Western blot analysis of mouse brain showing detection of ~95 kDa HCN2 protein using Anti-HCN2 Antibody [S71] (A304767) at 1:1,000 for 2 hours at room temperature with shaking. Lane 1: MW Ladder. Lane 2: mouse brain (15 ug). Load: 15 ug. Block: 5% Skim Milk powder in TBST. The secondary antibody used was Goat anti-mouse IgG:HRP at 1:4,000 for 1 hour at room temperature with shaking. Color Development: Chemiluminescent for HRP (Moss) for 5 minutes in room temperature. Predicted/Observed Size: ~95 kDa.
Immunohistochemistry analysis of human hippocampus, fixed in Bouin's fixative solution and paraffin-embedded. The Primary Antibody used was Anti-HCN2 Antibody [S71] (A304767) at 1:100 for 1 hour at room temperature. The secondary antibody used was FITC Goat Anti-Mouse (green) at 1:50 for 1 hour at room temperature.
Western blot analysis of rat brain membrane lysate showing detection of HCN2 protein using Anti-HCN2 Antibody [S71] (A304767) at 1:1,000 for 2 hours at room temperature. Load: 15 µg. Block: 1.5% BSA for 30 minutes at room temperature. The secondary antibody used was Sheep Anti-Mouse IgG: HRP for 1 hour at room temperature.
Immunocytochemistry/Immunofluorescence analysis of human differentiated SH-SY5Y, using Anti-HCN2 Antibody [S71] (A304767), at 1:100. The secondary antibody used was AlexaFluor 488. Counterstain: phalloidin (Alexa 647, red), beta tubulin (Anti-beta III Tubulin Ab, Alexa 555, magenta) Hoechst (blue).(A) Phalloidin (B) Anti-beta III Tubulin Ab. (C) HCN2 Antibody. (D) Hoechst (E) Composite.
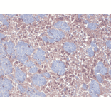
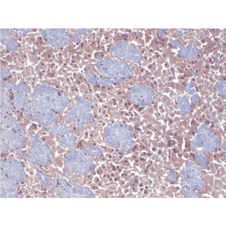
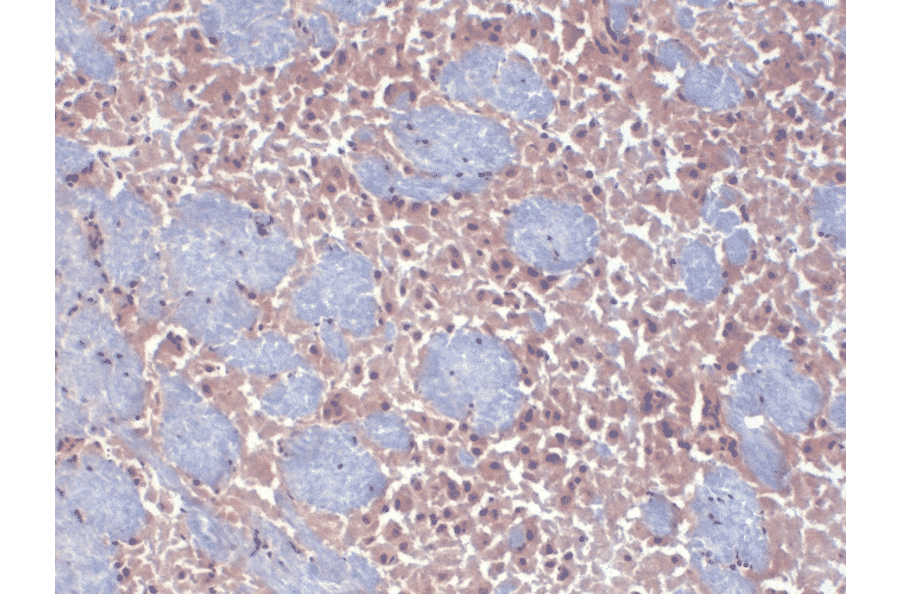
Immunohistochemistry analysis of mouse frozen brain section, fixed in 10% formalin solution for 12-24 hours at room temperature. The Primary Antibody used was Anti-HCN2 Antibody [S71] (A304767) at 1:1,000 for 1 hour at room temperature. The secondary antibody used was HRP/DAB Detection System: Biotinylated Goat Anti-Mouse, Streptavidin Peroxidase, DAB Chromogen (brown) for 30 minutes at room temperature. Counterstain: Mayer Hematoxylin (purple/blue) nuclear stain at 250-500 µl for 5 minutes at room temperature.
Immunocytochemistry/Immunofluorescence analysis of human neuroblastoma cells (SH-SY5Y), fixed in 4% PFA for 15 min, using Anti-HCN2 Antibody [S71] (A304767), at 1:50 for overnight at 4°C with slow rocking. The secondary antibody used was AlexaFluor 488 at 1:1,000 for 1 hour at room temperature. Counterstain: Phalloidin-iFluor 647 (red) F-Actin stain; Hoechst (blue) nuclear stain at 1:800, 1.6mM for 20 minutes at room temperature.(A) Hoechst (blue) nuclear stain. (B) Phalloidin-iFluor 647 (red) F-Actin stain. (C) HCN2 Antibody (D) Composite.