Primary Antibodies
Secondary Antibodies
Proteins & Peptides
ELISA Kits
About Us
Contact Us
Sign In/Register
0
ISO 9001:2015 Certified
Live Customer Support
4.5/5 on Trustpilot
100% Quality Guarantee
Home
Primary Antibodies
CQ028 Antibodies
Anti-HID1 Antibody (A46922)
Anti-HID1 Antibody (A46922)
Overview
Specifications
Images
Enlarge Image
$430
Product Datasheet
Rabbit polyclonal antibody to HID1 for IHC.
100% Guarantee
Price Match Guarantee
Product Size:
100µl
Quantity:
1
2
3
4
5
6
7
8
9
10
Add To Cart
Request a Quotation
Custom or Bulk Request
Shipping Information
Freight/Packing Charges:
$40
Dispatched from St. Louis, MO.
Lead Time: 6-9 business days.
Specifications
Name
Anti-HID1 Antibody
Description
Rabbit polyclonal antibody to HID1
Specificity
The antibody detects endogenous levels of total HID1 protein.
Applications
IHC
Reactivity
Human, Mouse
Immunogen
Synthetic peptide corresponding to a region derived from internal residues of human HID1 domain containing
Host
Rabbit
Clonality
Polyclonal
Conjugate
Unconjugated
Purification
Antigen affinity purification.
Concentration
2.4 mg/mL
Formulation
Supplied in PBS, pH 7.3, containing 0.05% sodium azide and 50% glycerol.
Storage
Shipped at 4°C. Upon delivery aliquot and store at -20°C. Avoid freeze/thaw cycles.
Synonyms
C17orf28, DMC1, Down-regulated in multiple cancers 1, HID1 domain-containing protein, Protein hid-1 homolog, Protein HID1
Suitable Secondaries
Goat Anti-Rabbit IgG H&L Antibody (AP) (A294874)
Goat Anti-Rabbit IgG H&L Antibody (Biotin) (A294795)
Goat Anti-Rabbit IgG H&L Antibody (FITC) (A294887)
Goat Anti-Rabbit IgG H&L Antibody (HRP) (A294888)
See all Anti-Rabbit IgG Secondaries →
Disclaimer
This product is for research use only. It is not intended for diagnostic or therapeutic use.
Scientific Validation Data
Validation Data
(1)
Enlarge Image
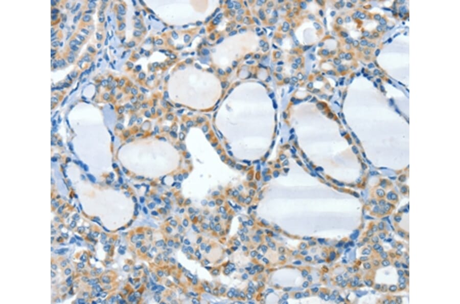
Immunohistochemistry - Anti-HID1 Antibody (A46922)
Immunohistochemical analysis of paraffin-embedded Human thyroid cancer tissue using #37500 at dilution 1/50.
Publishing research using Anti-HID1 Antibody (A46922)? Please
let us know
so that we can list the citation on this page.
Proteins predicted to interact with CQ028
Predicted protein interactions based upon String database. Revelancy score correlates with probability of interaction.
HAUSP Antibodies
64.9% Relevancy Score
USP40 Antibodies
62% Relevancy Score
GLE1 Antibodies
60.9% Relevancy Score
CSDE1 Antibodies
59.8% Relevancy Score
NUP155 Antibodies
57.5% Relevancy Score
NUP54 Antibodies
52.6% Relevancy Score
GPD1L Antibodies
52% Relevancy Score
NUP214 Antibodies
49.4% Relevancy Score
CYP4B1 Antibodies
49.3% Relevancy Score
Top