ISO 9001:2015 Certified
Live Customer Support
4.5/5 on Trustpilot
100% Quality Guarantee

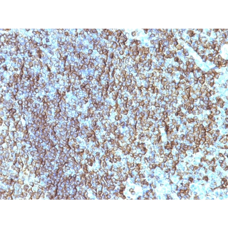
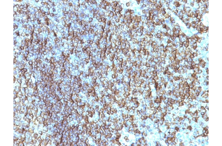
Anti-HLA DRB Antibody [SPM288] - BSA and Azide free (A252033)

Mouse monoclonal [SPM288] antibody to HLA DRB for Flow Cytometry, IF, WB and IHC-P.

Alternative Formats and ConjugatesAlternative Formats

Shipping Information

$40
Dispatched from St. Louis, MO.
Lead Time: 5-8 business days.
Name
Anti-HLA DRB Antibody [SPM288] - BSA and Azide free
Description
Mouse monoclonal [SPM288] antibody to HLA DRB.
Specificity
This antibody reacts with a 28kDa chain of HLA-DRB1 antigen, a member of MHC class II molecules. It does not cross react with HLA-DP and HLA-DQ. The L243 antibody recognizes a different epitope than the LN3 monoclonal antibody, and these antibodies do not cross-block binding to each others respective epitopes. HLA-DR is a heterodimeric cell surface glycoprotein comprised of a 36kDa alpha (heavy) chain and a 28kDa beta (light) chain. It is expressed on B-cells, activated T-cells, monocytes/macrophages, dendritic cells and other non-professional APCs. In conjunction with the CD3/TCR complex and CD4 molecules, HLA-DR is critical for efficient peptide presentation to CD4+ T cells. It is an excellent histiocytic marker in paraffin sections producing intense staining. True histiocytic neoplasms are similarly positive. HLA-DR antigens also occur on a variety of epithelial cells and their corresponding neoplastic counterparts. Loss of HLA-DR expression is related to tumor microenvironment and predicts adverse outcome in diffuse large B-cell lymphoma.
Applications
Flow Cytometry, IF, WB, IHC-P
Dilutions
Flow Cytometry: 1-2 µg/million cells, IF: 1-2 µg/ml, WB: 1-2 µg/ml, IHC-P: 0.25-0.5 µg/ml
Reactivity
Human, Monkey
Cross Reactivity
This antibody does not cross react with Mouse.
Immunogen
Activated human peripheral blood mononuclear cells.
Host
Mouse
Clonality
Monoclonal
Clone ID
SPM288
Isotype
IgG2b
Light Chains
kappa
Conjugate

Unconjugated

Purification
Protein A/G chromatography.
Concentration
1 mg/ml
Molecular Weight
28 kDa (beta chain)
Product Form
Liquid
Formulation
Supplied in 10mM Phosphate Buffered Saline; without Sodium Azide and carrier free.
Storage
Shipped at 4°C. Upon delivery aliquot and store at -20°C. Avoid freeze / thaw cycles.
General Notes
This monoclonal antibody is also available in a different formulation with BSA and Sodium Azide - Anti-HLA DRB Antibody [SPM288] (A248853).
Disclaimer
This product is for research use only. It is not intended for diagnostic or therapeutic use.
Publishing research using Anti-HLA DRB Antibody [SPM288] - BSA and Azide free (A252033)? Please let us know so that we can list the citation on this page.