Primary Antibodies
Secondary Antibodies
Proteins & Peptides
ELISA Kits
About Us
Contact Us
Sign In/Register
0
ISO 9001:2015 Certified
Live Customer Support
4.5/5 on Trustpilot
100% Quality Guarantee
Home
Primary Antibodies
HDAC5 Antibodies
Anti-HDAC5 Antibody (A46532)
Anti-HDAC5 Antibody (A46532)
Overview
Specifications
Images
Enlarge Image
Enlarge Image
$430
Product Datasheet
Rabbit polyclonal antibody to HDAC5 for IHC.
100% Guarantee
Price Match Guarantee
Product Size:
100µl
Quantity:
1
2
3
4
5
6
7
8
9
10
Add To Cart
Request a Quotation
Custom or Bulk Request
Shipping Information
Freight/Packing Charges:
$40
Dispatched from St. Louis, MO.
Lead Time: 6-9 business days.
Specifications
Name
Anti-HDAC5 Antibody
Description
Rabbit polyclonal antibody to HDAC5
Specificity
The antibody detects endogenous levels of total HDAC5 protein.
Applications
IHC
Dilutions
Immunohistochemistry: 1:20-1:100
Reactivity
Human, Mouse
Immunogen
Synthetic peptide of human HDAC5
Host
Rabbit
Clonality
Polyclonal
Conjugate
Unconjugated
Purification
Antigen affinity purification.
Concentration
1.3 mg/mL
Formulation
Rabbit IgG in pH7.4 PBS, 0.05% NaN3, 40% Glycerol.
Storage
Shipped at 4°C. Upon delivery aliquot and store at -20°C. Avoid freeze/thaw cycles.
Synonyms
Antigen NY-CO-9, HD5, Histone deacetylase 5, KIAA0600
Suitable Secondaries
Goat Anti-Rabbit IgG H&L Antibody (AP) (A294874)
Goat Anti-Rabbit IgG H&L Antibody (Biotin) (A294795)
Goat Anti-Rabbit IgG H&L Antibody (FITC) (A294887)
Goat Anti-Rabbit IgG H&L Antibody (HRP) (A294888)
See all Anti-Rabbit IgG Secondaries →
Disclaimer
This product is for research use only. It is not intended for diagnostic or therapeutic use.
Scientific Validation Data
Validation Data
(2)
Enlarge Image
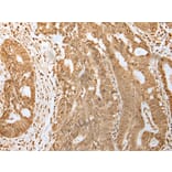
Immunohistochemistry - Anti-HDAC5 Antibody (A46532)
Immunohistochemical analysis of paraffin-embedded Human gastric cancer tissue using #43465 at dilution 1/20.
Enlarge Image
Immunohistochemistry - Anti-HDAC5 Antibody (A46532)
Immunohistochemical analysis of paraffin-embedded Human tonsil tissue using #43465 at dilution 1/20.
Publishing research using Anti-HDAC5 Antibody (A46532)? Please
let us know
so that we can list the citation on this page.
Alternative products to Anti-HDAC5 Antibody (A46532)
(4)
A93844
Anti-HDAC5 (phospho Ser498) Antibody
Rabbit polyclonal antibody to HDAC5 (phospho Ser498) for WB, IHC, IF and ELISA.
(3)
A94815
Anti-HDAC5 (phospho Ser259) Antibody
Rabbit polyclonal antibody to HDAC5 (phospho Ser259) for WB, IHC, IF and ELISA.
(6)
A95225
Anti-HDAC5 Antibody
Rabbit polyclonal antibody to HDAC5 for WB, IHC, IF and ELISA.
(5)
A80436
Anti-HDAC5 Antibody
Rabbit polyclonal antibody to HDAC5 for WB, IHC and ICC/IF.
(4)
A35009
Anti-HDAC5 Antibody
Rabbit polyclonal antibody to HDAC5 for WB, IHC and ICC/IF.
