ISO 9001:2015 Certified
Live Customer Support
4.5/5 on Trustpilot
100% Quality Guarantee

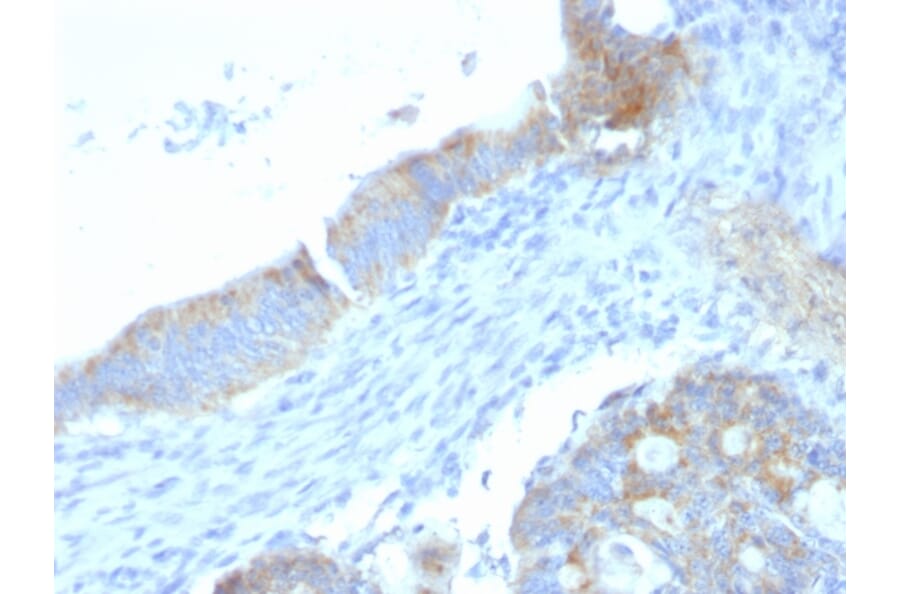
Anti-Heparan Sulfate Proteoglycan Antibody [SPM255] - BSA and Azide free (A252075)

Rat monoclonal [SPM255] antibody to Heparan Sulfate Proteoglycan for Flow Cytometry, IF and IHC-P.

Alternative Formats and ConjugatesAlternative Formats

Shipping Information

$40
Dispatched from St. Louis, MO.
Lead Time: 5-8 business days.
Name
Anti-Heparan Sulfate Proteoglycan Antibody [SPM255] - BSA and Azide free
Description
Rat monoclonal [SPM255] antibody to Heparan Sulfate Proteoglycan.
Specificity
This antibody specifically precipitates heterogeneous material of high MW, identified as perlecan, a major heparan-sulfate proteoglycan (HSPG) within all basement membranes and cell surfaces. It does not cross-react with laminin, fibronectin, or dermatran sulfate proteoglycan. Because of perlecans strategic location and ability to store and protect growth factors, it has been strongly implicated in the control of tumor cell growth and metastatic behavior. Perlecan possesses angiogenic and growth-promoting attributes primarily by acting as a co-receptor for basic fibroblast growth factor (FGF-2). Suppression of perlecan causes substantial inhibition of neoplastic growth and neovascularization. Thus, perlecan is a potent inducer of neoplasm growth and angiogenesis in vivo and therapeutic interventions targeting this key modulator of tumor progression may improve neoplastic treatment.
Applications
Flow Cytometry, IF, IHC-P
Dilutions
Flow Cytometry: 1-2 µg/million cells, IF: 1-2 µg/ml, IHC-P: 1-2 µg/ml
Reactivity
Human, Monkey, Bovine, Porcine, Mouse, Fish
Immunogen
Murine EHS laminin preparation.
Host
Rat
Clonality
Monoclonal
Clone ID
SPM255
Isotype
IgG2a
Light Chains
kappa
Conjugate

Unconjugated

Purification
Protein A/G chromatography.
Concentration
1 mg/ml
Molecular Weight
>400 kDa
Product Form
Liquid
Formulation
Supplied in 10mM Phosphate Buffered Saline; without Sodium Azide and carrier free.
Storage
Shipped at 4°C. Upon delivery aliquot and store at -20°C. Avoid freeze / thaw cycles.
General Notes
This monoclonal antibody is also available in a different formulation with BSA and Sodium Azide - Anti-Heparan Sulfate Proteoglycan Antibody [SPM255] (A248895).
Disclaimer
This product is for research use only. It is not intended for diagnostic or therapeutic use.
Publishing research using Anti-Heparan Sulfate Proteoglycan Antibody [SPM255] - BSA and Azide free (A252075)? Please let us know so that we can list the citation on this page.