ISO 9001:2015 Certified
Live Customer Support
4.5/5 on Trustpilot
100% Quality Guarantee

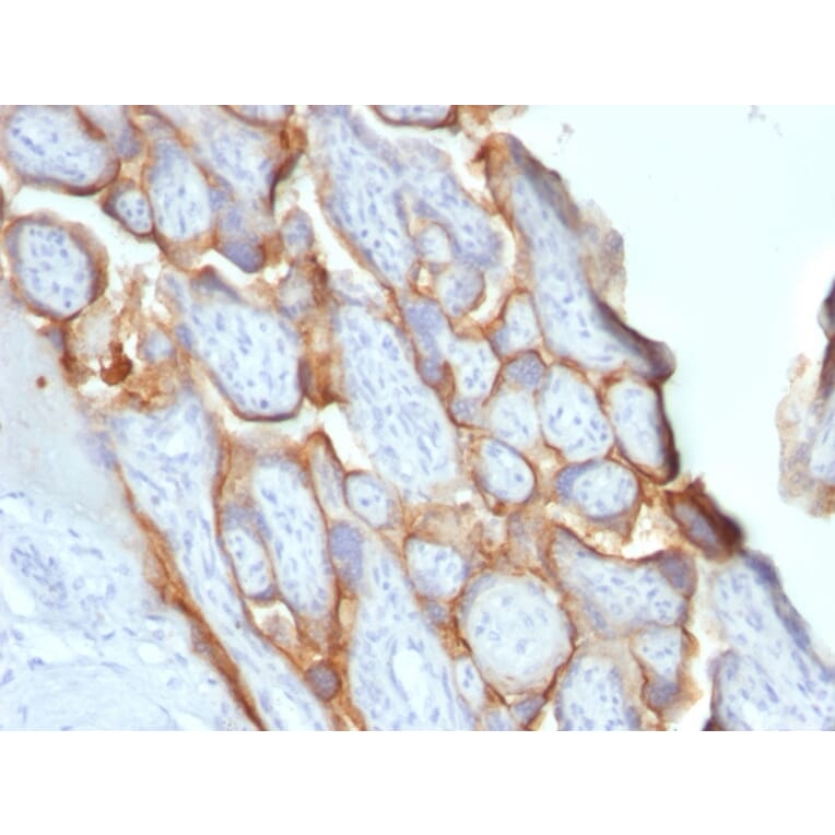
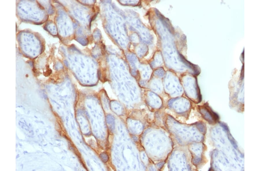
Anti-HCG beta Antibody [SPM529] - BSA and Azide free (A251353)

Mouse monoclonal [SPM529] antibody to HCG beta for IHC-P.

Alternative Formats and ConjugatesAlternative Formats

Shipping Information

$40
Dispatched from St. Louis, MO.
Lead Time: 5-8 business days.
Name
Anti-HCG beta Antibody [SPM529] - BSA and Azide free
Description
Mouse monoclonal [SPM529] antibody to HCG beta.
Specificity
This antibody reacts with a protein of 22kDa, identified as beta sub-unit of HCG. It does not cross react with the alpha sub-unit. HCG is a glycoprotein, which is secreted in large quantities by normal trophoblasts. It is present only in trace amounts in non-pregnant urine and sera but rises sharply during pregnancy. HCG is composed of two non-identical, non-covalently linked polypeptide chains designated as the subunit is identical to that of thyroid stimulating hormone (TSH) follicle stimulating hormone (FSH), and luteinizing hormone (LH). hCG MAb detects cells and tumors of trophoblastic origin such as choriocarcinoma. Large cell carcinoma and adenocarcinoma of the lung demonstrate anti-hCG positivity in 90% and 60% of cases respectively. 20% of lung squamous cell carcinomas are positive. hCG expression by non-trophoblastic tumors may indicate aggressive behavior.
Applications
IHC-P
Dilutions
IHC-P: 1-2 µg/ml
Reactivity
Human
Immunogen
Recombinant hCG beta protein.
Host
Mouse
Clonality
Monoclonal
Clone ID
SPM529
Isotype
IgG1
Light Chains
kappa
Conjugate

Unconjugated

Purification
Protein A/G chromatography.
Concentration
1 mg/ml
Molecular Weight
22 kDa
Product Form
Liquid
Formulation
Supplied in 10mM Phosphate Buffered Saline; without Sodium Azide and carrier free.
Storage
Shipped at 4°C. Upon delivery aliquot and store at -20°C. Avoid freeze / thaw cycles.
General Notes
This monoclonal antibody is also available in a different formulation with BSA and Sodium Azide - Anti-HCG beta Antibody [SPM529] (A248170).
Synonyms
CG-beta, CGB, CGB2, CGB3, Choriogonadotropin subunit beta, Choriogonadotropin subunit beta 3, Choriogonadotropin subunit beta variant 2, Chorionic gonadotropin chain beta
Disclaimer
This product is for research use only. It is not intended for diagnostic or therapeutic use.
Publishing research using Anti-HCG beta Antibody [SPM529] - BSA and Azide free (A251353)? Please let us know so that we can list the citation on this page.

Alternative products to Anti-HCG beta Antibody [SPM529] - BSA and Azide free (A251353)