Primary Antibodies
Secondary Antibodies
Proteins & Peptides
ELISA Kits
About Us
Contact Us
Sign In/Register
0
ISO 9001:2015 Certified
Live Customer Support
4.5/5 on Trustpilot
100% Quality Guarantee
Home
Primary Antibodies
HGS Antibodies
Anti-HGS Antibody (A98503)
Anti-HGS Antibody (A98503)
Overview
Specifications
Images
Enlarge Image
Enlarge Image
$190
Product Datasheet
Rabbit polyclonal antibody to HGS for WB and ELISA.
100% Guarantee
Price Match Guarantee
Product Size:
10µg
100µg
Quantity:
1
2
3
4
5
6
7
8
9
10
Add To Cart
Request a Quotation
Custom or Bulk Request
Shipping Information
Freight/Packing Charges:
$40
Dispatched from St. Louis, MO.
Lead Time: 6-8 business days.
Specifications
Name
Anti-HGS Antibody
Description
Rabbit polyclonal antibody to HGS.
Applications
WB
,
ELISA
Dilutions
WB: 1:500-1:1000, ELISA: 1:10000
Reactivity
Human, Mouse, Rat
Immunogen
Synthetic peptide derived from the Internal region of human HGS (amino acids 511-560).
Host
Rabbit
Clonality
Polyclonal
Isotype
IgG
Conjugate
Unconjugated
Purification
The antibody was affinity-purified from rabbit antiserum by affinity-chromatography using peptide.
Molecular Weight
86kDa
Product Form
Liquid
Formulation
Supplied in Phosphate Buffered Saline (without Mg2+ and Ca2+), pH 7.4, with 150mM NaCl, 0.02% Sodium Azide, and 50% Glycerol.
Storage
Shipped at 4°C. Upon delivery aliquot and store at -20°C. Avoid freeze / thaw cycles.
Synonyms
Hepatocyte growth factor-regulated tyrosine kinase substrate, HRS, Protein pp110
Isotype Controls
Rabbit IgG (A82272)
Rabbit IgG (A17360)
Suitable Secondaries
Goat Anti-Rabbit IgG H&L Antibody (AP) (A294874)
Goat Anti-Rabbit IgG H&L Antibody (Biotin) (A294795)
Goat Anti-Rabbit IgG H&L Antibody (FITC) (A294887)
Goat Anti-Rabbit IgG H&L Antibody (HRP) (A294888)
See all Anti-Rabbit IgG Secondaries →
Disclaimer
This product is for research use only. It is not intended for diagnostic or therapeutic use.
Scientific Validation Data
Validation Data
(2)
Enlarge Image
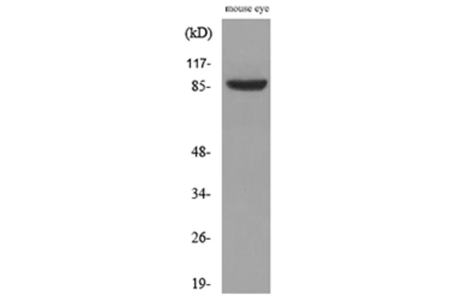
Western Blot - Anti-HGS Antibody (A98503)
Western blot analysis of lysate from mouse eye cells using Anti-HGS Antibody.
Enlarge Image
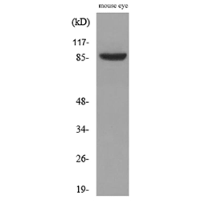
Western Blot - Anti-HGS Antibody (A98503)
Western blot analysis of mouse eye, mouse kidney, mouse testis cells using Anti-HGS Antibody.
Publishing research using Anti-HGS Antibody (A98503)? Please
let us know
so that we can list the citation on this page.
Alternative products to Anti-HGS Antibody (A98503)
(4)
A95484
Anti-HGS Antibody
Rabbit polyclonal antibody to HGS for WB, IHC, IF and ELISA.
(4)
A95483
Anti-HRS Antibody
Rabbit polyclonal antibody to HRS for WB, IHC, IF and ELISA.
(3)
A93781
Anti-HRS (phospho Tyr334) Antibody
Rabbit polyclonal antibody to HRS (phospho Tyr334) for WB, IHC, IF and ELISA.
(3)
A81208
Anti-HGS Antibody
Rabbit polyclonal antibody to HGS for WB, ICC/IF and IP.
(3)
A35678
Anti-HGS Antibody
Rabbit polyclonal antibody to HGS for WB, IHC and IF.
(2)
A94291
Anti-Hrs (phospho Tyr216) Antibody
Rabbit polyclonal antibody to Hrs (phospho Tyr216) for WB and ELISA.
A98502
Anti-Hrs Antibody
Rabbit polyclonal antibody to Hrs for WB and ELISA.
A84200
Anti-HGS Antibody
Goat polyclonal antibody to HGS for ELISA, WB and IHC.
(4)
A95484
Anti-HGS Antibody
Rabbit polyclonal antibody to HGS for WB, IHC, IF and ELISA.
(4)
A95483
Anti-HRS Antibody
Rabbit polyclonal antibody to HRS for WB, IHC, IF and ELISA.
(3)
A93781
Anti-HRS (phospho Tyr334) Antibody
Rabbit polyclonal antibody to HRS (phospho Tyr334) for WB, IHC, IF and ELISA.
(3)
A81208
Anti-HGS Antibody
Rabbit polyclonal antibody to HGS for WB, ICC/IF and IP.
(3)
A35678
Anti-HGS Antibody
Rabbit polyclonal antibody to HGS for WB, IHC and IF.
(2)
A94291
Anti-Hrs (phospho Tyr216) Antibody
Rabbit polyclonal antibody to Hrs (phospho Tyr216) for WB and ELISA.
A98502
Anti-Hrs Antibody
Rabbit polyclonal antibody to Hrs for WB and ELISA.
A84200
Anti-HGS Antibody
Goat polyclonal antibody to HGS for ELISA, WB and IHC.
See all HGS Antibodies
Proteins predicted to interact with HGS
Predicted protein interactions based upon String database. Revelancy score correlates with probability of interaction.
STAM1 Antibodies
99.9% Relevancy Score
TSG101 Antibodies
99.9% Relevancy Score
STAM2 Antibodies
99.9% Relevancy Score
HPSE Antibodies
99.2% Relevancy Score
Ubiquitin Antibodies
99% Relevancy Score
EPS15 Antibodies
98.9% Relevancy Score
VPS36 Antibodies
98.7% Relevancy Score
VPS25 Antibodies
98.4% Relevancy Score
VPS28 Antibodies
98.1% Relevancy Score
Top