(4)
A97492
Anti-HDAC5 Antibody
Rabbit polyclonal antibody to HDAC5 for WB, IHC, IF and ELISA.
(2)
A25192
Anti-HDAC5 (E1106) Antibody
Rabbit polyclonal antibody to HDAC5 (E1106) for WB, IHC and IF.
(2)
A25193
Anti-HDAC5 (P492) Antibody
Rabbit polyclonal antibody to HDAC5 (P492) for WB, IHC and IF.
(2)
A27366
Anti-HDAC5 (phospho-S498) Antibody
Rabbit polyclonal antibody to HDAC5 (phospho-S498) for WB, IHC and IF.
(2)
A16511
Anti-HDAC5 (phospho Ser498) Antibody
Rabbit polyclonal antibody to HDAC5 (phospho Ser498) for WB and IHC.
(2)
A50426
Anti-HDAC5 (Phospho-Ser498) Antibody
Rabbit polyclonal antibody to HDAC5 (Phospho-Ser498) for WB and IHC.
(2)
A50237
Anti-HDAC5 / 9 (Phospho-Ser259 / 220) Antibody
Rabbit polyclonal antibody to HDAC5 / 9 (Phospho-Ser259 / 220) for ELISA, WB and IHC.
(4)
A93844
Anti-HDAC5 (phospho Ser498) Antibody
Rabbit polyclonal antibody to HDAC5 (phospho Ser498) for WB, IHC, IF and ELISA.
(3)
A94815
Anti-HDAC5 (phospho Ser259) Antibody
Rabbit polyclonal antibody to HDAC5 (phospho Ser259) for WB, IHC, IF and ELISA.
(6)
A95225
Anti-HDAC5 Antibody
Rabbit polyclonal antibody to HDAC5 for WB, IHC, IF and ELISA.
(5)
A80436
Anti-HDAC5 Antibody
Rabbit polyclonal antibody to HDAC5 for WB, IHC and ICC/IF.
(4)
A35009
Anti-HDAC5 Antibody
Rabbit polyclonal antibody to HDAC5 for WB, IHC and ICC/IF.
(4)
A97492
Anti-HDAC5 Antibody
Rabbit polyclonal antibody to HDAC5 for WB, IHC, IF and ELISA.
(2)
A25192
Anti-HDAC5 (E1106) Antibody
Rabbit polyclonal antibody to HDAC5 (E1106) for WB, IHC and IF.
(2)
A25193
Anti-HDAC5 (P492) Antibody
Rabbit polyclonal antibody to HDAC5 (P492) for WB, IHC and IF.
(2)
A27366
Anti-HDAC5 (phospho-S498) Antibody
Rabbit polyclonal antibody to HDAC5 (phospho-S498) for WB, IHC and IF.
(2)
A16511
Anti-HDAC5 (phospho Ser498) Antibody
Rabbit polyclonal antibody to HDAC5 (phospho Ser498) for WB and IHC.
(2)
A50426
Anti-HDAC5 (Phospho-Ser498) Antibody
Rabbit polyclonal antibody to HDAC5 (Phospho-Ser498) for WB and IHC.
(2)
A50237
Anti-HDAC5 / 9 (Phospho-Ser259 / 220) Antibody
Rabbit polyclonal antibody to HDAC5 / 9 (Phospho-Ser259 / 220) for ELISA, WB and IHC.
See all HDAC5 Antibodies
Proteins predicted to interact with HDAC5
Predicted protein interactions based upon String database. Revelancy score correlates with probability of interaction.
NCOR1 Antibodies
97.9% Relevancy Score
HDAC4 Antibodies
97.3% Relevancy Score
NR2E1 Antibodies
96.4% Relevancy Score
NCOR2 Antibodies
94.4% Relevancy Score
CAMKIV Antibodies
94.1% Relevancy Score
HDAC3 Antibodies
94% Relevancy Score
MEF2D Antibodies
93.6% Relevancy Score
MEF2A Antibodies
92.8% Relevancy Score
MEF2C Antibodies
92.4% Relevancy Score
Top