Western Blot - Anti-Histone H2A.X (phospho Ser139) Antibody [ARC0110] (A308961)
Western blot analysis of extracts of NIH/3T3 cells, using Anti-Histone H2A.X (phospho Ser139) Antibody [ARC0110] (A308961) at 1:1,000 dilution. NIH/3T3 cells were treated by UV at room temperature for 15-30 minutes. The secondary antibody was Goat Anti-Rabbit IgG H&L Antibody (HRP) at 1:10,000 dilution. Lysates/proteins were present at 25µg per lane. The blocking buffer used was 3% BSA. Detection was with a ECL Basic Kit. Exposure time: 1s.
Western Blot - Anti-Histone H2A.X (phospho Ser139) Antibody [ARC0110] (A308961)
Western blot analysis of extracts of 293T cells, using Anti-Histone H2A.X (phospho Ser139) Antibody [ARC0110] (A308961) at 1:1,000 dilution. 293T cells were treated by UV at room temperature for 15-30 minutes. The secondary antibody was Goat Anti-Rabbit IgG H&L Antibody (HRP) at 1:10,000 dilution. Lysates/proteins were present at 25µg per lane. The blocking buffer used was 3% non-fat dry milk in TBST. Detection was with a ECL Basic Kit. Exposure time: 30s.
Immunohistochemistry analysis of paraffin-embedded rat testis using Anti-Histone H2A.X (phospho Ser139) Antibody [ARC0110] (A308961) at a dilution of 1:100 (40x lens). Perform microwave antigen retrieval with 10 mM Tris/EDTA buffer pH 9.0 before commencing with IHC staining protocol.
Immunohistochemistry analysis of paraffin-embedded human esophageal using Anti-Histone H2A.X (phospho Ser139) Antibody [ARC0110] (A308961) at a dilution of 1:100 (40x lens). Perform microwave antigen retrieval with 10 mM Tris/EDTA buffer pH 9.0 before commencing with IHC staining protocol.
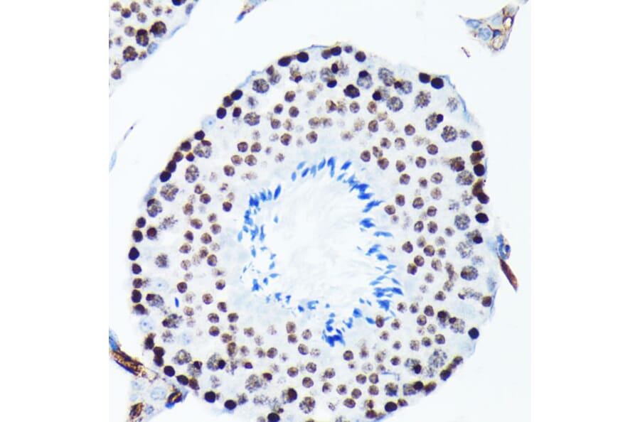
Immunohistochemistry analysis of paraffin-embedded mouse testis using Anti-Histone H2A.X (phospho Ser139) Antibody [ARC0110] (A308961) at a dilution of 1:100 (40x lens). Perform microwave antigen retrieval with 10 mM Tris/EDTA buffer pH 9.0 before commencing with IHC staining protocol.
Publishing research using Anti-Histone H2A.X (phospho Ser139) Antibody [ARC0110] (A308961)? Please let us know so that we can list the citation on this page.
Alternative products to Anti-Histone H2A.X (phospho Ser139) Antibody [ARC0110] (A308961)