ISO 9001:2015 Certified
Live Customer Support
4.5/5 on Trustpilot
100% Quality Guarantee

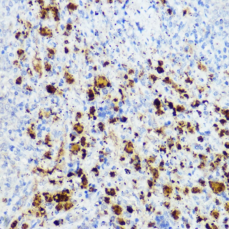
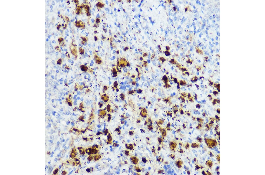
Anti-Hivep3 Antibody (A306384)

This product is discontinued

Anti-Hivep3 Antibody (A306384) has been discontinued and is no longer available.

View all available products.

Name
Anti-Hivep3 Antibody
Description
Rabbit polyclonal antibody to Hivep3.
Applications
WB, IHC
Dilutions
WB: 1:500-1:1,000, IHC: 1:50-1:200
Reactivity
Human, Mouse, Rat
Immunogen
Recombinant fusion protein containing a sequence corresponding to amino acids 617-714 of mouse Hivep3 (NP_034787.2).
Sequence
KESDLTKKTKKGFKTKGANYECTICGARYKKRDNYEAHKKYYCSELQITKAHSVGAHEVEKTQAEPEPWSQMMHYKLGATLELTPLRKRRKEKSLGDE
Host
Rabbit
Clonality
Polyclonal
Isotype
IgG
Conjugate

Unconjugated

Purification
Affinity purification.
Molecular Weight
260 kDa
Product Form
Liquid
Formulation
Supplied in Phosphate Buffered Saline, pH 7.3, with 50% Glycerol and 0.01% Thiomersal.
Storage
Shipped at 4°C. Upon delivery aliquot and store at -20°C. Avoid freeze / thaw cycles.
Disclaimer
This product is for research use only. It is not intended for diagnostic or therapeutic use.