ISO 9001:2015 Certified
Live Customer Support
4.5/5 on Trustpilot
100% Quality Guarantee

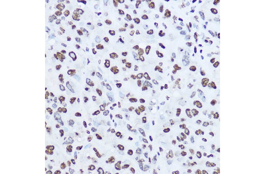
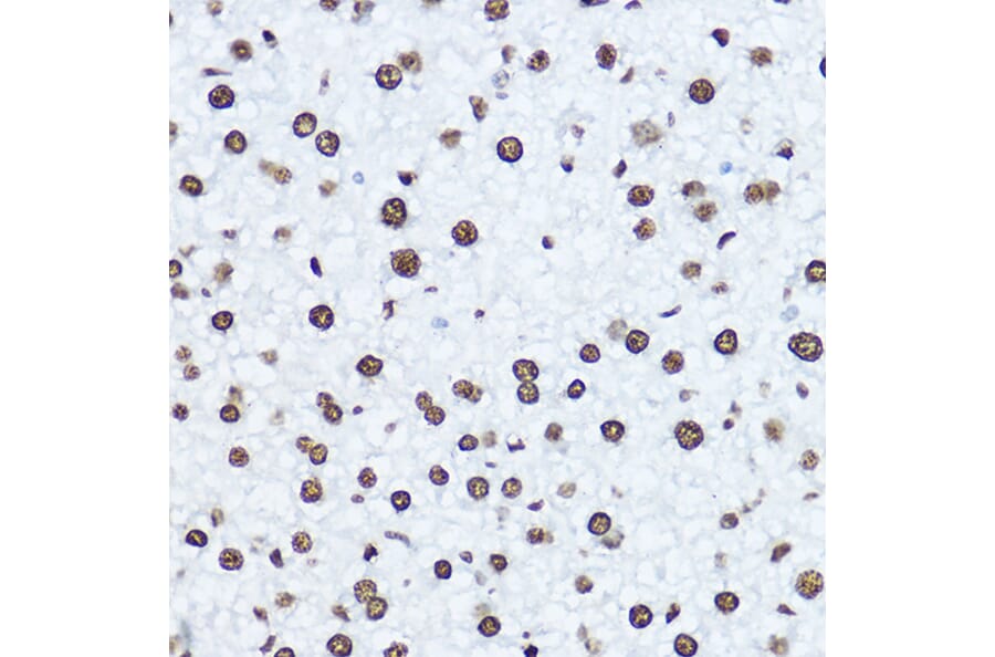
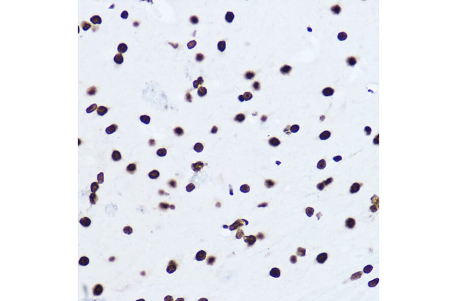
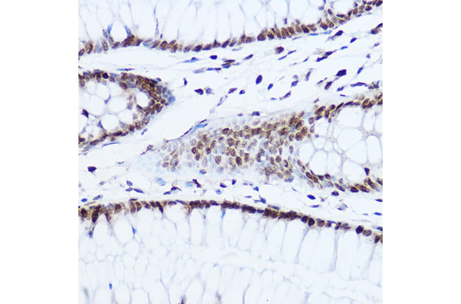
Anti-Histone H1.0 Antibody (A14423)

Rabbit polyclonal antibody to Histone H1.0 for WB, IHC and ICC/IF.

Shipping Information

$40
Dispatched from St. Louis, MO.
Lead Time: 7-10 business days.
Name
Anti-Histone H1.0 Antibody
Description
Rabbit polyclonal antibody to Histone H1.0.
Applications
WB, IHC, ICC/IF
Dilutions
WB: 1:500-1:1,000, IHC: 1:50-1:200, ICC/IF: 1:50-1:200
Reactivity
Human, Mouse, Rat
Immunogen
Recombinant fusion protein containing a sequence corresponding to amino acids 1-105 of human H1F0 (NP_005309.1).
Sequence
MTENSTSAPAAKPKRAKASKKSTDHPKYSDMIVAAIQAEKNRAGSSRQSIQKYIKSHYKVGENADSQIKLSIKRLVTTGVLKQTKGVGASGSFRLAKSDEPKKSV
Host
Rabbit
Clonality
Polyclonal
Isotype
IgG
Conjugate

Unconjugated

Purification
Affinity purification.
Concentration
Lot Specific
Molecular Weight
30 kDa
Product Form
Liquid
Formulation
Supplied in Phosphate Buffered Saline, pH 7.3, with 50% Glycerol and 0.02% Sodium Azide.
Storage
Shipped at 4°C. Upon delivery aliquot and store at -20°C. Avoid freeze/thaw cycles.
Synonyms
H1-0, H1-1, H1-10, H1-3, H1-5, H1-6, H1-8, H1F0, H1F1, H1F3, H1F5, H1FOO, H1FT, H1FV, H1FX, H1OO, H1T, HIST1H1A, HIST1H1B, HIST1H1D, HIST1H1T, Histone H1', Histone H1(0), Histone H1.1, Histone H1.10, Histone H1.3, Histone H1.5, Histone H1.8, Histone H1a, Histone H1b, Histone H1c, Histone H1oo, Histone H1s-2, Histone H1s-3, Histone H1t, Histone H1x, Oocyte-specific histone H1, Oocyte-specific linker histone H1, osH1, Testicular H1 histone
Disclaimer
This product is for research use only. It is not intended for diagnostic or therapeutic use.
Publishing research using Anti-Histone H1.0 Antibody (A14423)? Please let us know so that we can list the citation on this page.

Alternative products to Anti-Histone H1.0 Antibody (A14423)

Proteins predicted to interact with Histone H1

Predicted protein interactions based upon String database. Revelancy score correlates with probability of interaction.
98.5% Relevancy Score
93.3% Relevancy Score
89% Relevancy Score
88.1% Relevancy Score
82.1% Relevancy Score
78.1% Relevancy Score
74.6% Relevancy Score
72.8% Relevancy Score
70.4% Relevancy Score