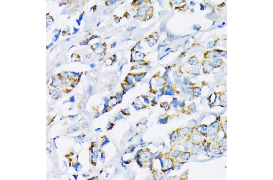
Immunohistochemistry - Anti-Hexokinase II Antibody (A12752)
Immunohistochemistry analysis of paraffin-embedded human breast cancer tissue using Anti-Hexokinase II Antibody (A12752) at a dilution of 1:200 (40x lens). Perform microwave antigen retrieval with 10 mM PBS buffer pH 7.2 before commencing with IHC staining protocol.
Immunohistochemistry - Anti-Hexokinase II Antibody (A12752)
Immunohistochemistry analysis of paraffin-embedded human colon tissue using Anti-Hexokinase II Antibody (A12752) at a dilution of 1:200 (40x lens). Perform microwave antigen retrieval with 10 mM PBS buffer pH 7.2 before commencing with IHC staining protocol.
Immunohistochemistry - Anti-Hexokinase II Antibody (A12752)
Immunohistochemistry analysis of paraffin-embedded mouse heart using Anti-Hexokinase II Antibody (A12752) at a dilution of 1:200 (40x lens). Perform microwave antigen retrieval with 10 mM PBS buffer pH 7.2 before commencing with IHC staining protocol.
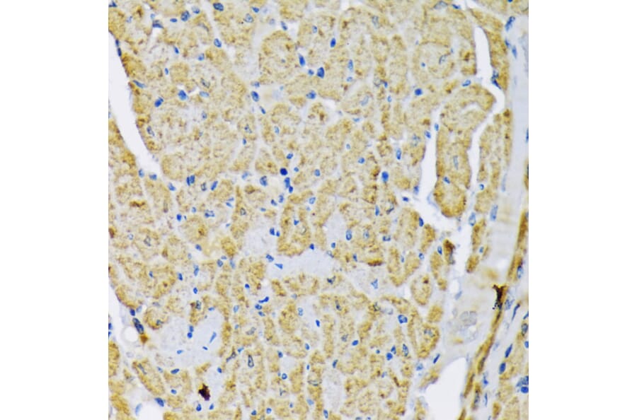
Immunohistochemistry - Anti-Hexokinase II Antibody (A12752)
Immunohistochemistry analysis of paraffin-embedded rat heart using Anti-Hexokinase II Antibody (A12752) at a dilution of 1:200 (40x lens). Perform microwave antigen retrieval with 10 mM PBS buffer pH 7.2 before commencing with IHC staining protocol.
Immunofluorescence - Anti-Hexokinase II Antibody (A12752)
Immunofluorescence analysis of NIH/3T3 cells using Anti-Hexokinase II Antibody (A12752) at a dilution of 1:100 (40x lens). DAPI was used to stain the cell nuclei (blue).
Immunofluorescence - Anti-Hexokinase II Antibody (A12752)
Immunofluorescence analysis of PC-12 cells using Anti-Hexokinase II Antibody (A12752) at a dilution of 1:100 (40x lens). DAPI was used to stain the cell nuclei (blue).
Immunofluorescence - Anti-Hexokinase II Antibody (A12752)
Immunofluorescence analysis of U2OS cells using Anti-Hexokinase II Antibody (A12752) at a dilution of 1:100 (40x lens). DAPI was used to stain the cell nuclei (blue).