ISO 9001:2015 Certified
Live Customer Support
4.5/5 on Trustpilot
100% Quality Guarantee

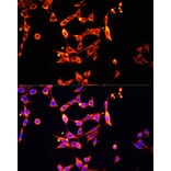
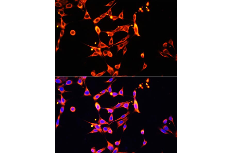
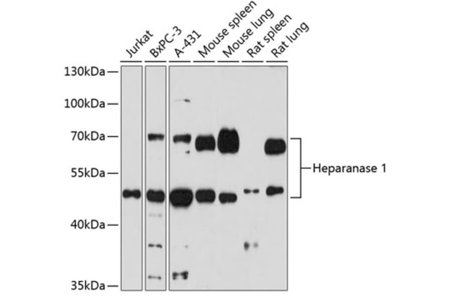
Anti-Heparanase 1 Antibody (A87667)

Rabbit polyclonal antibody to Heparanase 1 for WB, IHC and ICC/IF.

Shipping Information

$40
Dispatched from St. Louis, MO.
Lead Time: 7-10 business days.
Name
Anti-Heparanase 1 Antibody
Description
Rabbit polyclonal antibody to Heparanase 1.
Applications
WB, IHC, ICC/IF
Dilutions
WB: 1:500-1:2,000, IHC: 1:50-1:200, ICC/IF: 1:50-1:200
Reactivity
Human, Mouse, Rat
Immunogen
Recombinant protein of human Heparanase 1.
Host
Rabbit
Clonality
Polyclonal
Isotype
IgG
Conjugate

Unconjugated

Purification
Affinity purification.
Concentration
Lot Specific
Molecular Weight
50 kDa / 65 kDa
Product Form
Liquid
Formulation
Supplied in Phosphate Buffered Saline, pH 7.3, with 50% Glycerol and 0.01% Thiomersal.
Storage
Shipped at 4°C. Upon delivery aliquot and store at -20°C. Avoid freeze/thaw cycles.
Synonyms
Endo glucoronidase, Endo-glucoronidase, HEP, Heparanase, Heparanase 50 kDa subunit, Heparanase-1, Heparanase1, HPA, Hpa 1, Hpa1, HPR 1, HPR1, HPSE, HPSE 1, HPSE1, HPSE_HUMAN, HSE 1, HSE1
Disclaimer
This product is for research use only. It is not intended for diagnostic or therapeutic use.
Publishing research using Anti-Heparanase 1 Antibody (A87667)? Please let us know so that we can list the citation on this page.

Alternative products to Anti-Heparanase 1 Antibody (A87667)