ISO 9001:2015 Certified
Live Customer Support
4.5/5 on Trustpilot
100% Quality Guarantee

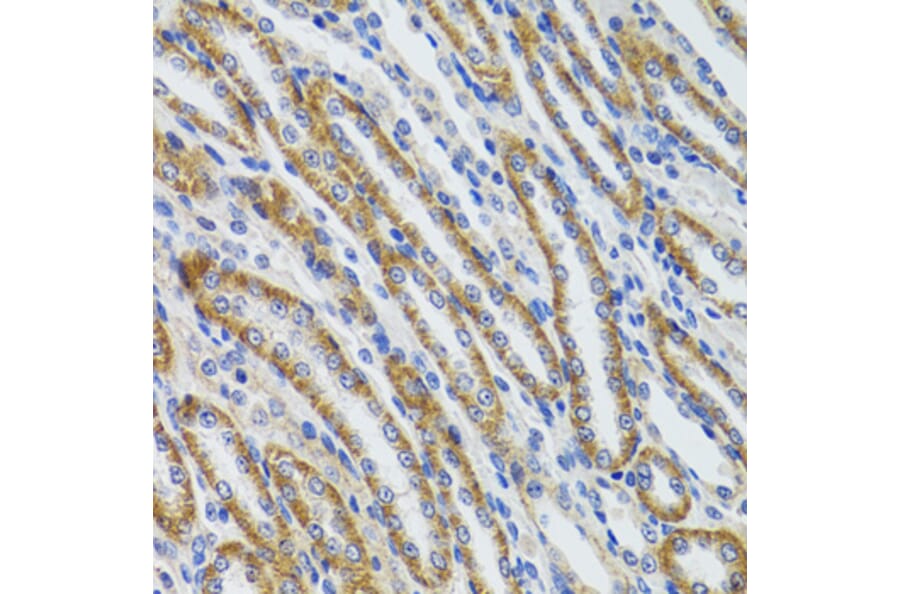
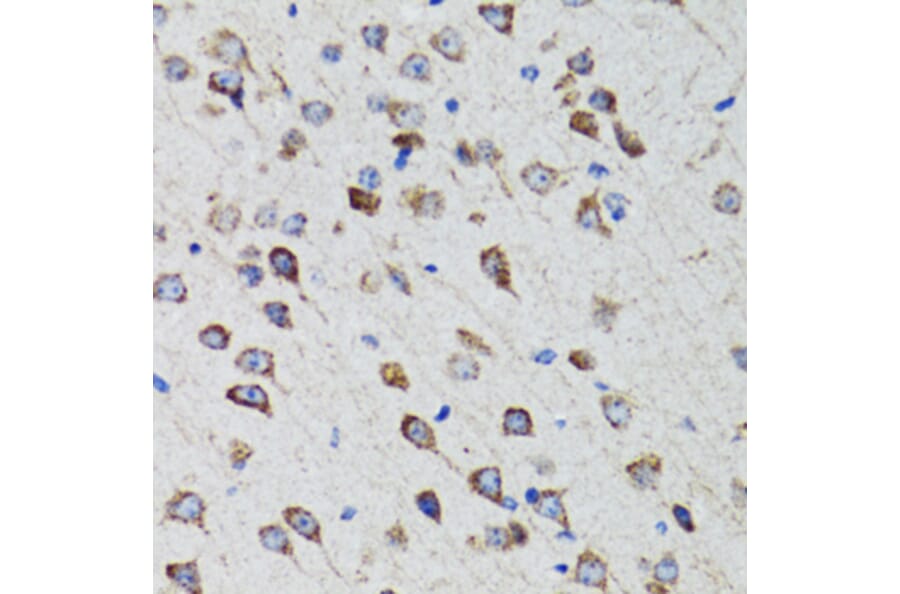
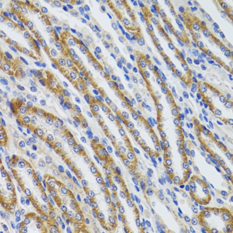
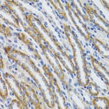
Anti-HEXA Antibody (A92320)

This product is discontinued

Anti-HEXA Antibody (A92320) has been discontinued and is no longer available.

View all HEXA Antibodies.

Name
Anti-HEXA Antibody
Description
Rabbit polyclonal antibody to HEXA.
Applications
WB, IHC
Dilutions
WB: 1:500-1:2,000, IHC: 1:50-1:200
Reactivity
Human, Mouse, Rat
Immunogen
Recombinant fusion protein containing a sequence corresponding to amino acids 270-529 of human HEXA (NP_000511.2).
Sequence
IPGLLTPCYSGSEPSGTFGPVNPSLNNTYEFMSTFFLEVSSVFPDFYLHLGGDEVDFTCWKSNPEIQDFMRKKGFGEDFKQLESFYIQTLLDIVSSYGKGYVVWQEVFDNKVKIQPDTIIQVWREDIPVNYMKELELVTKAGFRALLSAPWYLNRISYGPDWKDFYIVEPLAFEGTPEQKALVIGGEACMWGEYVDNTNLVPRLWPRAGAVAERLWSNKLTSDLTFAYERLSHFRCELLRRGVQAQPLNVGFCEQEFEQT
Host
Rabbit
Clonality
Polyclonal
Isotype
IgG
Conjugate

Unconjugated

Purification
Affinity purification.
Product Form
Liquid
Formulation
Supplied in Phosphate Buffered Saline, pH 7.3, with 50% Glycerol and 0.02% Sodium Azide.
Storage
Shipped at 4°C. Upon delivery aliquot and store at -20°C. Avoid freeze / thaw cycles.
Synonyms
Beta-hexosaminidase subunit alpha, Beta-N-acetylhexosaminidase subunit alpha, Hexosaminidase subunit A, N-acetyl-beta-glucosaminidase subunit alpha
Disclaimer
This product is for research use only. It is not intended for diagnostic or therapeutic use.

Alternative products to Anti-HEXA Antibody (A92320)

Proteins predicted to interact with HEXA

Predicted protein interactions based upon String database. Revelancy score correlates with probability of interaction.
99.8% Relevancy Score
95.9% Relevancy Score
95.3% Relevancy Score
93.6% Relevancy Score
93.3% Relevancy Score
93.2% Relevancy Score
92.9% Relevancy Score
92.3% Relevancy Score