ISO 9001:2015 Certified
Live Customer Support
4.5/5 on Trustpilot
100% Quality Guarantee

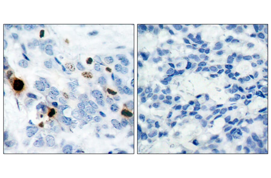
Anti-Histone H3.1 (phospho Ser10) Antibody (A94899)

Rabbit polyclonal antibody to Histone H3.1 (phospho Ser10) for WB, IHC, IHC-f, Flow Cyt, ICC, IF and ELISA.

Shipping Information

$40
Dispatched from St. Louis, MO.
Lead Time: 6-8 business days.
Name
Anti-Histone H3.1 (phospho Ser10) Antibody
Description
Rabbit polyclonal antibody to Histone H3.1 (phospho Ser10).
Specificity
This antibody detects endogenous levels of Histone H3.1 only when phosphorylated at Ser10.
Applications
WB, IHC, IHC-f, Flow Cyt, ICC, IF, ELISA
Dilutions
IF: 1:100~1:500, ELISA: 1:20000
Reactivity
Human, Mouse, Rat, Drosophila melanogaster
Cross Reactivity
No reported cross-reactivity.
Immunogen
Synthetic peptide derived from human Histone H3.1 around the phosphorylation site of Ser10 (amino acids 1-50).
Host
Rabbit
Clonality
Polyclonal
Isotype
IgG
Conjugate

Unconjugated

Purification
Purified from rabbit serum by antigen affinity chromatography using the immunizing phospho peptide.
Molecular Weight
15kDa
Product Form
Liquid
Formulation
Supplied in Phosphate Buffered Saline (without Mg2+ and Ca2+), pH 7.4, with 150mM NaCl, 0.02% Sodium Azide, and 50% Glycerol.
Storage
Shipped at 4°C. Upon delivery aliquot and store at -20°C. Avoid freeze / thaw cycles.
Disclaimer
This product is for research use only. It is not intended for diagnostic or therapeutic use.
Publishing research using Anti-Histone H3.1 (phospho Ser10) Antibody (A94899)? Please let us know so that we can list the citation on this page.