ISO 9001:2015 Certified
Live Customer Support
4.5/5 on Trustpilot
100% Quality Guarantee

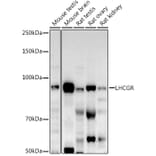
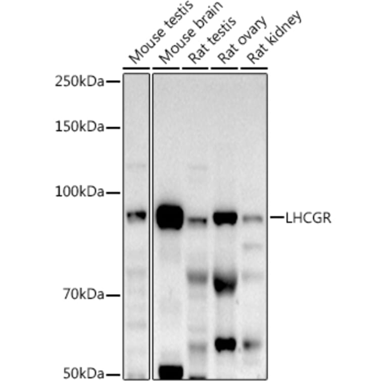
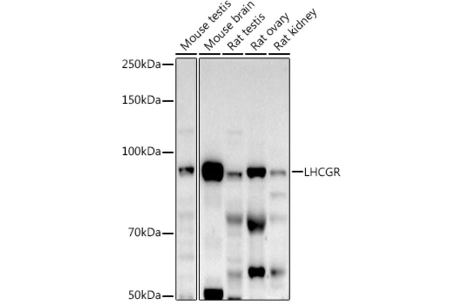
Anti-hCG receptor/LHR Antibody (A15138)

Rabbit polyclonal antibody to hCG receptor/LHR for WB and ICC/IF.

Shipping Information

$40
Dispatched from St. Louis, MO.
Lead Time: 7-10 business days.
Name
Anti-hCG receptor/LHR Antibody
Description
Rabbit polyclonal antibody to hCG receptor/LHR.
Applications
WB, ICC/IF
Dilutions
WB: 1:100-1:500, ICC/IF: 1:100-1:500
Reactivity
Human, Mouse, Rat
Immunogen
Recombinant fusion protein containing a sequence corresponding to amino acids 200-360 of human LHCGR (NP_000224.2).
Sequence
TSLELKENVHLEKMHNGAFRGATGPKTLDISSTKLQALPSYGLESIQRLIATSSYSLKKLPSRETFVNLLEATLTYPSHCCAFRNLPTKEQNFSHSISENFSKQCESTVRKVNNKTLYSSMLAESELSGWDYEYGFCLPKTPRCAPEPDAFNPCEDIMGYD
Host
Rabbit
Clonality
Polyclonal
Isotype
IgG
Conjugate

Unconjugated

Purification
Affinity purification.
Concentration
Lot Specific
Molecular Weight
85 kDa
Product Form
Liquid
Formulation
Supplied in Phosphate Buffered Saline, pH 7.3, with 50% Glycerol and 0.05% Proclin 300.
Storage
Shipped at 4°C. Upon delivery aliquot and store at -20°C. Avoid freeze/thaw cycles.
Disclaimer
This product is for research use only. It is not intended for diagnostic or therapeutic use.
Publishing research using Anti-hCG receptor/LHR Antibody (A15138)? Please let us know so that we can list the citation on this page.