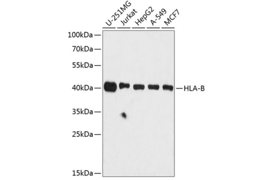
Western Blot - Anti-HLA Class 1 ABC Antibody (A8902)
Western blot analysis of extracts of various cell lines, using Anti-HLA Class 1 ABC Antibody (A8902) at 1:3,000 dilution. The secondary antibody was Goat Anti-Rabbit IgG H&L Antibody (HRP) at 1:10,000 dilution. Lysates/proteins were present at 25µg per lane. The blocking buffer used was 3% non-fat dry milk in TBST. Detection was with a ECL Basic Kit. Exposure time: 30s.
Immunohistochemistry - Anti-HLA Class 1 ABC Antibody (A8902)
Immunohistochemistry analysis of paraffin-embedded rat spleen using Anti-HLA Class 1 ABC Antibody (A8902) at a dilution of 1:100 (40x lens). Perform microwave antigen retrieval with 10 mM PBS buffer pH 7.2 before commencing with IHC staining protocol.
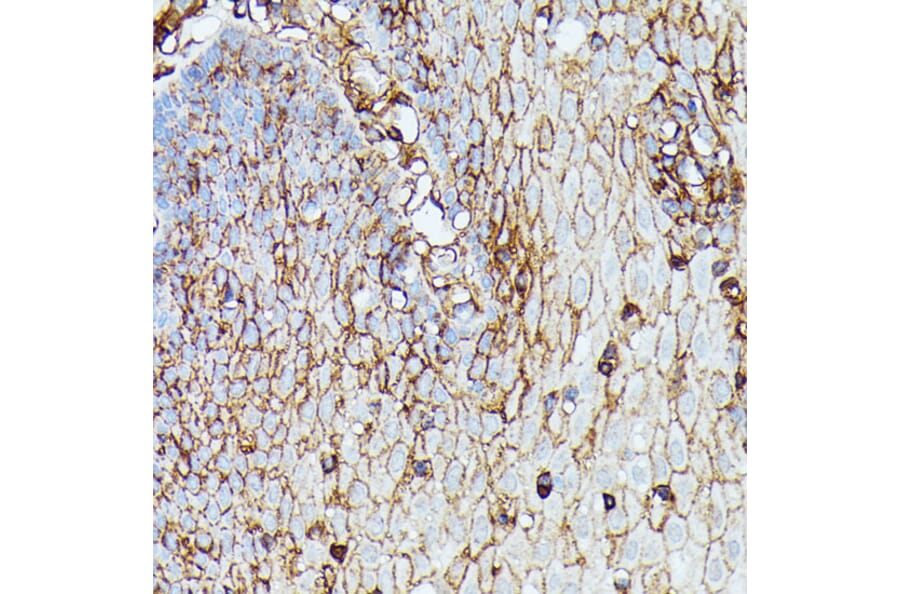
Immunohistochemistry - Anti-HLA Class 1 ABC Antibody (A8902)
Immunohistochemistry analysis of paraffin-embedded human esophageal using Anti-HLA Class 1 ABC Antibody (A8902) at a dilution of 1:100 (40x lens). Perform microwave antigen retrieval with 10 mM PBS buffer pH 7.2 before commencing with IHC staining protocol.
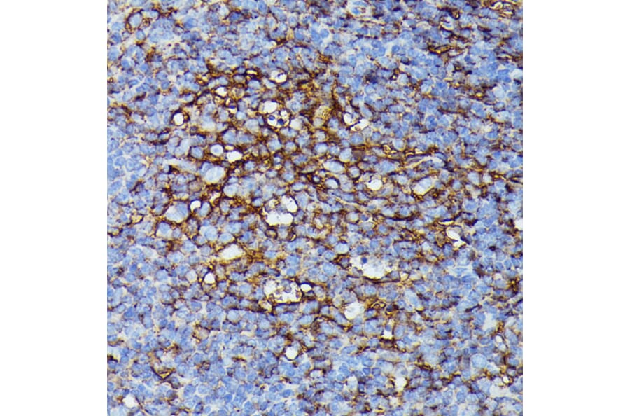
Immunohistochemistry - Anti-HLA Class 1 ABC Antibody (A8902)
Immunohistochemistry analysis of paraffin-embedded mouse spleen using Anti-HLA Class 1 ABC Antibody (A8902) at a dilution of 1:100 (40x lens). Perform microwave antigen retrieval with 10 mM PBS buffer pH 7.2 before commencing with IHC staining protocol.
Publishing research using Anti-HLA Class 1 ABC Antibody (A8902)? Please let us know so that we can list the citation on this page.
Alternative products to Anti-HLA Class 1 ABC Antibody (A8902)