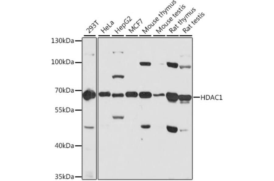
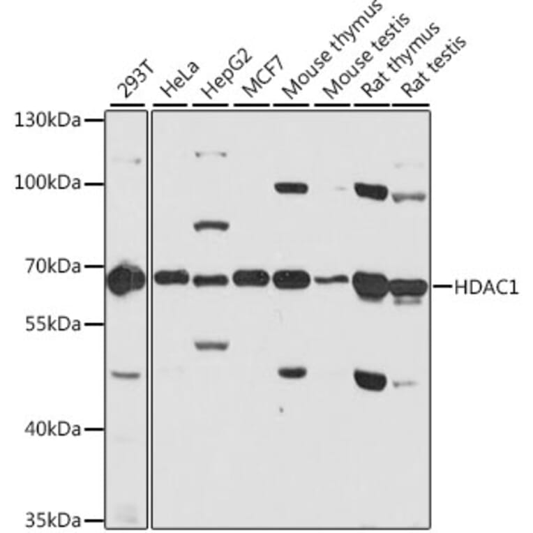
Western blot analysis of extracts of various cell lines, using Anti-HDAC1 Antibody (A12564) at 1:1,000 dilution. The secondary antibody was Goat Anti-Rabbit IgG H&L Antibody (HRP) at 1:10,000 dilution. Lysates/proteins were present at 25µg per lane. The blocking buffer used was 3% non-fat dry milk in TBST. Detection was with a ECL Basic Kit. Exposure time: 60s.
Western blot analysis of extracts from normal (control) and HDAC1 knockout (KO) 293T cells, using Anti-HDAC1 Antibody (A12564) at 1:1,000 dilution. The secondary antibody was Goat Anti-Rabbit IgG H&L Antibody (HRP) at 1:10,000 dilution. Lysates/proteins were present at 25µg per lane. The blocking buffer used was 3% non-fat dry milk in TBST. Detection was with a ECL Basic Kit. Exposure time: 1s.
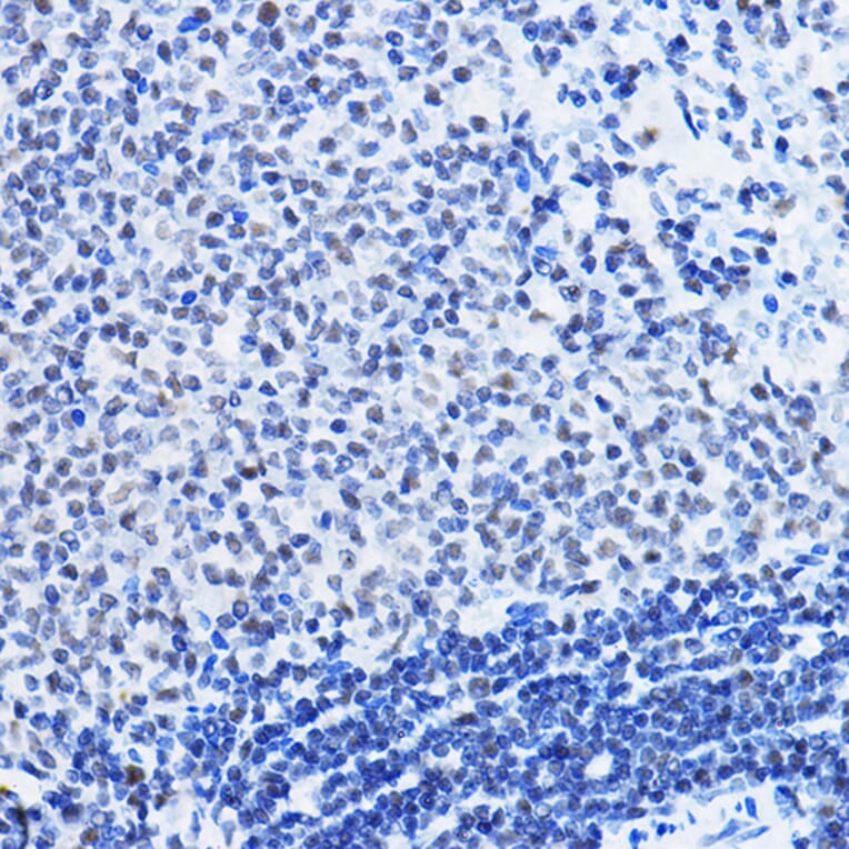
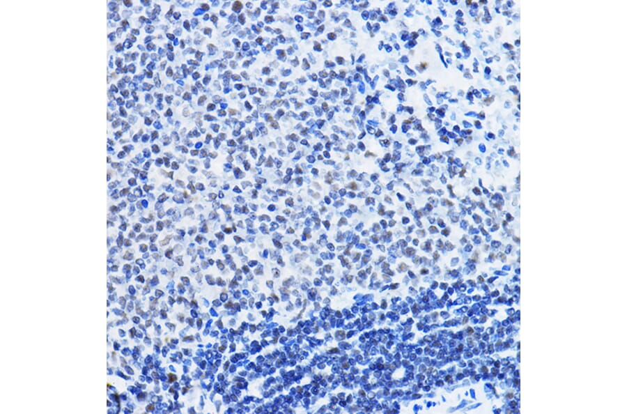
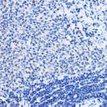
Immunohistochemistry analysis of paraffin-embedded rat spleen using Anti-HDAC1 Antibody (A12564) at a dilution of 1:50 (40x lens). Perform high pressure antigen retrieval with 10 mM citrate buffer pH 6.0 before commencing with IHC staining protocol.
