Western Blot - Anti-HMGB1 Antibody [ARC0001] (A308594)
Western blot analysis of extracts of various cell lines, using Anti-HMGB1 Antibody [ARC0001] (A308594) at 1:1,000 dilution. The secondary antibody was Goat Anti-Rabbit IgG H&L Antibody (HRP) at 1:10,000 dilution. Lysates/proteins were present at 25µg per lane. The blocking buffer used was 3% non-fat dry milk in TBST. Detection was with a ECL Basic Kit. Exposure time: 5s.
Western Blot - Anti-HMGB1 Antibody [ARC0001] (A308594)
Western blot analysis of extracts from wild type (WT) and HMGB1 knockout (KO) 293T cells, using Anti-HMGB1 Antibody [ARC0001] (A308594) at 1:1,000 dilution. The secondary antibody was Goat Anti-Rabbit IgG H&L Antibody (HRP) at 1:10,000 dilution. Lysates/proteins were present at 25µg per lane. The blocking buffer used was 3% non-fat dry milk in TBST. Detection was with a ECL Basic Kit. Exposure time: 5s.
Western Blot - Anti-HMGB1 Antibody [ARC0001] (A308594)
Western blot analysis of extracts of various cell lines, using Anti-HMGB1 Antibody [ARC0001] (A308594) at 1:1,000 dilution. The secondary antibody was Goat Anti-Rabbit IgG H&L Antibody (HRP) at 1:10,000 dilution. Lysates/proteins were present at 25µg per lane. The blocking buffer used was 3% non-fat dry milk in TBST. Detection was with a ECL Basic Kit. Exposure time: 30s.
Immunohistochemistry analysis of paraffin-embedded rat brain using Anti-HMGB1 Antibody [ARC0001] (A308594) at a dilution of 1:100 (40x lens). Perform microwave antigen retrieval with 10 mM PBS buffer pH 7.2 before commencing with IHC staining protocol.
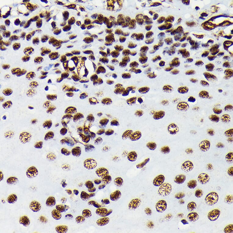
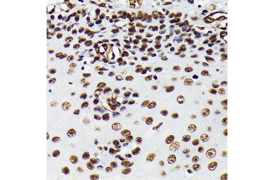
Immunohistochemistry analysis of paraffin-embedded human esophagus using Anti-HMGB1 Antibody [ARC0001] (A308594) at a dilution of 1:100 (40x lens). Perform microwave antigen retrieval with 10 mM PBS buffer pH 7.2 before commencing with IHC staining protocol.
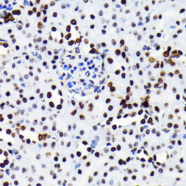
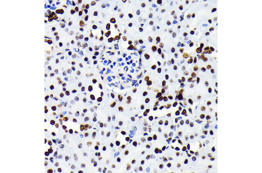
Immunohistochemistry analysis of paraffin-embedded mouse kidney using Anti-HMGB1 Antibody [ARC0001] (A308594) at a dilution of 1:100 (40x lens). Perform microwave antigen retrieval with 10 mM PBS buffer pH 7.2 before commencing with IHC staining protocol.
Immunofluorescence analysis of C6 cells using Anti-HMGB1 Antibody [ARC0001] (A308594) at a dilution of 1:100. DAPI was used to stain the cell nuclei (blue).
Immunofluorescence analysis of NIH/3T3 cells using Anti-HMGB1 Antibody [ARC0001] (A308594) at a dilution of 1:100. DAPI was used to stain the cell nuclei (blue).