Synthetic peptide corresponding to the C terminal region of human HEXIM1.
Sequence
C-HRQQERAPLSKFGD
Host
Goat
Clonality
Polyclonal
Isotype
IgG
Conjugate
Unconjugated
Purification
Purified from goat serum by ammonium sulphate precipitation followed by antigen affinity chromatography using the immunizing peptide.
Concentration
500 µg/ml
Molecular Weight
40 kDa
Predicted MW
40.6kDa
Product Form
Liquid
Formulation
Supplied in Tris Buffered Saline, pH 7.3, with 0.5% BSA and 0.02% Sodium Azide.
Storage
Shipped at 4°C. Upon delivery aliquot and store at -20°C. Avoid freeze/thaw cycles.
Synonyms
Cardiac lineage protein 1, CLP1, EDG1, Estrogen down-regulated gene 1 protein, Hexamethylene bis-acetamide-inducible protein 1, HIS1, MAQ1, Menage a quatre protein 1, Protein HEXIM1
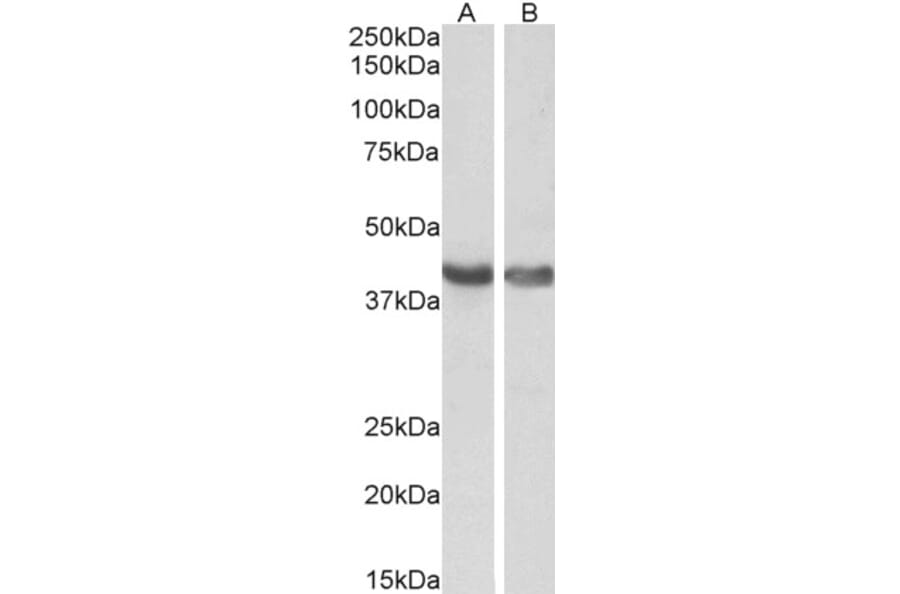
HEXIM1 expression in Human (A) and Mouse (B) Heart lysates analyzed by western blot. Cells were lysed in RIPA buffer and 35µg protein was run per lane. Primary antibody incubation was performed with Anti-HEXIM1 Antibody (A84138) at 0.1µg/ml and detected by chemiluminescence.
HEXIM1 expression in A431 cells analyzed by immunofluorescence. Cells were permeabilized with 0.15% Triton. Staining was performed with Anti-HEXIM1 Antibody (A84138) at 10µg/ml for 1 hour and Alexa Fluor 488 secondary antibody at 2µg/ml. Nuclear staining shown and nuclei were stained with DAPI (blue). Negative control: Goat IgG Isotype Control at 10µg/ml followed by Alexa Fluor 488 secondary antibody at 2µg/ml.
HEXIM1 expression in HeLa cells analyzed by immunofluorescence. Cells were permeabilized with 0.15% Triton. Staining was performed with Anti-HEXIM1 Antibody (A84138) at 10µg/ml for 1 hour and Alexa Fluor 488 secondary antibody at 2µg/ml. Nuclear staining shown and nuclei were stained with DAPI (blue). Negative control: Goat IgG Isotype Control at 10µg/ml followed by Alexa Fluor 488 secondary antibody at 2µg/ml.
Publishing research using Anti-HEXIM1 Antibody (A84138)? Please let us know so that we can list the citation on this page.
Alternative products to Anti-HEXIM1 Antibody (A84138)