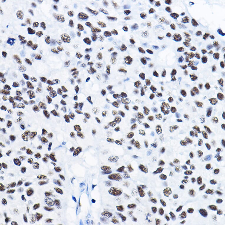
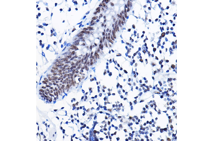
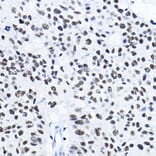
Immunohistochemistry analysis of paraffin-embedded human lung cancer using Anti-HDAC1 Antibody (A12564) at a dilution of 1:50 (40x lens). Perform high pressure antigen retrieval with 10 mM citrate buffer pH 6.0 before commencing with IHC staining protocol.
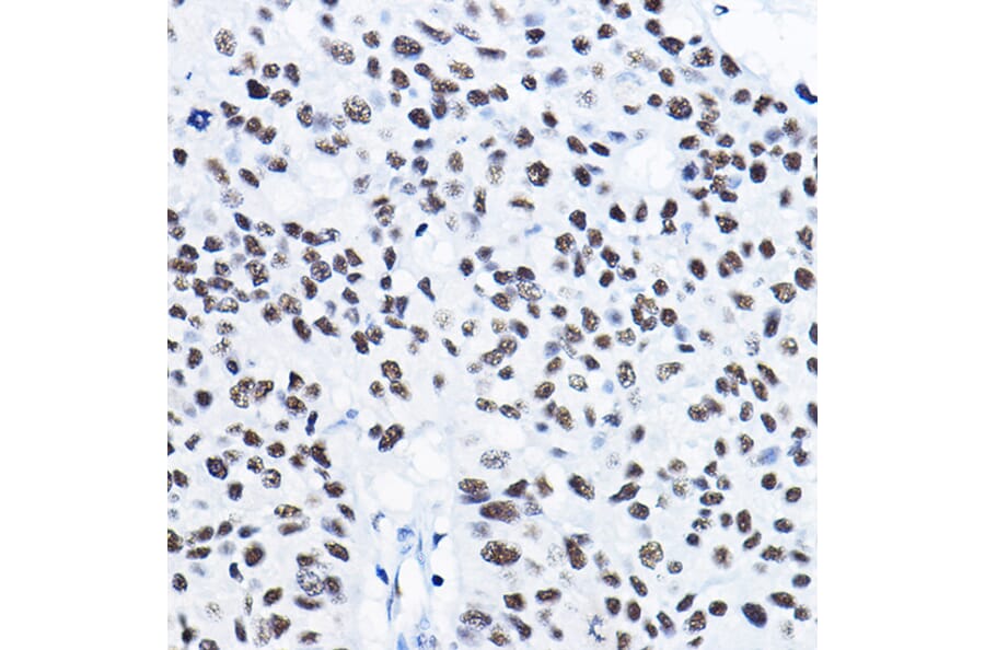
Immunohistochemistry analysis of paraffin-embedded human colon tissue using Anti-HDAC1 Antibody (A12564) at a dilution of 1:50 (40x lens). Perform high pressure antigen retrieval with 10 mM citrate buffer pH 6.0 before commencing with IHC staining protocol.
Confocal immunofluorescence analysis of L929 cells using Anti-HDAC1 Antibody (A12564) at a dilution of 1:200. DAPI was used to stain the cell nuclei (blue).
Immunoprecipitation analysis of 200µg extracts of HT-29 cells using 3µg of Anti-HDAC1 Antibody (A12564). This Western blot was performed on the immunoprecipitate using Anti-HDAC1 Antibody (A12564) at a dilution of 1:1000.