ISO 9001:2015 Certified
Live Customer Support
4.5/5 on Trustpilot
100% Quality Guarantee

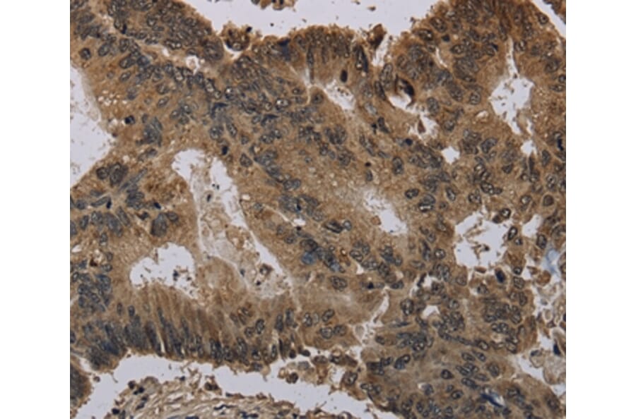
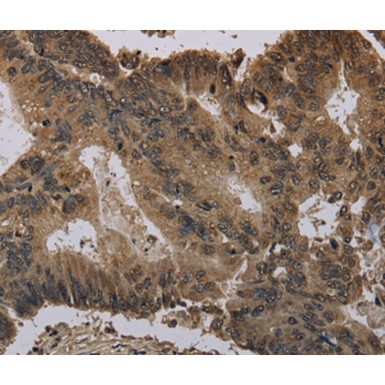
Anti-HIST4H4 Antibody (A36853)

$405

Rabbit polyclonal antibody to HIST4H4 for WB and IHC.

Shipping Information

$40
Dispatched from St. Louis, MO.
Lead Time: 6-9 business days.
Name
Anti-HIST4H4 Antibody
Description
Rabbit polyclonal antibody to HIST4H4
Specificity
The antibody detects endogenous levels of total HIST4H4 protein.
Applications
WB, IHC
Reactivity
Human, Mouse, Rat
Immunogen
Fusion protein corresponding to a region derived from internal residues of human histone cluster 4, H4
Host
Rabbit
Clonality
Polyclonal
Conjugate

Unconjugated

Purification
Antigen affinity purification.
Concentration
1.3 mg/ml
Formulation
Rabbit IgG in pH7.3 PBS, 0.05% NaN3, 50% Glycerol.
Storage
Store at -20˚C
Disclaimer
This product is for research use only. It is not intended for diagnostic or therapeutic use.
Publishing research using Anti-HIST4H4 Antibody (A36853)? Please let us know so that we can list the citation on this page.