Western Blot - Anti-HDAC4 (phospho Ser246) + HDAC5 (phospho Ser259) + HDAC9 (phospho Ser220) Antibody (A10908)
Western blot analysis of extracts from 293 cells untreated or treated with EGF using Anti-HDAC4 (phospho Ser246) + HDAC5 (phospho Ser259) + HDAC9 (phospho Ser220) Antibody (A10908). The secondary antibody was Goat Anti-Rabbit IgG H&L Antibody (HRP) at 1:10,000 dilution. Lysates/proteins were present at 25µg per lane. The blocking buffer used was 3% BSA.
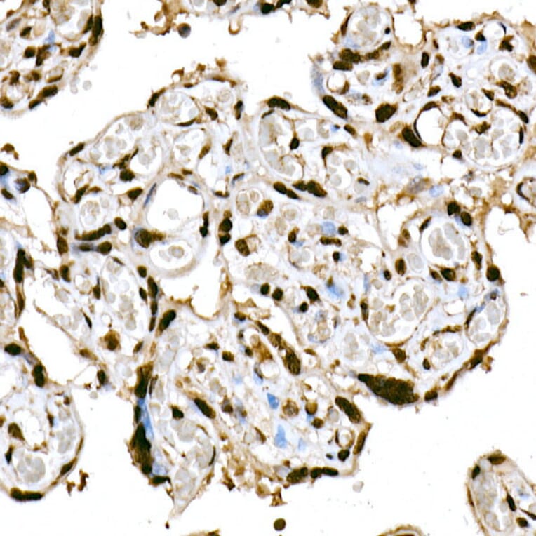
Immunohistochemistry analysis of paraffin-embedded human placenta using Anti-HDAC4 (phospho Ser246) + HDAC5 (phospho Ser259) + HDAC9 (phospho Ser220) Antibody (A10908) at a dilution of 1:50 (40x lens). Perform high pressure antigen retrieval with 10 mM citrate buffer pH 6.0 before commencing with IHC staining protocol.
Immunohistochemistry analysis of paraffin-embedded mouse spleen using Anti-HDAC4 (phospho Ser246) + HDAC5 (phospho Ser259) + HDAC9 (phospho Ser220) Antibody (A10908) at a dilution of 1:50 (40x lens). Perform high pressure antigen retrieval with 10 mM citrate buffer pH 6.0 before commencing with IHC staining protocol.
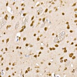
Immunohistochemistry analysis of paraffin-embedded rat brain using Anti-HDAC4 (phospho Ser246) + HDAC5 (phospho Ser259) + HDAC9 (phospho Ser220) Antibody (A10908) at a dilution of 1:50 (40x lens). Perform high pressure antigen retrieval with 10 mM citrate buffer pH 6.0 before commencing with IHC staining protocol.
Publishing research using Anti-HDAC4 (phospho Ser246) + HDAC5 (phospho Ser259) + HDAC9 (phospho Ser220) Antibody (A10908)? Please let us know so that we can list the citation on this page.