ISO 9001:2015 Certified
Live Customer Support
4.5/5 on Trustpilot
100% Quality Guarantee

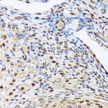
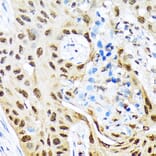
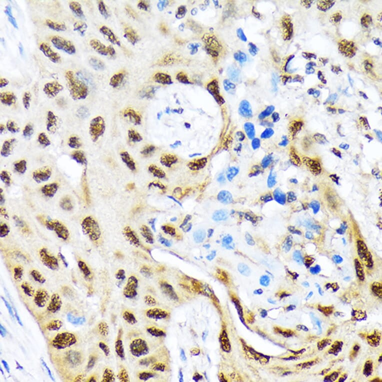
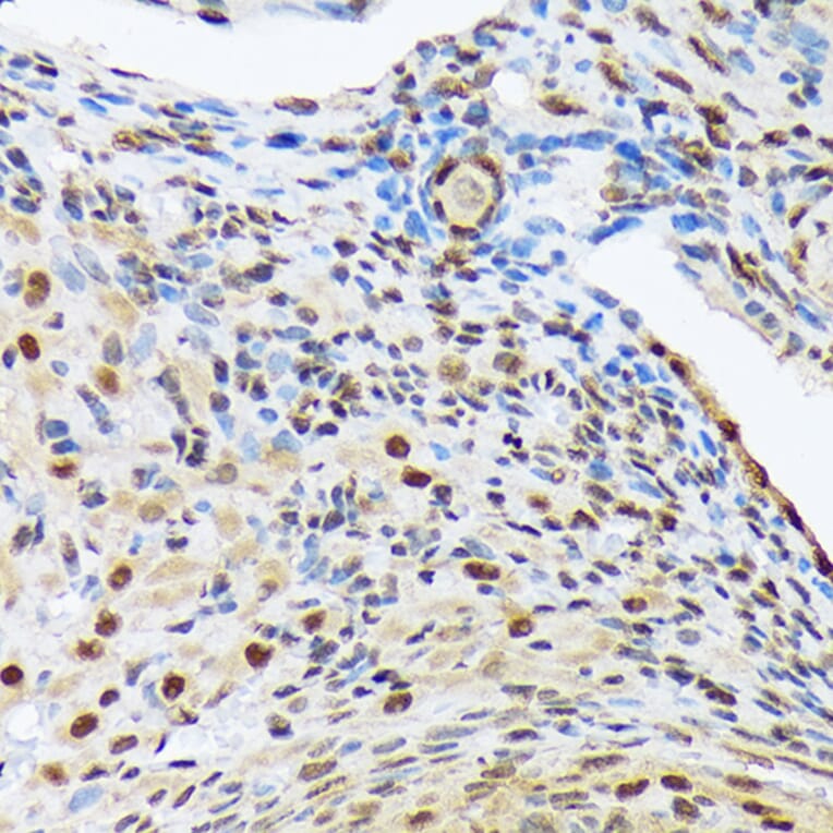
Anti-HES5 Antibody [ARC1740] (A308760)

Rabbit monoclonal [ARC1740] antibody to HES5 for WB and IHC.

Shipping Information

$40
Dispatched from St. Louis, MO.
Lead Time: 7-10 business days.
Name
Anti-HES5 Antibody [ARC1740]
Description
Rabbit monoclonal [ARC1740] antibody to HES5.
Applications
WB, IHC
Dilutions
WB: 1:500-1:2,000, IHC: 1:50-1:200
Reactivity
Human, Mouse, Rat
Immunogen
Recombinant fusion protein containing a sequence corresponding to amino acids 12-142 of human HES5 (Q5TA89).
Sequence
SPKEKNRLRKPVVEKMRRDRINSSIEQLKLLLEQEFARHQPNSKLEKADILEMAVSYLKHSKAFVAAAGPKSLHQDYSEGYSWCLQEAVQFLTLHAASDTQMKLLYHFQRPPAAPAAPAKEPKAPGAAPPP
Host
Rabbit
Clonality
Monoclonal
Clone ID
ARC1740
Isotype
IgG
Conjugate

Unconjugated

Purification
Affinity purification.
Concentration
Lot Specific
Molecular Weight
18 kDa
Product Form
Liquid
Formulation
Supplied in Phosphate Buffered Saline, pH 7.3, with 50% Glycerol, 0.05% BSA, and 0.02% Sodium Azide.
Storage
Shipped at 4°C. Upon delivery aliquot and store at -20°C. Avoid freeze/thaw cycles.
Synonyms
BHLHB38, Class B basic helix-loop-helix protein 38, Hairy and enhancer of split 5, Transcription factor HES-5
Disclaimer
This product is for research use only. It is not intended for diagnostic or therapeutic use.
Publishing research using Anti-HES5 Antibody [ARC1740] (A308760)? Please let us know so that we can list the citation on this page.

Alternative products to Anti-HES5 Antibody [ARC1740] (A308760)

Proteins predicted to interact with HES5

Predicted protein interactions based upon String database. Revelancy score correlates with probability of interaction.
93.4% Relevancy Score
93% Relevancy Score
92% Relevancy Score
89.2% Relevancy Score
85.9% Relevancy Score
85.7% Relevancy Score
83.7% Relevancy Score
79.9% Relevancy Score
79.7% Relevancy Score