Western Blot - Anti-Histone H3 (acetyl Lys9) Antibody (A94908)
Western blot analysis of lysates from Raw264.7 cells, treated with TSA 400nM 24h using Anti-Histone H3 (acetyl Lys9) Antibody. The right hand lane represents a negative control, where the antibody is blocked by the immunising peptide.
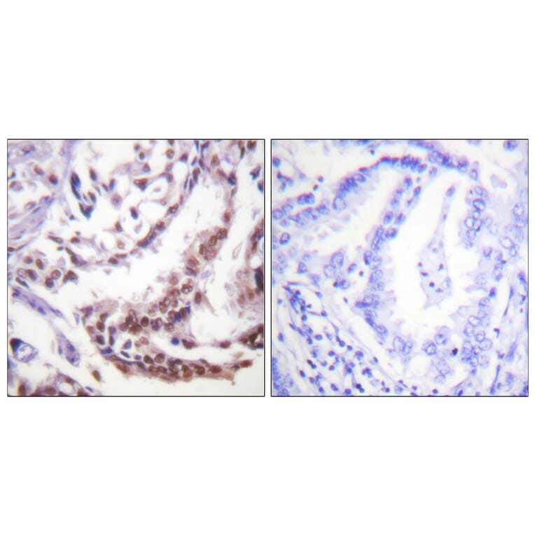
Immunohistochemical analysis of paraffin-embedded human lung carcinoma tissue using Anti-Histone H3 (acetyl Lys9) Antibody. The right hand panel represents a negative control, where the antibody was pre-incubated with the immunising peptide.
Immunofluorescence analysis of HeLa cells using Anti-Histone H3 (acetyl Lys9) Antibody. The right hand panel represents a negative control, where the antibody was pre-incubated with the immunising peptide.
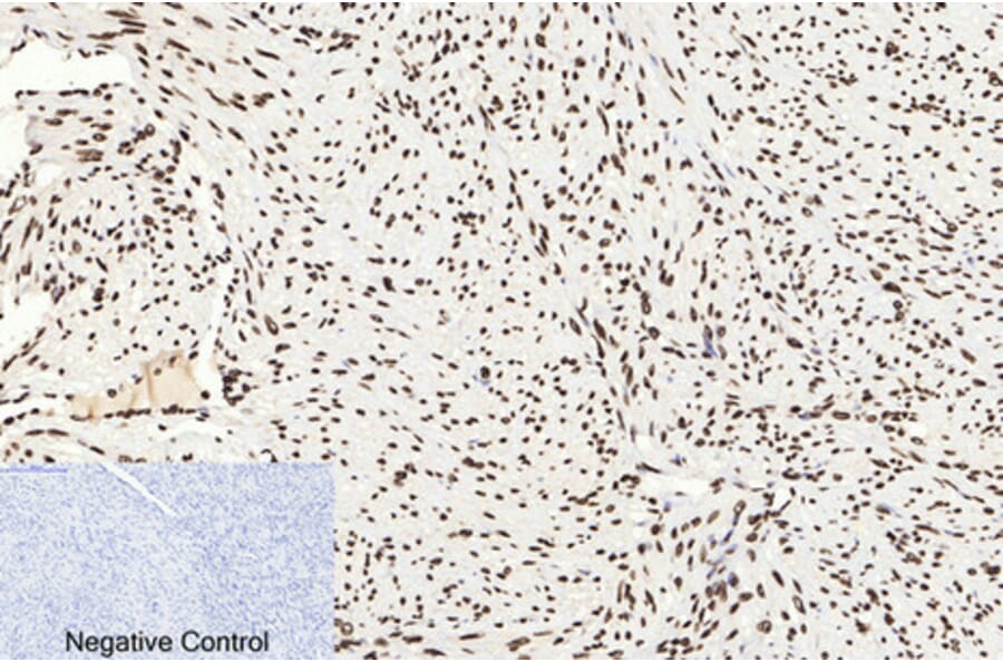
Immunohistochemical analysis of paraffin-embedded human uterus tissue using Anti-Histone H3 (acetyl Lys9) Antibody at 1:200 (4°C overnight). Negative control was secondary antibody only.
Immunohistochemical analysis of paraffin-embedded human uterus cancer tissue using Anti-Histone H3 (acetyl Lys9) Antibody at 1:200 (4°C overnight). Negative control was secondary antibody only.
Immunofluorescence analysis of rat heart tissue using Anti-Histone H3 (acetyl Lys9) Antibody (red) at 1:200 (4°C overnight). Cy3 labelled secondary antibody was used at 1:300 (RT 50min). Panel A: Target. Panel B: DAPI. Panel C: Merge.
Immunofluorescence analysis of human lung cancer tissue using Anti-Histone H3 (acetyl Lys9) Antibody (red) at 1:200 (4°C overnight). Cy3 labelled secondary antibody was used at 1:300 (RT 50min). Panel A: Target. Panel B: DAPI. Panel C: Merge.