ISO 9001:2015 Certified
Live Customer Support
4.5/5 on Trustpilot
100% Quality Guarantee

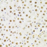
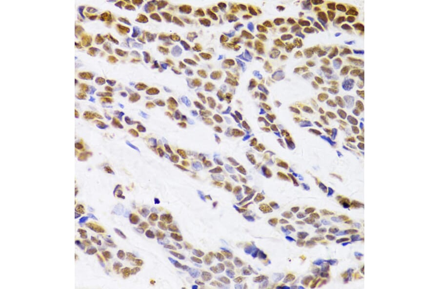
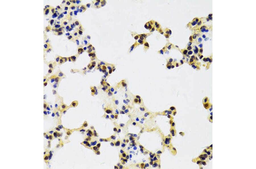
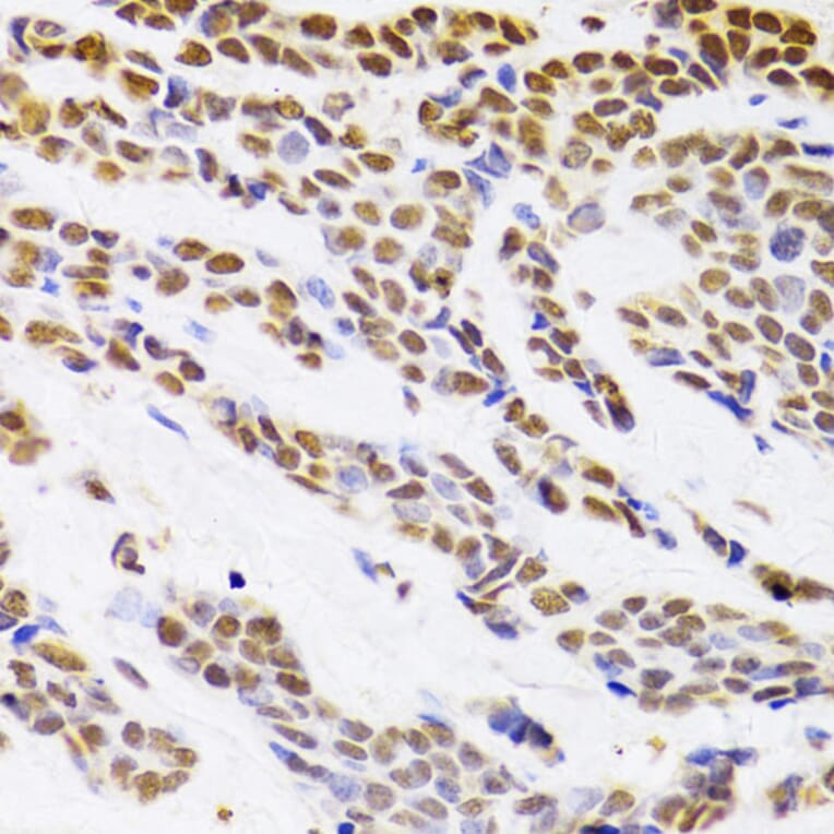
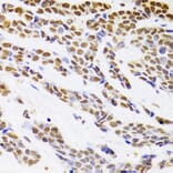
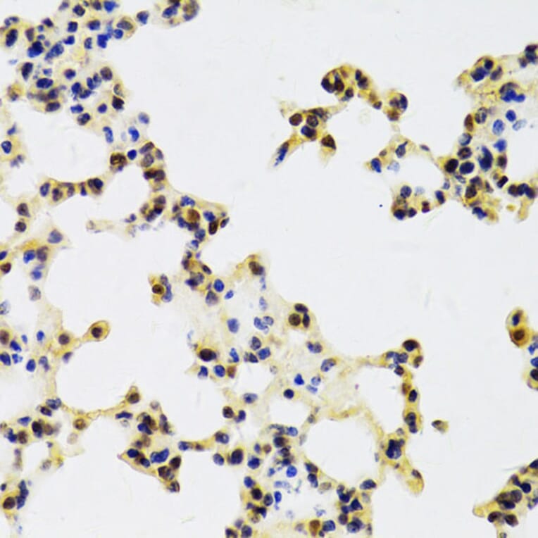
Anti-HDGF Antibody (A14689)

Rabbit polyclonal antibody to HDGF for WB, IHC and ICC/IF.

Shipping Information

$40
Dispatched from St. Louis, MO.
Lead Time: 7-10 business days.
Name
Anti-HDGF Antibody
Description
Rabbit polyclonal antibody to HDGF.
Applications
WB, IHC, ICC/IF
Dilutions
WB: 1:500-1:2,000, IHC: 1:50-1:200, ICC/IF: 1:50-1:200
Reactivity
Human, Mouse, Rat
Immunogen
Recombinant fusion protein containing a sequence corresponding to amino acids 1-240 of human HDGF (NP_004485.1).
Sequence
MSRSNRQKEYKCGDLVFAKMKGYPHWPARIDEMPEAAVKSTANKYQVFFFGTHETAFLGPKDLFPYEESKEKFGKPNKRKGFSEGLWEIENNPTVKASGYQSSQKKSCVEEPEPEPEAAEGDGDKKGNAEGSSDEEGKLVIDEPAKEKNEKGALKRRAGDLLEDSPKRPKEAENPEGEEKEAATLEVERPLPMEVEKNSTPSEPGSGRGPPQEEEEEEDEEEEATKEDAEAPGIRDHESL
Host
Rabbit
Clonality
Polyclonal
Isotype
IgG
Conjugate

Unconjugated

Purification
Affinity purification.
Concentration
Lot Specific
Molecular Weight
38 kDa
Product Form
Liquid
Formulation
Supplied in Phosphate Buffered Saline, pH 7.3, with 50% Glycerol and 0.02% Sodium Azide.
Storage
Shipped at 4°C. Upon delivery aliquot and store at -20°C. Avoid freeze/thaw cycles.
Synonyms
Hepatoma-derived growth factor, High mobility group protein 1-like 2, HMG-1L2, HMG1L2
Disclaimer
This product is for research use only. It is not intended for diagnostic or therapeutic use.
Publishing research using Anti-HDGF Antibody (A14689)? Please let us know so that we can list the citation on this page.

Alternative products to Anti-HDGF Antibody (A14689)

Proteins predicted to interact with HDGF

Predicted protein interactions based upon String database. Revelancy score correlates with probability of interaction.
93.4% Relevancy Score
81.6% Relevancy Score
79.3% Relevancy Score
78.4% Relevancy Score
77.1% Relevancy Score
76.7% Relevancy Score
76.5% Relevancy Score
76.2% Relevancy Score
74.7% Relevancy Score