Supplied in Phosphate Buffered Saline, pH 7.3, with 50% Glycerol, 0.05% BSA, and 0.02% Sodium Azide.
Storage
Shipped at 4°C. Upon delivery aliquot and store at -20°C. Avoid freeze/thaw cycles.
Synonyms
High mobility group AT-hook protein 1, High mobility group protein A1, High mobility group protein HMG-I/HMG-Y, High mobility group protein R, HMG-I(Y), HMGIY
Western Blot - Anti-HMGA1 Antibody [ARC1060] (A307749)
Western blot analysis of extracts of various cell lines, using Anti-HMGA1 Antibody (A307749) at 1:1,000 dilution. The secondary antibody was Goat Anti-Rabbit IgG H&L Antibody (HRP) at 1:10,000 dilution. Lysates/proteins were present at 25µg per lane. The blocking buffer used was 3% non-fat dry milk in TBST. Detection was with a ECL Basic Kit. Exposure time: 30s.
Western Blot - Anti-HMGA1 Antibody [ARC1060] (A307749)
Western blot analysis of extracts of Mouse testis, using Anti-HMGA1 Antibody (A307749) at 1:1,000 dilution. The secondary antibody was Goat Anti-Rabbit IgG H&L Antibody (HRP) at 1:10,000 dilution. Lysates/proteins were present at 25µg per lane. The blocking buffer used was 3% non-fat dry milk in TBST. Detection was with a ECL Basic Kit. Exposure time: 90s.
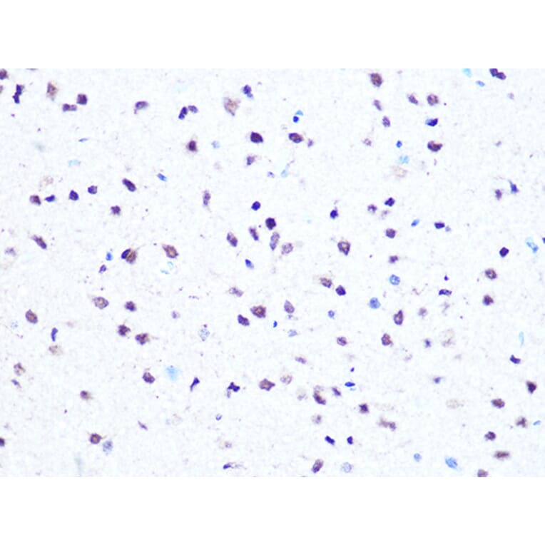
Immunohistochemistry analysis of paraffin-embedded rat brain using Anti-HMGA1 Antibody (A307749) at a dilution of 1:100 (40x lens). Perform microwave antigen retrieval with 10 mM PBS buffer pH 7.2 before commencing with IHC staining protocol.
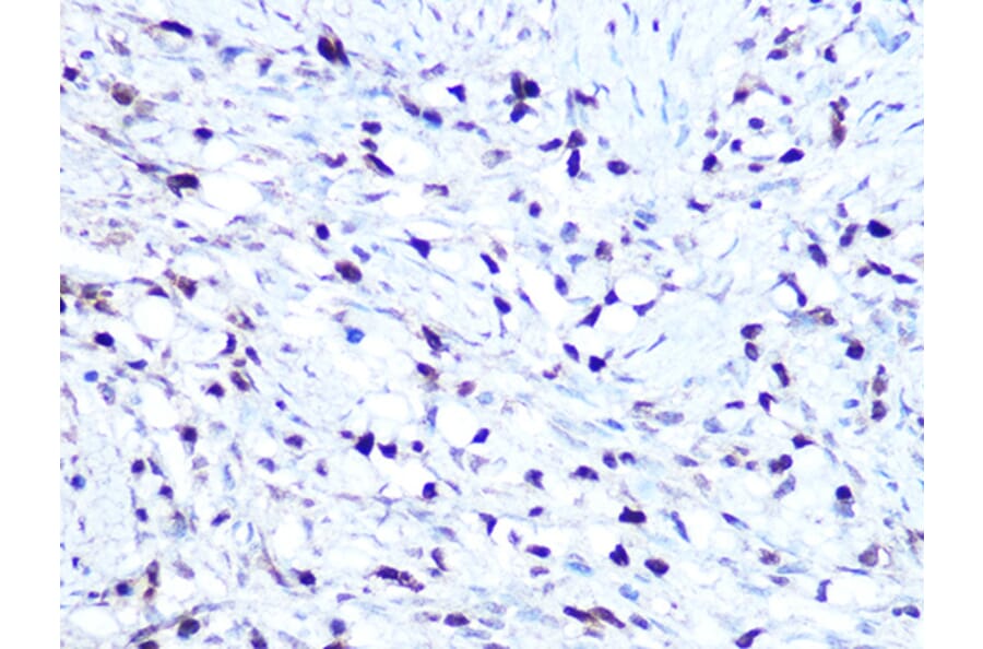
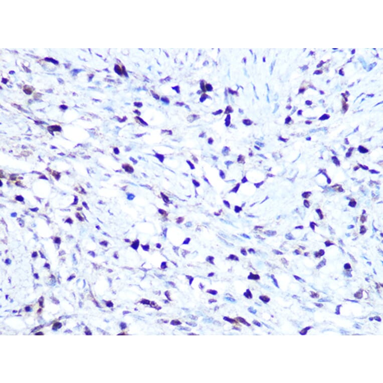
Immunohistochemistry analysis of paraffin-embedded human oophoroma using Anti-HMGA1 Antibody (A307749) at a dilution of 1:100 (40x lens). Perform microwave antigen retrieval with 10 mM PBS buffer pH 7.2 before commencing with IHC staining protocol.
Immunofluorescence analysis of C6 cells using Anti-HMGA1 Antibody (A307749) at a dilution of 1:100 (40x lens). DAPI was used to stain the cell nuclei (blue).
Immunofluorescence analysis of U-2 OS cells using Anti-HMGA1 Antibody (A307749) at a dilution of 1:100 (40x lens). DAPI was used to stain the cell nuclei (blue).
Chromatin immunoprecipitation (ChIP) analysis of extracts of HepG2 cells, using Anti-HMGA1 Antibody (A307749) and Rabbit IgG. The amount of immunoprecipitated DNA was checked by quantitative PCR. Histogram was constructed by the ratios of the immunoprecipitated DNA to the input.