentration
Lot Specific
Molecular Weight
70 kDa
Product Form
Liquid
Formulation
Supplied in Phosphate Buffered Saline, pH 7.3, with 50% Glycerol and 0.01% Thiomersal.
Storage
Shipped at 4°C. Upon delivery aliquot and store at -20°C. Avoid freeze/thaw cycles.
Synonyms
CAPER alpha, CAPERalpha, Hepatocellular carcinoma protein 1, RBM39, RNA-binding motif protein 39, RNA-binding protein 39, RNA-binding region-containing protein 2, RNPC2, Splicing factor HCC1
Disclaimer
This product is for research use only. It is not intended for diagnostic or therapeutic use.
Publishing research using Anti-HCC1 Antibody (A90941)? Please let us know so that we can list the citation on this page.

Proteins predicted to interact with HCC1

Predicted protein interactions based upon String database. Revelancy score correlates with probability of interaction.
99.9% Relevancy Score
99.3% Relevancy Score
98.5% Relevancy Score
98.2% Relevancy Score
97.7% Relevancy Score
97.1% Relevancy Score
96.2% Relevancy Score
96.2% Relevancy Score
95.6% Relevancy Score